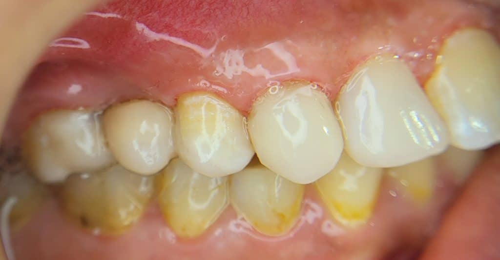
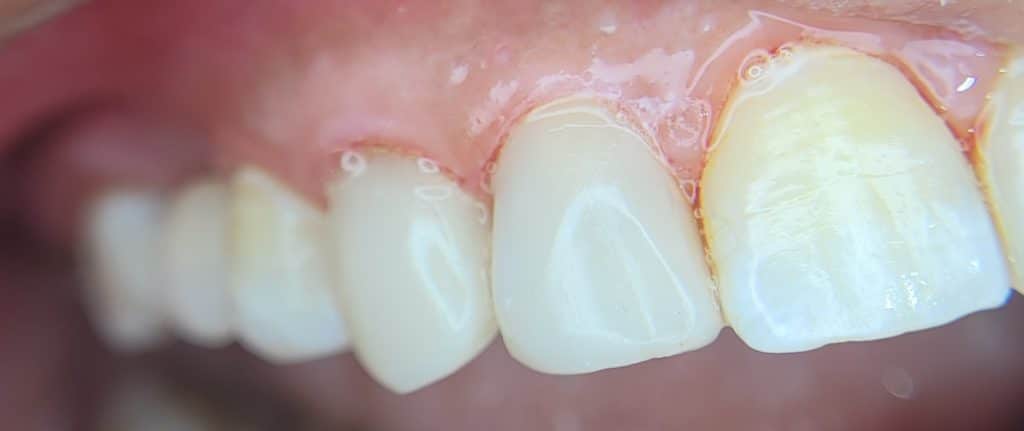
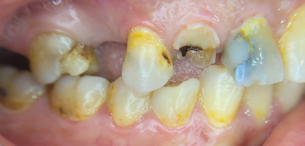
Metal destekli porselen köprü protezleri sevmiyorum. Hasta implant istemiyor. Ben de dedim ki protez oncesi zaten size güçlendirilmiş dolgular yapacağım, isterseniz hiç uğraşmayalım ben hemen sizin eksik dişinizi de yapayim tek seansta ve ekstra protez ücreti olmadan. kabul etti ve biz 3 saatte, rubberdam izolasyonu altında 12, 13 ,14 numaralı dislere retreatment yaptık, sonrasında hepsine elimizden geldiğince güzel dolgular, hatta kompozit köprüler yaptık. Bakalım, bu tekniği ülkemde kimsede görmedim. Takip edeceğiz hastalari. Bu hasta gibi 4 5 hastaya daha bunun gibi kompozit köprüler yaptım, takipteyim. İnşallah uzun ömürlü restorasyonlar olurlar.
Share on: