In the last decades there was a continuous evolution of composite resins, adhesive systems and restorative techniques that contributed to a significant improvement of esthetic dentistry. The main advantages of composite restorations are related to their adhesive properties, the minimal preparation size, the reinforcement of remaining teeth and the esthetic appearance.
The use of direct composite veneers may be an interesting option to recover the esthetic appearance of damaged teeth4,5, especially because indirect techniques require more removal of sound tooth structure and have a higher cost, due to the laboratory procedures involved6,7
A large number of studies have demonstrated long lasting good results for composite restorations in posterior teeth. A recent meta-analysis of prospective studies on anterior composite restorations showed a median overall estimated survival of 95% for class III and 90% for class IV, and 85% for composite veneers after 10 years.
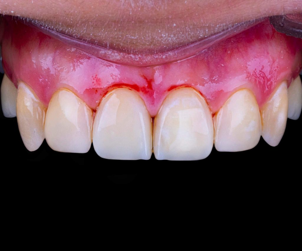
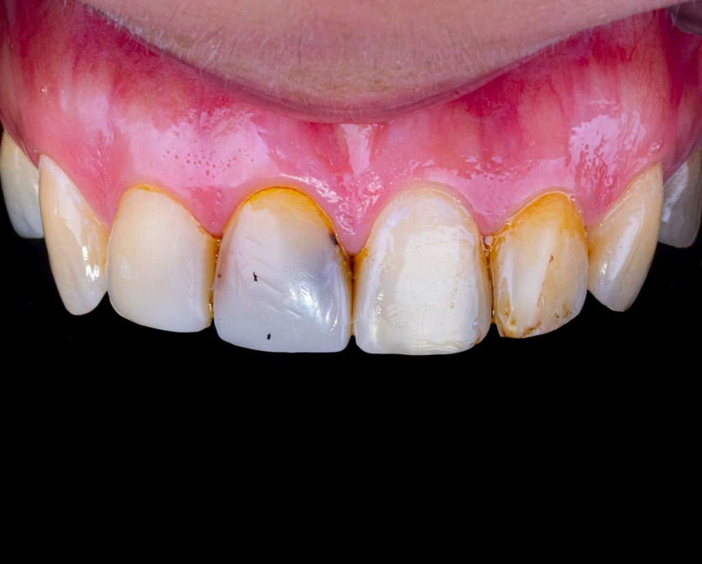
This is a case of direct composite veneers for the 4 anterior teeth. Hope you like it, and feel free to ask me any question.
Best regards
Dr.Mohammed Ali Fadhil
M.Sc, Ph.D, Restorative and Aesthetic Dentistry/Baghdad college of dentistry.
Share on: