Tooth with DO cavity treated with firect composite restoration following the prencibles of modern adhesive dentistry
During cavity preparation and caries removing
Using CDD for more checking about caries
This is the result of 10 sec. application of CDD and rinse it with water
Some Caries still present
The final cavity after removing all caries
The cavity sandblasted
Selective enamel acid etching ,
After that IDS with gold standard clearfil SE bond , RC with flowable composite ,DWT
Apx composite used as first layers for dentin replacement , Ivoclar composite for final layers aenamel replacement
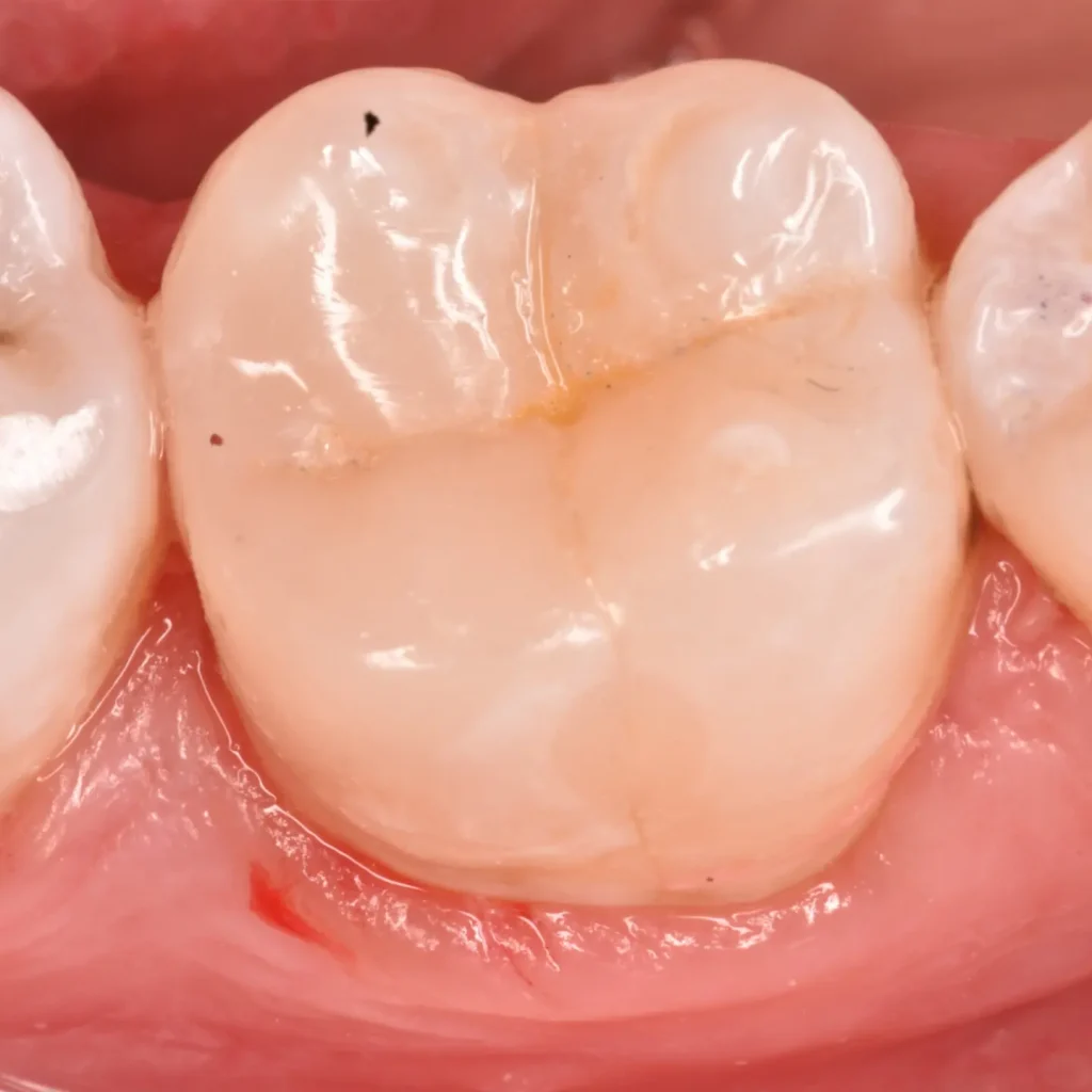
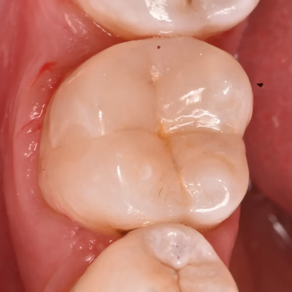
Finishing and polishing with Eve polishing kit
Final result , beautiful and shiny
Share on: