Endo–Restorative Quadrant Rehabilitation with Biomimetic Cuspal Coverage
Dr Hamza Zahid
Microscopic & Restorative Dentistry
Dr Hamza Dental Center — Lahore, Pakistan
ABSTRACT
This case demonstrates a quadrant-based biomimetic rehabilitation of a mandibular molar previously treated endodontically. A conservative adhesive protocol integrating deep-margin elevation (DME), fiber reinforcement, and cuspal coverage was executed under full isolation and magnification. The restorative workflow aimed to reproduce natural occlusal morphology and long-term biomechanical harmony. Post-operative radiographic and clinical evaluation confirmed ideal sealing, contact integrity, and periapical health.
CLINICAL OVERVIEW
Tooth: Lower left first molar (#36)
Diagnosis: Previously endodontically treated with compromised coronal seal
Objective: Reinforce residual structure through adhesive biomimetic reconstruction
OPERATIVE PROTOCOL
1️⃣ Isolation & Assessment
Complete rubber-dam isolation was achieved to ensure asepsis and control of the sub-gingival field. The remaining structure showed marginal breakdown with intact canal obturation.
2️⃣ Margin Elevation & Build-Up
A DME technique was employed using flowable composite (SDI Wave Flow) and a Garrison sectional matrix system to re-establish cervical continuity.
The core build-up was completed using Dentsply SDR bulk-fill to re-establish internal dentin anatomy.
3️⃣ Adhesive Protocol
Selective-etch technique with 37 % phosphoric acid (enamel only) followed by BISCO Universal Bond ensured durable hybridisation of enamel and dentin.
4️⃣ Fiber Reinforcement
A short-fiber-reinforced composite layer (GC EverX Posterior) was placed in the central portion to reinforce cuspal integrity and dissipate functional stresses.
5️⃣ Occlusal Anatomy & Finishing
The enamel replacement was sculpted using Tokuyama Estelite Sigma Quick A2/A3 shades, carefully replicating fissure architecture and line angles under microscope-assisted magnification.
Final contouring and gloss were obtained with Dentsply Enhance Finishing System, PoGo, and Lucida Polishing Paste.
POST-OPERATIVE FINDINGS
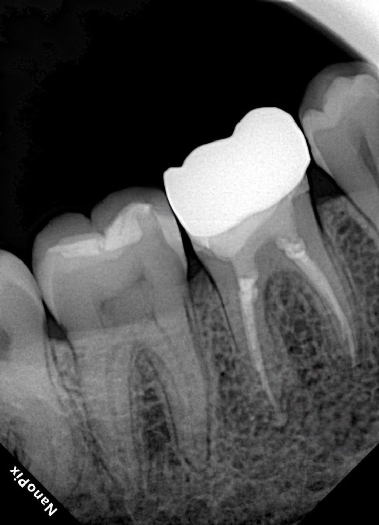
- Radiograph: Excellent apical seal and dense obturation with uniform cement line.
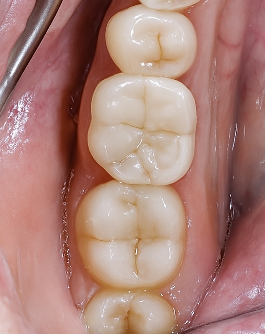
- Clinical: Smooth marginal adaptation, perfect interproximal contacts, and natural optical transition under occlusal light.
- Follow-up: Patient asymptomatic; no postoperative sensitivity; occlusal harmony maintained.
DISCUSSION
Modern restorative protocols aim to mimic the biomechanical behaviour of natural dentin–enamel complexes. By reinforcing the pulpal floor with fiber-based composites and limiting cusp removal, tooth survival significantly increases compared with traditional full-crown coverage.
Rubber-dam isolation remains essential for predictable adhesion, and materials such as Tokuyama Estelite and GC EverX provide both aesthetic and functional reliability.
CONCLUSION
This quadrant-based adhesive rehabilitation showcases the strength of biomimetic endodontic dentistry — combining structural reinforcement, natural morphology, and long-term stability under microscope guidance.
FIGURE SEQUENCE (correlating with your images)
1️⃣ Pre-operative isolation showing leaky margins and micro-fractures
2️⃣ Sectional matrix and DME application under rubber dam
3️⃣ Composite build-up and occlusal layering
4️⃣ Immediate post-operative result under magnification
5️⃣ Final intra-oral occlusal integration
6️⃣ Post-operative radiographs confirming obturation and marginal integrity
REFERENCES
- Magne P., Belser U. Bonded Porcelain Restorations in the Anterior Dentition. Quintessence 2002.
- Van Meerbeek B. et al. State of the art of self-etch adhesives. Dent Mater 2011;27(1):17-28.
- Bazos P., Magne P. Bio-emulation: biomimetically reconstructed posterior teeth using a modeling concept. Quint Int 2011;42(6):409-419.
- Frankenberger R., et al. Fatigue behaviour of resin composite vs ceramic onlays. Dent Mater 2015;31(9):1045-1051.
Share on: