Endo-Restorography of a Mandibular First Molar Using Warm Vertical Compaction and Biomimetic Direct Restoration
Endo-Restorography of a Mandibular First Molar Using Warm Vertical Compaction and Biomimetic Direct Restoration
Abstract
Endodontic success is not defined solely by canal obturation but by the long-term preservation of tooth structure, function, and biological integrity. The concept of endo-restorography integrates endodontic and restorative principles into a single continuous workflow. This article presents the endodontic and restorative management of a mandibular first molar using microscope-assisted root canal therapy, warm vertical compaction, and biomimetic direct composite rehabilitation under strict isolation.
Introduction
Mandibular first molars frequently present with complex root canal anatomy and are subjected to high occlusal loads. Traditional treatment approaches that separate endodontic therapy from restorative planning often compromise long-term outcomes. Endo-restorography emphasizes a biologically respectful and structurally conservative approach, ensuring that canal disinfection, obturation, and definitive restoration function synergistically rather than independently.
Warm vertical compaction remains a gold-standard obturation technique for achieving three-dimensional sealing, while contemporary adhesive dentistry allows for conservative cuspal coverage using direct composite materials. When combined under ideal isolation and magnification, these principles can significantly improve tooth survival.
Case Assessment and Diagnosis
Clinical examination revealed a deeply carious mandibular first molar with pulpal involvement. Radiographic evaluation showed intact periapical structures and favorable root morphology. The tooth was deemed restorable with adequate remaining enamel and dentin, making it suitable for a bonded restorative approach following endodontic therapy.
Endodontic Procedure
Isolation and Access
Rubber dam isolation was established to eliminate salivary contamination and enhance procedural accuracy. Access cavity preparation was performed under magnification, prioritizing preservation of pericervical dentin. Canal orifices were located conservatively to maintain structural integrity.
Canal Negotiation and Shaping
Canals were negotiated and working length was established using radiographic verification. Shaping was carried out with a controlled, minimally invasive approach to maintain canal anatomy while allowing effective irrigation and disinfection.
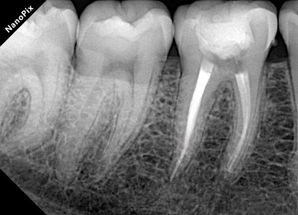
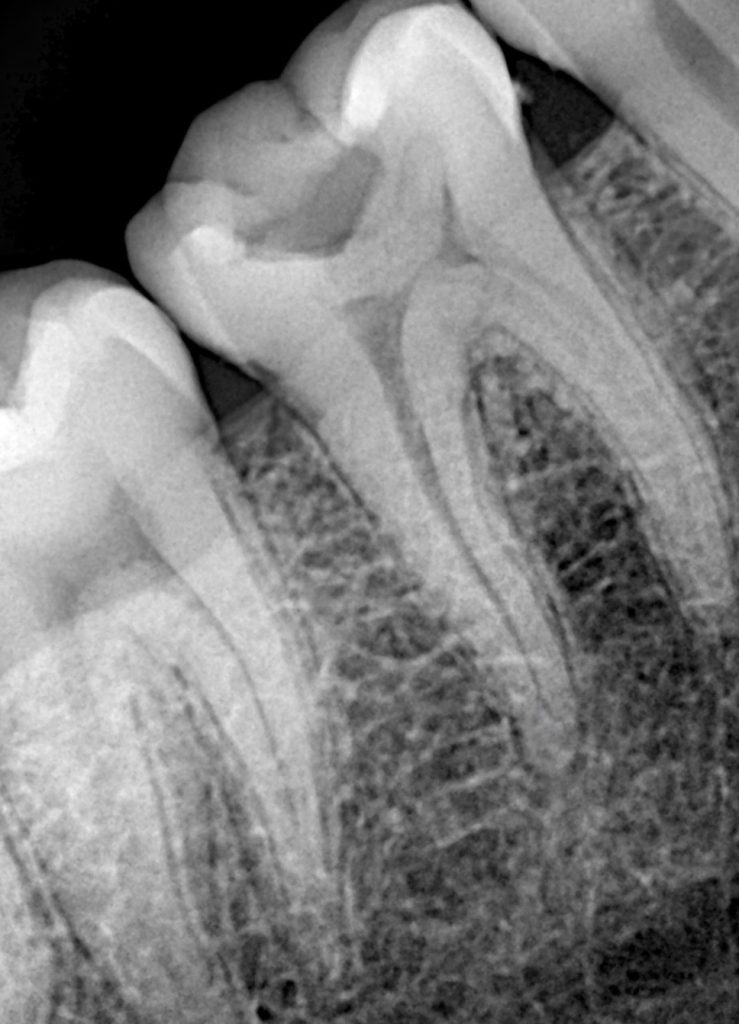
Obturation Using Warm Vertical Compaction
Following thorough cleaning and drying, obturation was completed using warm vertical compaction. Thermoplasticized gutta-percha allowed for intimate adaptation to canal walls, isthmuses, and apical complexities, providing a dense, homogeneous three-dimensional seal. Post-obturation assessment confirmed appropriate length control and obturation density.
Endo-Restorative Interface
Immediately following obturation, attention was directed toward sealing the coronal aspect of the tooth. The endodontic access was refined into a restorative cavity, and adhesive protocols were implemented to reduce microleakage and prevent coronal reinfection. Immediate dentin sealing played a key role in preserving bond strength and pulpal floor integrity.
Biomimetic Direct Composite Restoration
The tooth was restored using a biomimetic direct composite technique. Incremental layering was employed to reduce polymerization stress and recreate natural occlusal anatomy. Cuspal reinforcement was achieved through bonded composite coverage rather than full-coverage crowns, allowing maximal preservation of sound tooth structure while restoring strength and function.
Outcome and Prognosis
The final restoration demonstrated proper occlusal form, functional harmony, and a secure coronal seal. Radiographic evaluation confirmed stable obturation without signs of periapical pathology. By integrating endodontic and restorative phases into a single biologically driven workflow, the tooth was returned to function with an optimized long-term prognosis.
Discussion
Endo-restorography shifts the clinical mindset from procedure-based dentistry to outcome-based care. Warm vertical compaction enhances sealing quality in anatomically complex molars, while biomimetic composite restorations reduce the need for aggressive tooth reduction. When performed under strict isolation and magnification, direct bonded restorations can offer predictable longevity in posterior teeth.
Conclusion
The success of endodontic therapy is inseparable from restorative execution. This case highlights how warm vertical compaction combined with biomimetic direct restoration can preserve biology, reinforce structure, and restore function in mandibular first molars. Endo-restorography should be considered an essential treatment philosophy rather than an optional enhancement.
References
- Schilder H. Filling root canals in three dimensions. Dent Clin North Am.
- Ricucci D, Siqueira JF. Biofilms and apical periodontitis. J Endod.
- Saunders WP, Saunders EM. Coronal leakage as a cause of endodontic failure. Endod Dent Traumatol.
- Magne P, Belser U. Understanding tooth biomechanics for restorative dentistry.
- Mannocci F, Cowie J. Restorative dentistry and endodontics: an integrated approach. Br Dent J.
{"tiktok_developers_3p_anchor_params":"{"client_key":"awgvo7gzpeas2ho6","capability_key":["edit"],"capability_extra_v2":{"edit":[{"panel":"hd_quality_picture"},{"panel":"one_key_edit"}]},"template_id":"","filter_id":[]}","data":{"enter_from":"enter_launch","stickerId":"","appversion":"7.9.0","playId":"","product":"retouch","activityName":"","imageEffectId":"","filterId":"","os":"ios","infoStickerId":"","pictureId":"CAAAC8BF-DD43-4C43-AC46-402AFEC523A3"},"source_type":"hypic"}
{"tiktok_developers_3p_anchor_params":"{"capability_extra_v2":{"edit":[{"panel":"hd_quality_picture"},{"panel":"one_key_edit"}]},"client_key":"awgvo7gzpeas2ho6","capability_key":["edit"],"template_id":"","filter_id":[]}","source_type":"hypic","data":{"stickerId":"","infoStickerId":"","os":"ios","appversion":"7.9.0","filterId":"","activityName":"","pictureId":"45D5F727-F0B4-4CE2-8B17-939F3E277548","product":"retouch","imageEffectId":"","playId":"","enter_from":"enter_launch"}}
{"source_type":"hypic","data":{"stickerId":"","pictureId":"2425D743-CA6B-49F5-95B2-65C7119B119B","playId":"","os":"ios","enter_from":"enter_launch","infoStickerId":"","filterId":"","appversion":"7.9.0","product":"retouch","imageEffectId":"","activityName":""},"tiktok_developers_3p_anchor_params":"{"client_key":"awgvo7gzpeas2ho6","capability_extra_v2":{"edit":[{"panel":"hd_quality_picture"},{"panel":"one_key_edit"}]},"template_id":"","filter_id":[],"capability_key":["edit"]}"}
Share on: