This patient referred to me after doing RCT to make prosthetic crown to strengthening the tooth and ensuring the longevity of the tooth.
we decided to make a minimal invasive prosthesis like Endocrown.
we selecte lithium disilicate material and self-adhesive self-etch resin cement to ensure the bonding strength chemomechanically
Surface treatment the the crown done by 9.5% HF acid etch for 20 seconds , silane coupling agent … for the tooth surface we make selective acid etching by 37% phosphoric acid for 20 second then applying universal bond and curing for 20 sec
After encure the glossy appearance of the crown we cement it using resin cement , 5 sec curing then remove the excess ,full curing
Adjust the occlusion and high spot after cementation to not making carcks in the restoration..
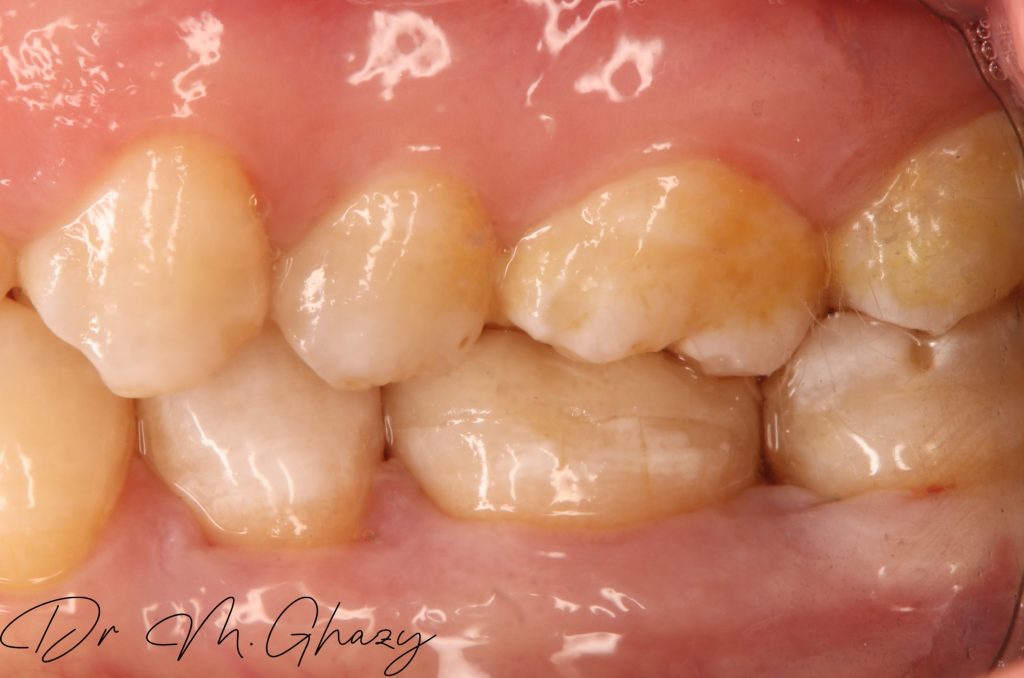
Pre-operatve bite
Per-operave occlusal
Occlusal reduction and cavity optimization done
Occlusal clearance
Final impression
Isolation
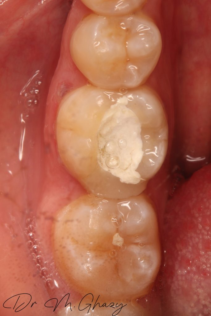
Selective acid etching
Surface treatment for lithium dislicate by 9.5% HF acid
Chalky White appearance after Rensing and Drying
Silaine coupling agent
Cementation
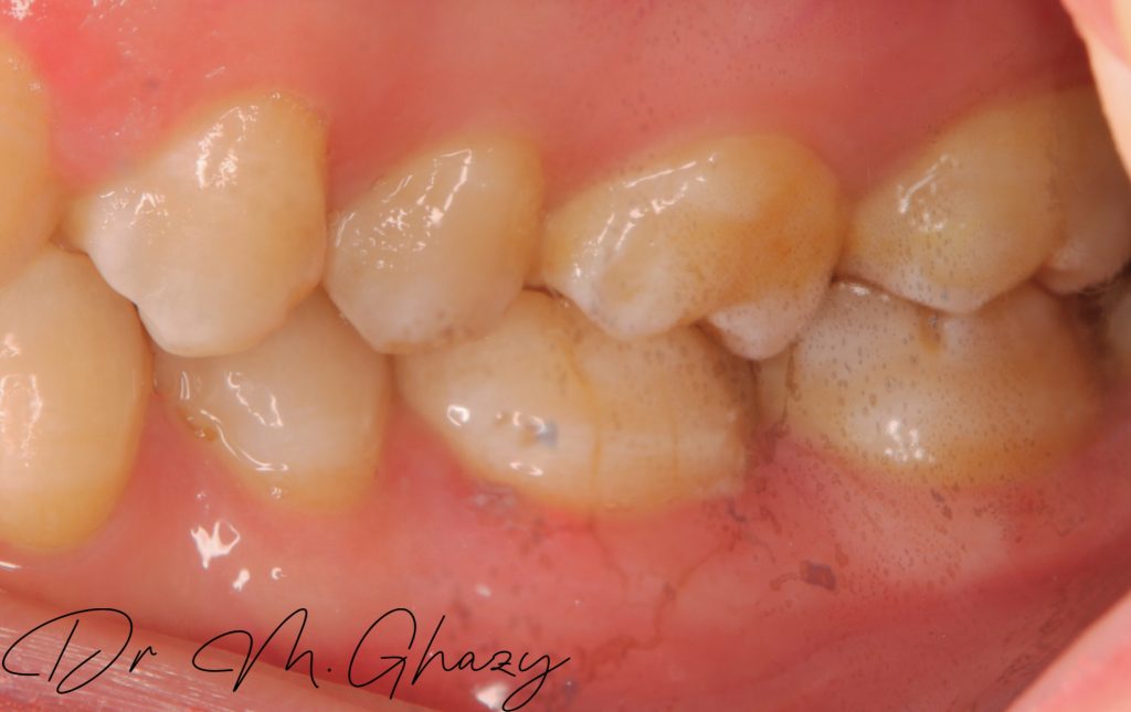
Post-operative Bite
Share on: