٣٢ years old female patient came with severe continuous pain in her lower right jaw
After history, clinical examination
We found lower 7 was highly tender to percussion
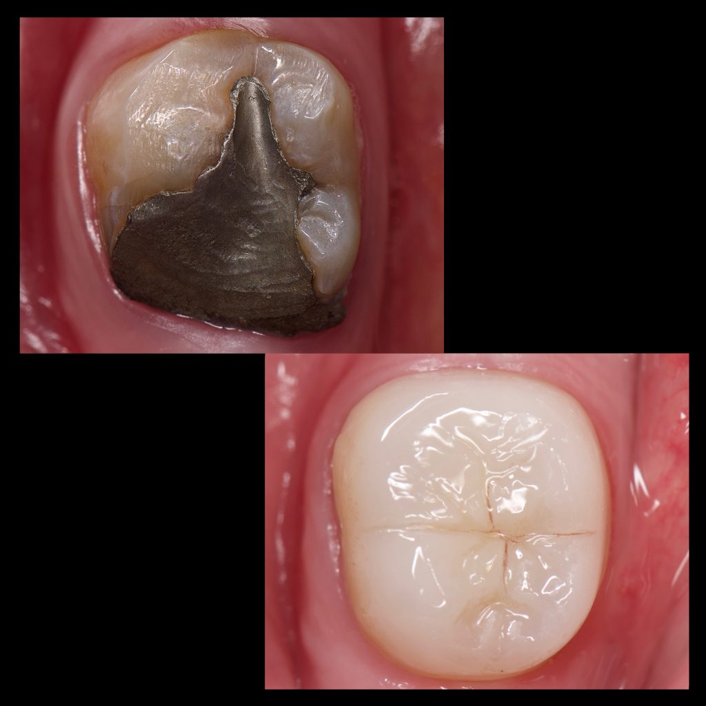
X ray showed many problems in previous Endodontic treatment with overhang amalgam filling
– Treatment began with removing the old amalgam filling and cleaning the tooth from the remaining caries and excess Gutta percha
– Deep margin elevation done with gold standard Bond and Ap-x composite
– Endodontic Re-treatment done, Obturation with Bioceramic Sealer and single cone
The pain completely resolved after obturation visit
– Sandblasting, Se clearfil Bond , Resin coating, Ever X as dentine replacement And direct composite restoration to complete the biobase
– Circumferential preparation done because the remaining enamel was carious mesially and demineralised buccally and lingually
– E max crown bonded with Heated Ap-x composite
– Follow up after 3 months
Share on: