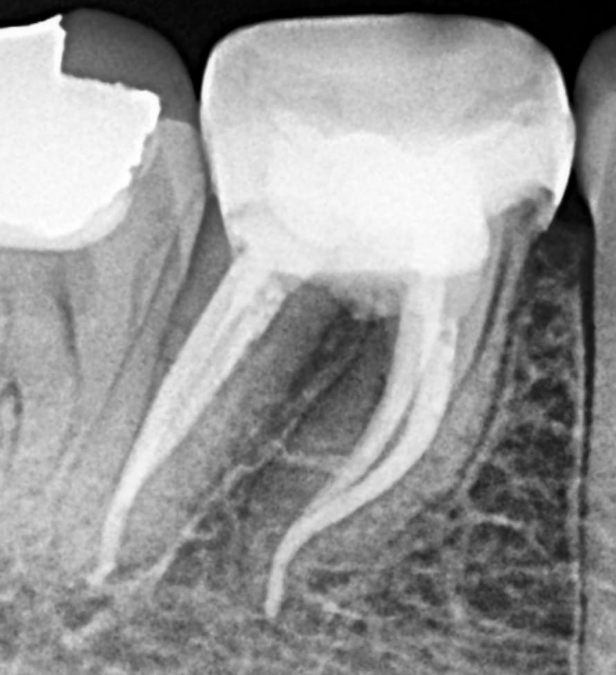
A case of tooth #46 showing radiolucency in the furcation area related to perforation. Patient had this tooth done 5 years ago and started to feel a dull pain recently.
Workflow x-rays
Initial situation
Pre-operative X-ray showing 5 years old perforation and bone obturation
After removing old restoration
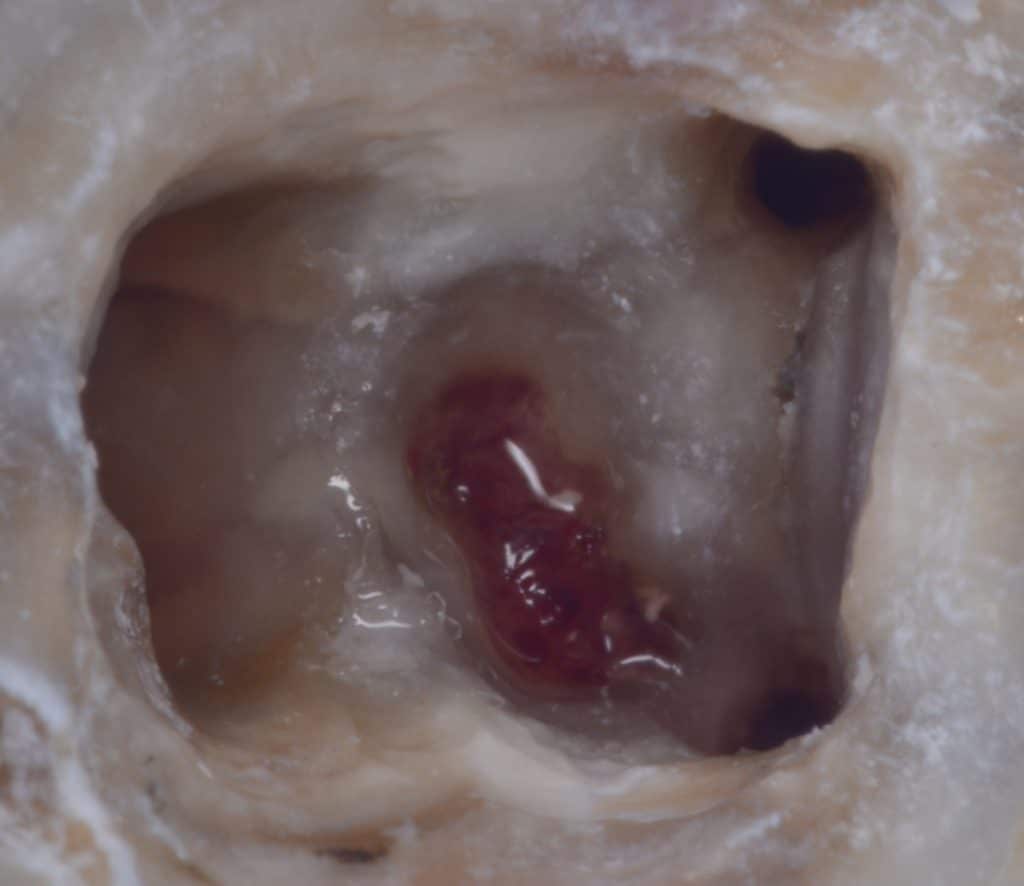
Removing old gutta percha showing perforation
Gutta percha removal
Complete gutta percha removal
Zoom
Working length determination
Cone fit
Obturation using cold lateral compaction technique with resin sealer and perforation repair using powder and liquid MTA
Ready for the final restoration
Post-operative x-ray
Mesial shift
Negative
Before and after
Share on: