I present this multidisciplinary rehabilitation of a fourth quadrant of a 57-year-old male patient.
During the carious removal of the caries of 4.6, a mesial horn is exposed and, given the age of the patient and the conspicuous carious tissue still present, it is decided to perform a root canal treatment on the element.
To reduce the working time, after removing the decayed tissue from 4.6 and distal to 4.5, we proceed with the isolation of the entire quadrant and the occlusal table is reduced by 4.6, allowing the use of shorter root canal instruments and thus facilitating endodontic maneuvers. .
After the root canal treatment, a build up is performed, the reconstruction of 4.5 is completed and a digital impression is taken for the packaging of a composite overlay. Before taking the impression, a suitable shape is returned to the mesial portion of 4.7 in order to make the new contact point more efficient
During the following appointment, a small box distal to 4.4 is opened And filled and the composite restoration is cemented with the adhesive technique.
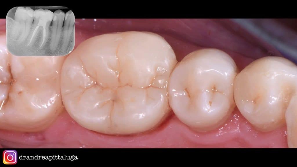
The last image represents the one-week control with the relative X-ray.
Share on: