-25 years old female colleague “dentist” came to dental poly clinic complaining from her excessive gingival display during social relaxed smile.
-She is systemically free & her dental history included a previous orthodontic treatment.
-On clinical diagnosis, the patient is asked to reveal her social relaxed smile & the distance from free gingival margins of upper 2 centrals to the lower border of the upper lip was measured using a UNC probe… which was 4mm…..”more than 3mm is a confirmed gummy smile”
-After exclusion of all other origins of gummy smile it was confirmed that it was of dento-periodontal origin “altered passive eruption” which is type I subtype B
“according to Coslet et al.”
-Bone sounding was made to detect
the avaliablity of the biologic space for supra crestal fibers.
-Based on it, The biologic space was insufficient “less than 2mm” & esthetic crown lengthening was planned to include external bevel gingivectomy followed by full thickness envelope flap to perform ostectomy to correct the insufficent biologic space.
-Labial osteoplasty was planned although to correct regular bony ledges in the labial plate of bone for better flap attachment & for better estehtic outcomes.
-Flap suturing was done using 5/0 polyglycolic “vicryl” resorbable sutures using single sling suturing technique.
-kindly read captions under the photos.
Social relaxed smile showing its extent from left 2nd premolar to right 2nd premolar
Distance from free gingival margin of left central incisor to lower border of the upper lip = 4mm
"note that 3mm or more is considered (gummy)"
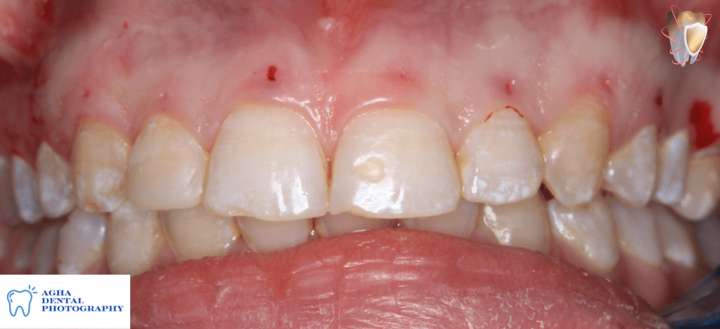
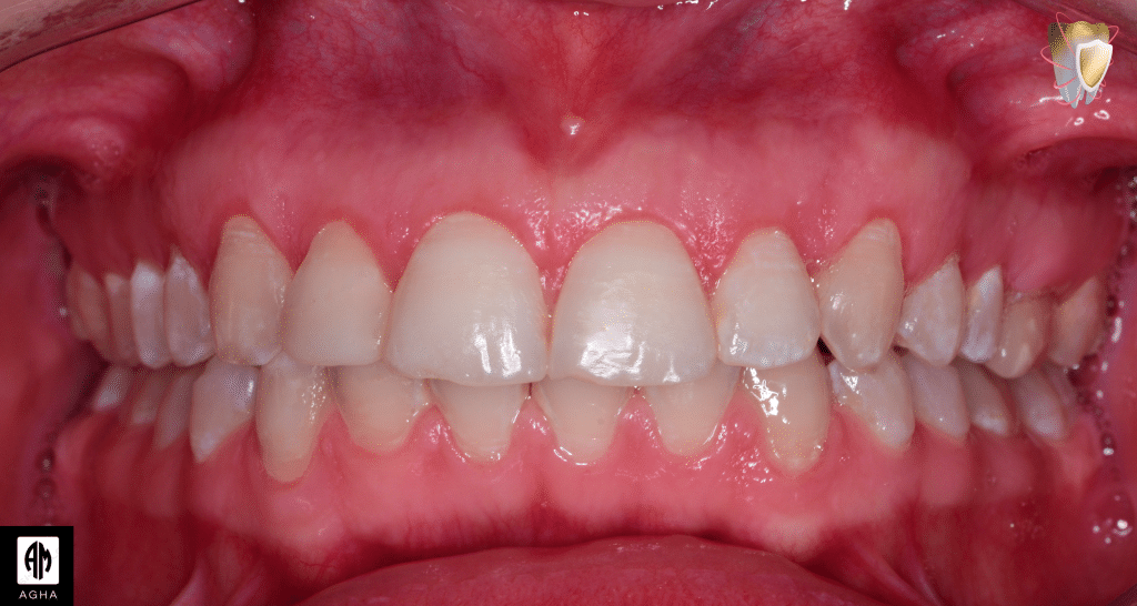
Intra oral photo showing altered passive eruption & disharmony of gingival margins with each other
Determining Zenith points guided by probing depths from left 2nd premolar to right 2nd premolar
"Note that zenith points of centrals, canines, 1st & 2nd premolars bilaterally should be in a same imaginary line while those of laterals should be 1mm coronal
Drawing incision lines to easily demarcate
the excised tissues
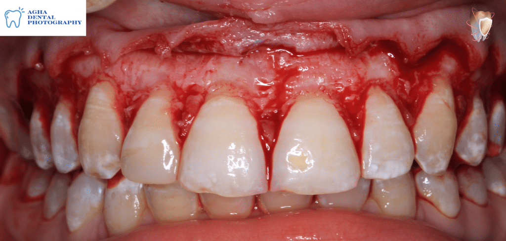
External bevel gingivectomy
Removal of excised tissues using a sharp scaler
After finishing gingivectomy
Elevation of a full thickness envelope flap revealing an irregular & thick labial bony
Rechecking biologic space confirming that it is insufficient "less than 2mm"
Ostectomy for correction of insufficient biologic space using rose head stone bur
Osteoplasty to reshape the labial plate of bone using a flame shaped stone bur
After finishing ostectomy & osteoplasty creating sufficient even biologic spaces of 2mm "from CEJ to crest of alveolar bone" & correcting thick bony ledges & irregular architecture of labial plate of bone
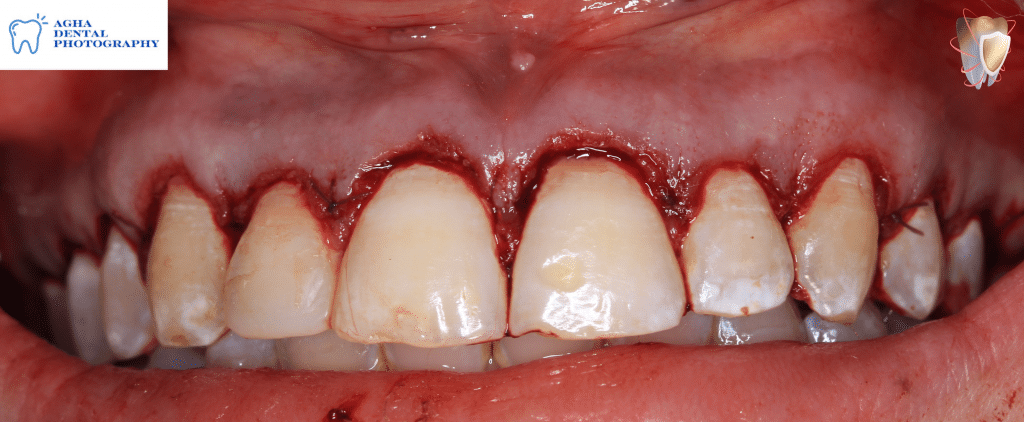
Flap suturing using 5/0 polyglycolic "vicryl" sutures with single sling suturing technique
After finishing flap suturing
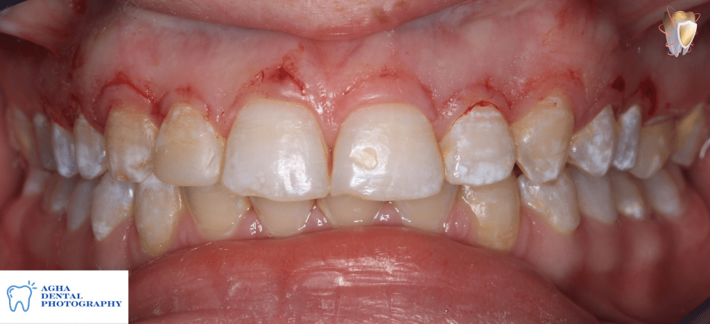
1 month follow up showing correction of gummy smile
Intra oral photo showing harmony of gingival margins
Rechecking the distance during smile after 1 month follow up showing that it was reduced from 4mm to 1mm
Share on: