Paziente maschio di età media si presenta allo studio per visita.
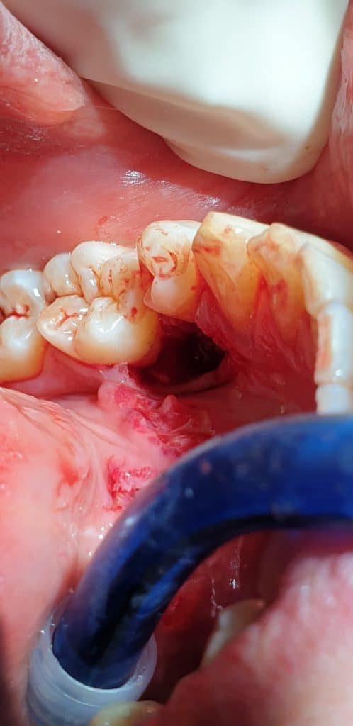
All’esame clinico si evince la posizione anomala del 3.5 e dopo aver effettuato OPT, si opta per l’avulsione dell’elemento dentario interessato.
L’avulsione ha presentato un discreto livello di difficoltà vista la posizione e lo stretto rapporto col 3.4, tanto da ipotizzare l’avulsione anche del 3.4.
L’estrazione è stata portata a termine con successo, il dente ha presentato radice curva e nella zona interessata dell’estrazione si è provveduto a inserire spugnetta emostatica ed osso sintetico e sutura.
Fatte le dovute raccomandazioni, il paziente a controllo, ha riferito un leggero gonfiore dovuto al traumatismo dell’estrazione, risolto con la somministrazione di cortisone per via orale.
Per chi volesse seguirmi : instagram dott.sergiocelentano
Share on: