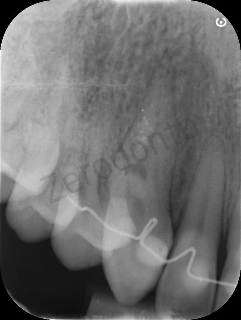
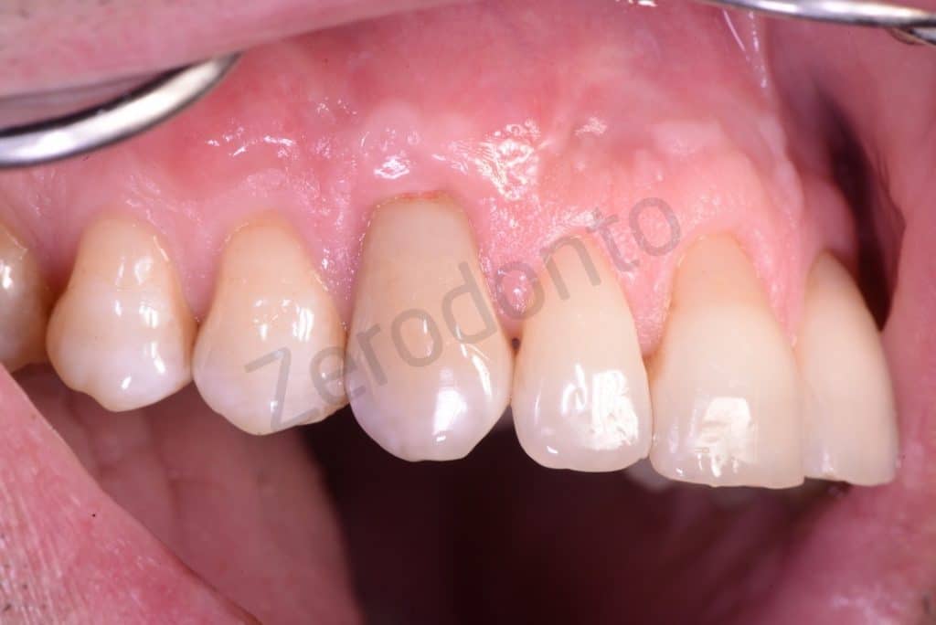
The 37-year-old patient had a class III external resorption of the root of 13#.
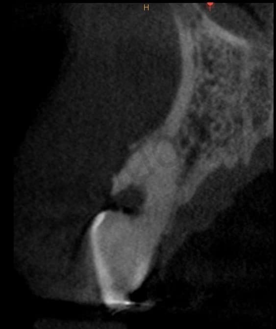
The cbct showed a lesion of about 4mm in diameter, which vestibularly affected the root #13, just below the junction.
A coronal repositioning flap first at partial thickness then total thickness and finally a periosteal incision to mobilize the flap were performed. The anatomical papillae were disepithelized to allow the sliding of the surgical papillae.
After removing the granulation tissue as far as possible compatibly with maintaining the vitality of the tooth, the cavity was filled with Biodentine, a bioceramic, perfectly biocompatible cement based on synthetic tricalcium silicate which is a valid substitute for dentine itself. The control is at one year.
BIBLIOGRAPHY
Cochrane database Syst Review
doi: 10.1002/14651858.CD008003.pub3.
Interventions for the management of external root resorption
Zohreh Ahangari, Mona Nasser, Mina Mahdian, Zbys Fedorowicz, Melissa A Marchesan
Clin Case Rep
2021 Jul 21;9(7):e04502. doi: 10.1002/ccr3.4502. eCollection 2021 Jul.
Management of internal root resorption in the maxillary central incisor with fractured root using Biodentine
Parisa Sanaei-Rad, Marjan Bolbolian, Faranak Nouri, Ehsan Momen
J Conserv Dent Jan-Feb 2020;23(1):102-106.
doi: 10.4103/JCD.JCD_128_20. Epub 2020 Oct 10.
Management of root canal stenosis and external inflammatory resorption by surgical root reconstruction using biodentine
Vineet Suresh Agrawal, Sonali Kapoor
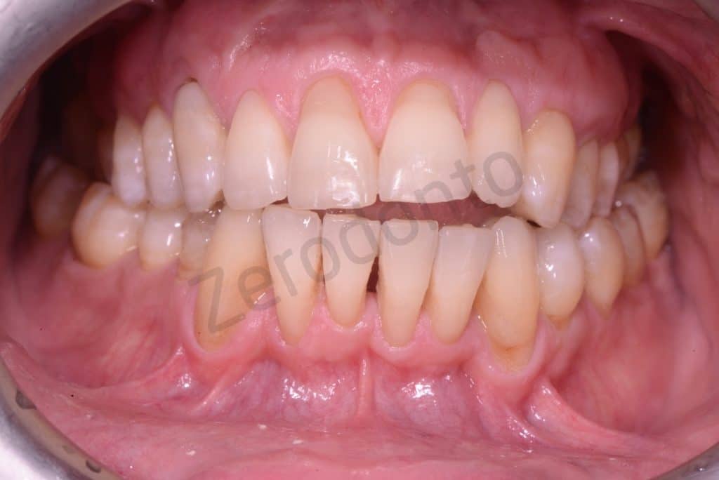
Initial situation
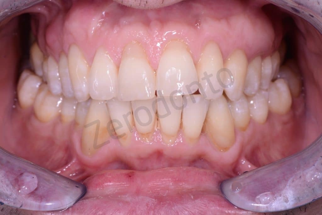
Frontal view
Probing resorption
4mm lesion
RX
CBCT
CBCT
Flap
The lesion
Detail of the lesion
Restoring the lesion with Biodentine
Biodentine application
Sutures
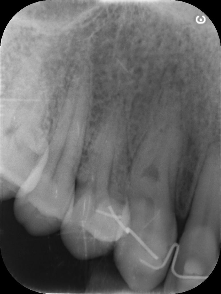
Post-op Xray
1st follow up
BEFORE AND AFTER BIODENTINE
3 years RX follow-up
3 years clinical follow-up
Share on: