To get aesthetically pleasing, organic, and predictable results in the direct restorative process, we must adhere to several procedures. Planning, teeth cleaning, adhesion, layering, finishing, and polishing are these phases.
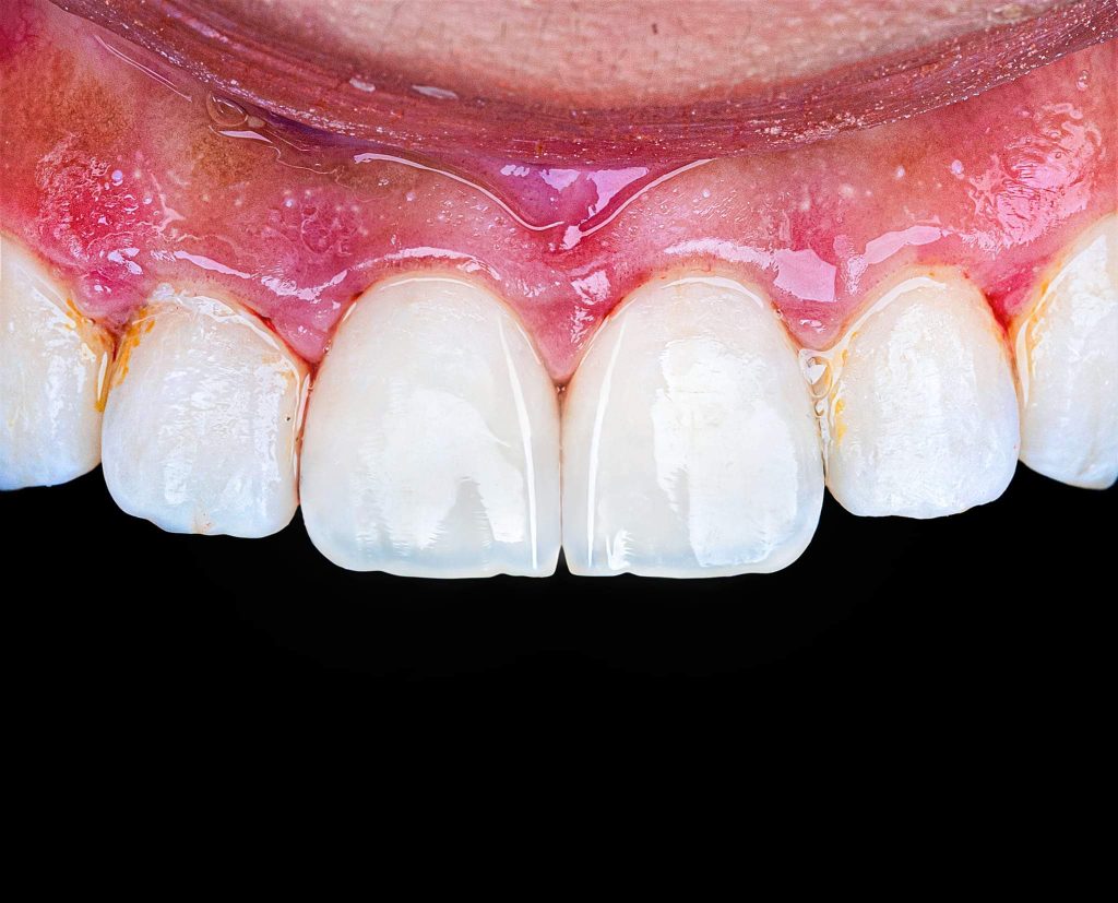
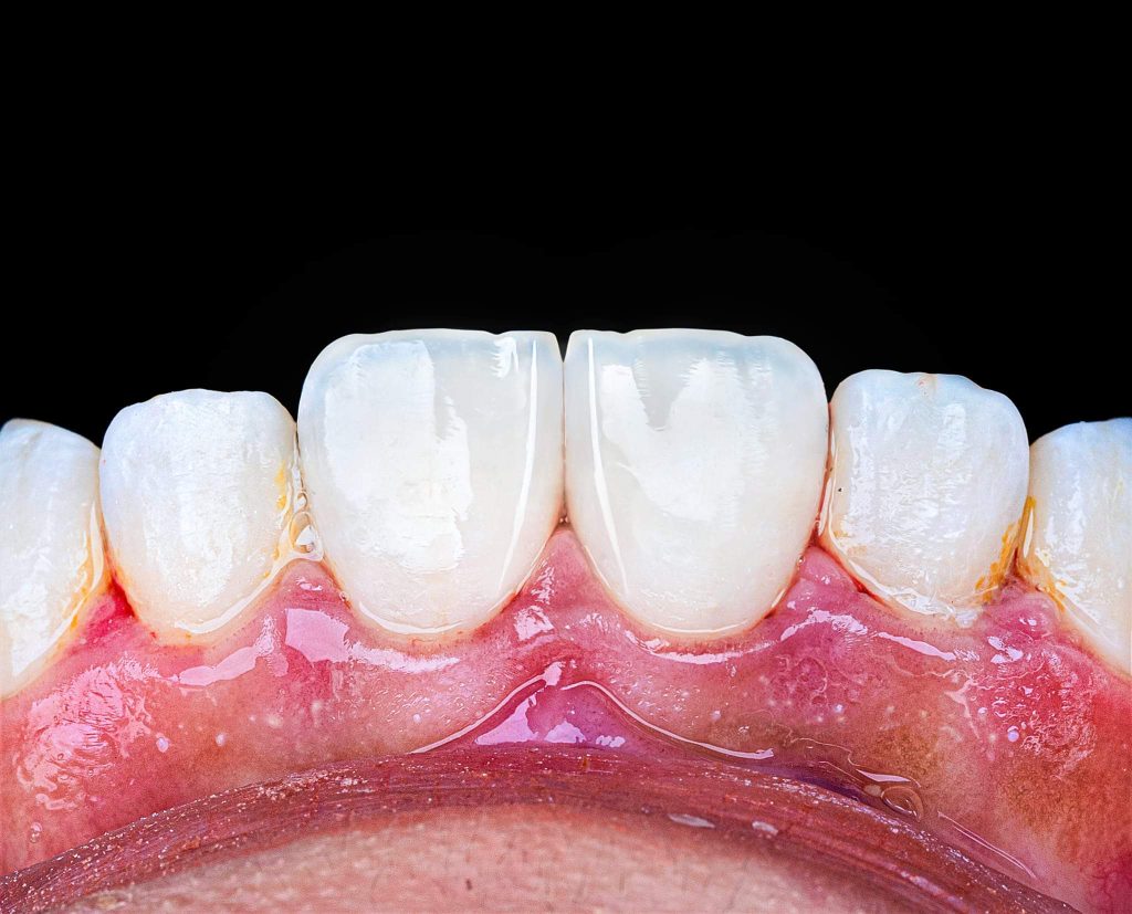
Finishing and polishing of anterior direct composite restorations are the key elements for the achieving ideal aesthetic and functional results.
The natural teeth are full of minute characteristics that, when recreated, make all the difference in integrating the restoration with the tooth being restored. These characteristics can include embrasures, palatine concavity, cingulum, fracture lines, incisal edge thickness, length, width, proportion, flat region, lobes, crests, vertical grooves, texture, wear facets, and perikymata.
The important step of finishing and polishing involves checking and/or correcting the shape of the tooth. The shape is responsible for the symmetrical proportion and integration of the restoration with the various teeth. To check the shape, we have to observe the angle lines, which divide the plane area of a large reflection light (between the angle lines) and the shadow area, which lies outside the angle lines and is rounded.
We can generate optical illusions between broader or narrower, longer or shorter teeth while retaining the proportion of the tooth by manipulating the space between the angle lines. So, if we want to give the illusion that the tooth is narrower, we should approach the angle lines closer (i.e., decreasing the flat area). On the other hand, if we want to create the illusion that the tooth is wider, we should move away the angle lines (i.e., by increasing the flat area).
Thus, my own steps for finishing and polishing anterior composite restorations are:
1. Palatal surface finishing and occlusal adjustment.
2. Gross reduction and contouring (Initial shaping).
3. Cervical third shaping.
4. Opening incisal embrasures
5. Positioning of the line angles
6. Texture application (Vertical & Horizontal).
7. Polishing.
Dr. Mohammed Ali Fadhil
M.Sc., Ph.D., Restorative and Aesthetic Dentistry/
Baghdad college of Dentistry.
Share on: