Fractured Maxillary Central Incisor: Broken File Retrieval and Biomimetic Reinforcement with GC EverX Posterior
Dr Hamza Zahid
Microscope-Guided Restorative & Endodontic Dentist
Dr Hamza Dental Center — Lahore, Pakistan
ABSTRACT
A 26-year-old patient presented with a fractured maxillary central incisor and a previously failed endodontic attempt complicated by an intracanal separated instrument. Under high magnification, the fragment was successfully retrieved, followed by full canal disinfection and obturation. The post-endodontic structure was reinforced biomimetically using GC EverX Posterior fiber composite and Tokuyama Estelite Sigma Quick to recreate natural optical and mechanical properties. The workflow demonstrates microscope-based precision in both retrieval and adhesive reconstruction, restoring function and aesthetics seamlessly.
CASE DETAILS
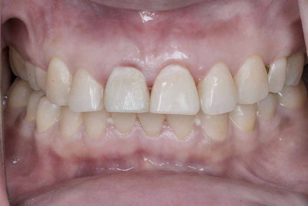
Tooth: Maxillary right central incisor (11)
Chief Complaint: Discolored fractured tooth with discomfort on biting
Diagnosis: Previously initiated therapy + fractured crown + intracanal file separation
Treatment Plan: Broken-file retrieval → cleaning & shaping → 3D obturation → biomimetic reinforcement with fiber composite
CLINICAL PROCEDURE
1 Pre-operative Assessment
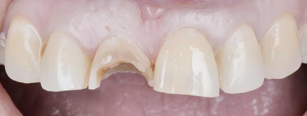
Clinical exam revealed a coronal fracture exposing previous access and visible sealer remnant. Periapical radiograph confirmed a metallic fragment lodged in the apical third with a faint radiolucency (Fig 1–2).
2 Rubber-Dam Isolation & Access Refinement
Full isolation was achieved using a pink rubber dam and clamps #1A and 2A for cross-arch stabilization (Fig 3–4).
Conservative refinement of the access cavity under the dental microscope allowed visibility and straight-line access to the obstructed canal without compromising pericervical dentin.
3 Broken File Retrieval under Microscope
The fragment was localized using ultrasonic tips (ET20, Satelec) under 20× magnification. Troughing around the coronal end loosened the fragment, which was retrieved atraumatically using the braiding technique with micro-files (Fig 5–6).
Patency was re-established with a #10 K-file to full working length, confirmed radiographically.
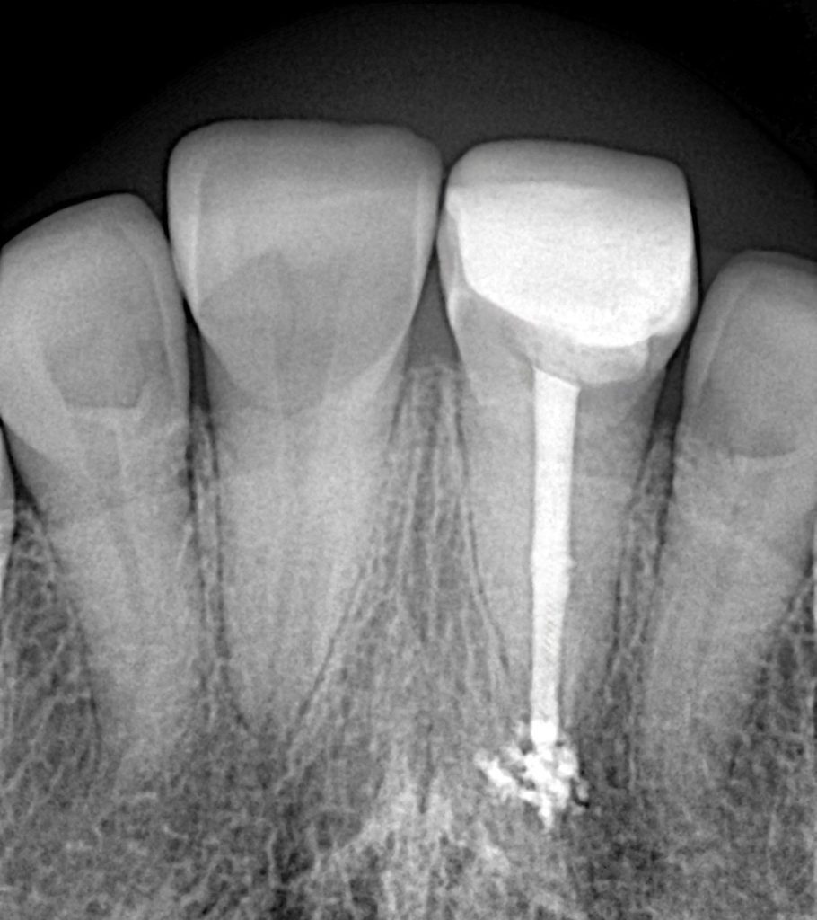
4 Canal Shaping & Obturation
Instrumentation was performed with the Denco Pro Flexi System using a hybrid crown-down approach. Irrigation protocol included 5 % NaOCl, 17 % EDTA, and ultrasonic activation cycles.
Obturation was achieved with bioceramic sealer + warm vertical compaction, producing a dense 3-D fill (Fig 7–8).
5 Biomimetic Reinforcement Protocol
After obturation, the orifice floor was sealed with a thin layer of MTA ProRoot.
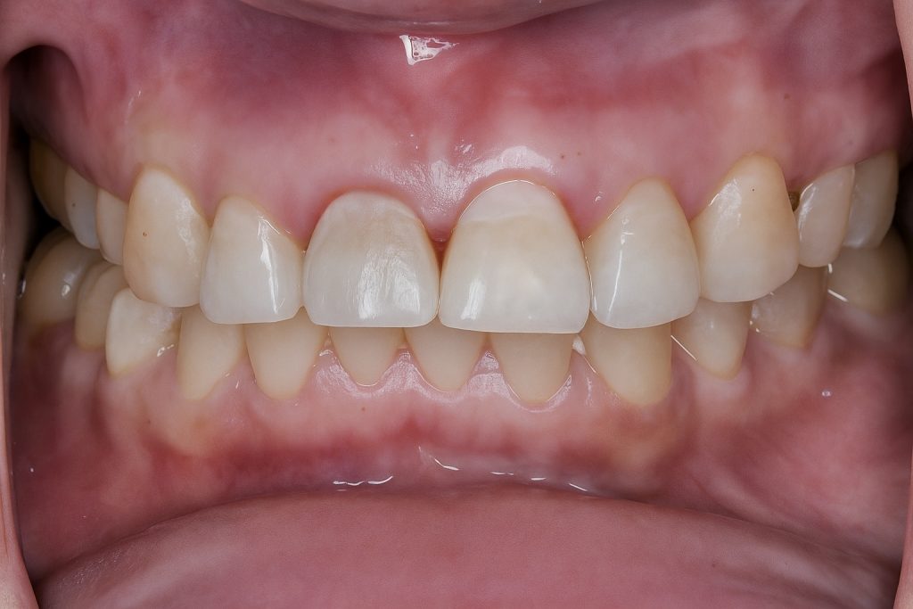
Deep dentin zones were rebuilt using GC EverX Posterior (fiber-reinforced dentin replacement) for internal toughness and crack resistance, followed by Tokuyama Estelite Sigma Quick for enamel layering (Fig 9–10).
Morphology and surface texture were sculpted under microscope vision to achieve natural light diffusion and line-angle harmony.
6 Finishing and Polishing
Final finishing was completed with Lucida polishing system + PoGo points, achieving high gloss and enamel translucency continuity.
Post-operative X-ray confirmed ideal apical and coronal seals (Fig 11).
POST-OPERATIVE RESULTS
- Complete fragment removal and canal patency restored
- Dense obturation with no voids
- Anatomically accurate, lifelike composite restoration
- Patient asymptomatic and satisfied with the aesthetic outcome
DISCUSSION
Separated instruments can compromise disinfection and prognosis. Microscope-assisted retrieval minimizes structural sacrifice while improving visualization.
The biomimetic layering concept re-establishes dentin-enamel mechanics rather than merely replacing lost tissue. GC EverX Posterior, containing short E-glass fibers, distributes masticatory stress within the restoration and interface, preventing crack propagation. Combining it with Tokuyama Estelite Sigma Quick offers optical integration and polishability comparable to natural enamel.
CONCLUSION
Precision microscopy, ultrasonic retrieval, and biomimetic adhesive reinforcement deliver predictable structural and aesthetic rehabilitation in complex retreatment scenarios.
The synergy of technology + adhesion + respect for tissue preservation defines the new standard of restorative endodontics.
REFERENCES
- Ruddle CJ. Nonsurgical retreatment: removing posts, separated instruments, and obstructions. Dent Today 2004; 23(4): 68–73.
- Magne P & Magne M. Biomimetic restorative dentistry: pathways for dentin replacement. J Esthet Restor Dent 2020; 32: 13–27.
- Khayat A et al. Influence of fiber-reinforced composites on fracture resistance of endodontically treated teeth. Oper Dent 2018; 43(1): E1–E10.
Share on: