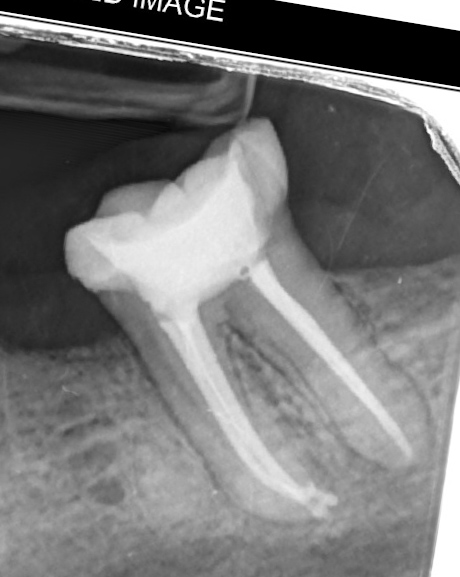
A patient complaining from severe pain in lower 7 had a previous root canal treatment, on examination tooth had severe response to percussion and root canal retreatment had to be done
Tooth drifted mesially as 6 was extracted long time ago which made it difficult in isolation & matricing
🔹Old amalgam & caries removal
🔹DME
🔹RC retreatment
🔹Ever x posterior
🔹Direct composite restoration
Share on: