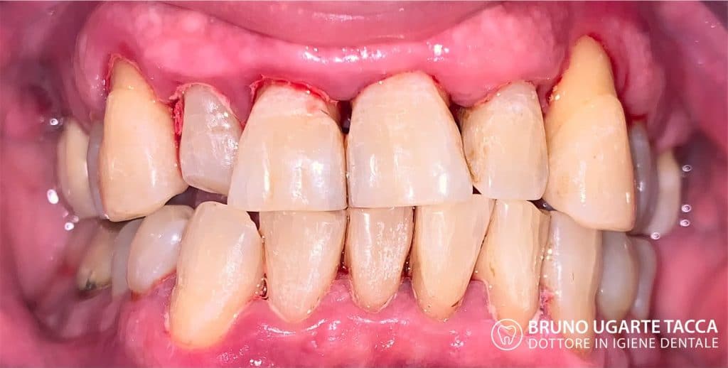
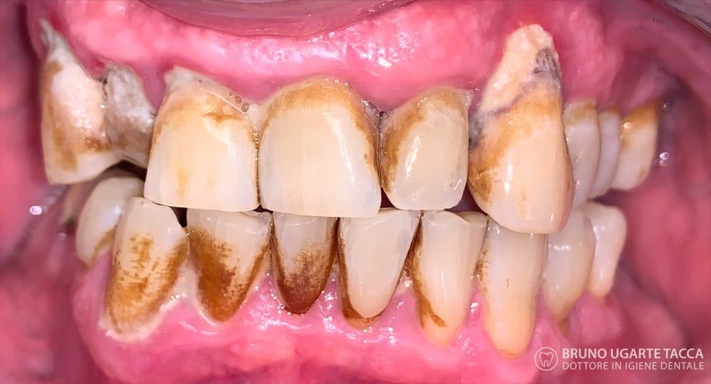
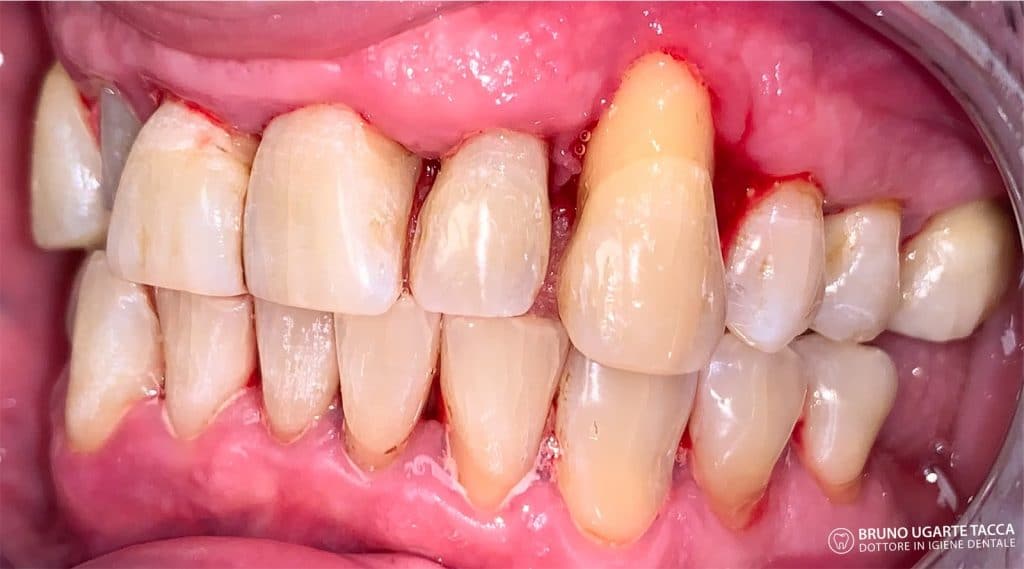
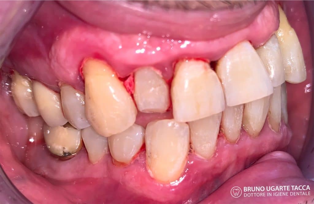
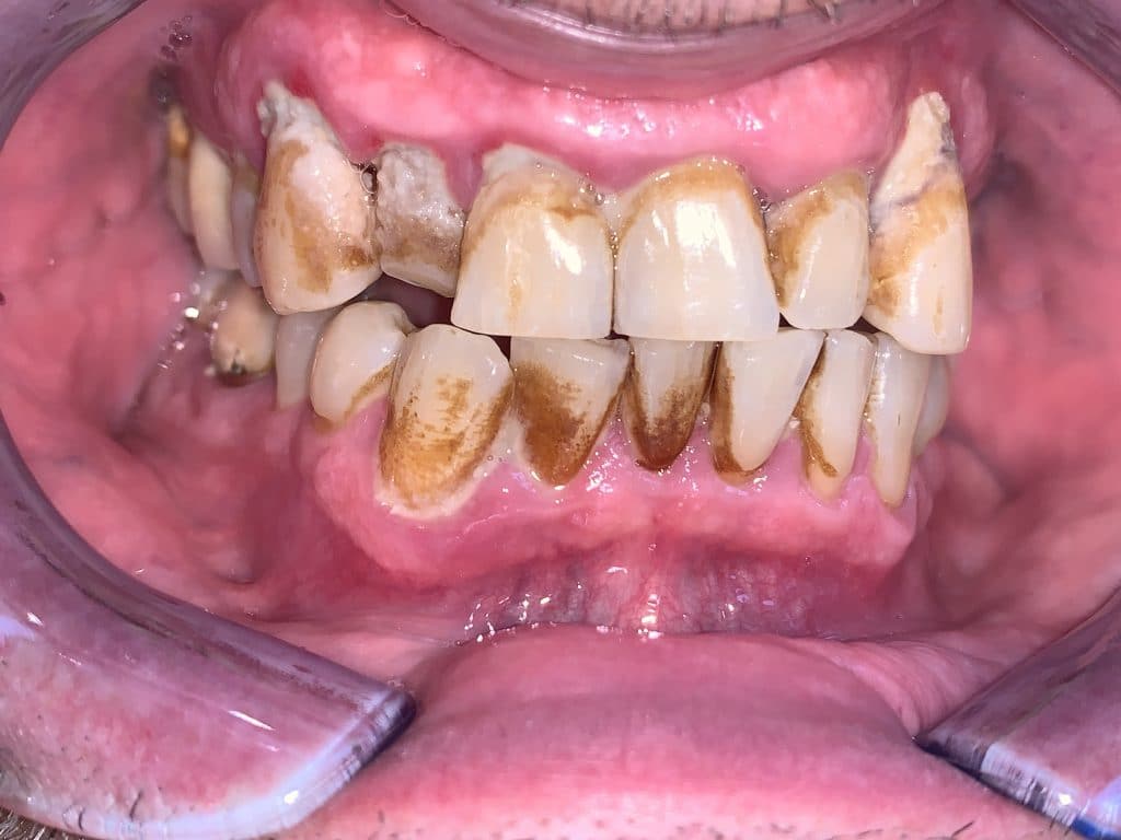
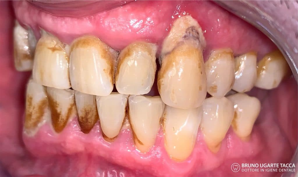
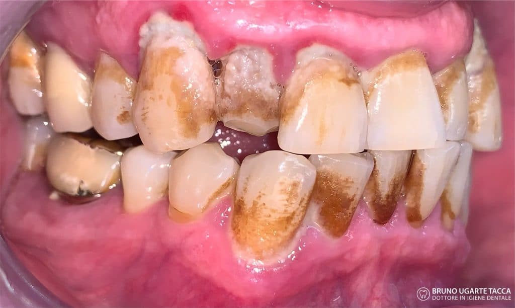
Performing the complete instrumentation
supragingival and subgingival with ultrasonic and / or manual instruments in one
single session or in two sessions at most performed over 2 days
consecutive. The original protocol also includes antiseptic therapy with
chlorhexidine performed in the chair immediately after the instrumentation as well
composed:
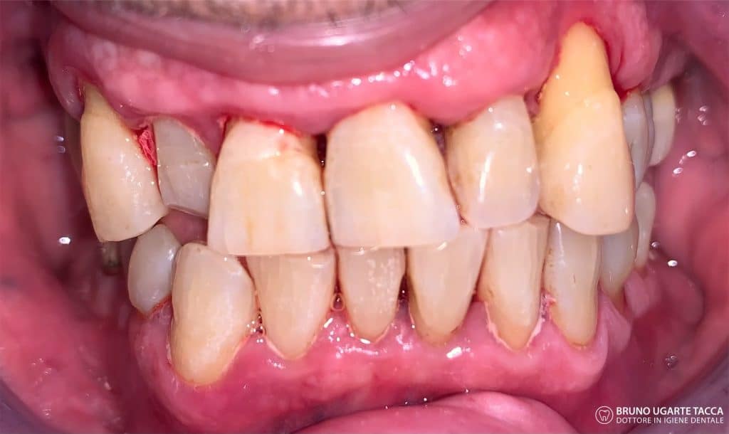
• brushing of the back of the tongue for 1 minute with a 1% CHX gel;
• rinsing twice for 1 minute with a 0.2% CHX solution;
• spray the tonsils 4 times with a 0.2% CHX solution;
15
• subgingival irrigation 3 times with 1% CHX gel (repeated after 8
days).
The patient is also instructed to rinse her mouth and spray her tonsils with one
0.2% CHX solution twice a day for a period of 2 months after.
(Quirynen et al. 1995, Mongardini et al. 1999)
Share on: