༺ 𝑾𝒊𝒕𝒉 𝒎𝒚 𝒑𝒂𝒓𝒕𝒏𝒆𝒓: Dr.Alaa Abdrabou.
༺ Graduation project- Pharos University in Alexandria, Egypt🇪🇬.
𝐅𝐨𝐫 𝐦𝐨𝐫𝐞 𝐝𝐞𝐭𝐚𝐢𝐥𝐬 𝐚𝐧𝐝 𝐢𝐧𝐟𝐨𝐫𝐦𝐚𝐭𝐢𝐨𝐧 𝐚𝐛𝐨𝐮𝐭 𝐭𝐡𝐞 𝐜𝐚𝐬𝐞 𝐩𝐫𝐨𝐜𝐞𝐝𝐮𝐫𝐞𝐬 (𝐒𝐭𝐞𝐩 𝐁𝐲 𝐒𝐭𝐞𝐩): 𝐏𝐥𝐞𝐚𝐬𝐞 𝐨𝐩𝐞𝐧 𝐭𝐡𝐞 𝐥𝐢𝐧𝐤𝐬 𝐛𝐞𝐥𝐨𝐰 𝐨𝐫 𝐬𝐜𝐚𝐧 𝐭𝐡𝐞 𝐐𝐑-𝐜𝐨𝐝𝐞𝐬; 𝐓𝐨 𝐬𝐞𝐞 𝐭𝐡𝐞 𝐝𝐞𝐭𝐚𝐢𝐥𝐞𝐝 𝐩𝐫𝐨𝐜𝐞𝐝𝐮𝐫𝐞 𝐥𝐨𝐠𝐛𝐨𝐨𝐤 𝐨𝐟 𝐭𝐡𝐞 𝐜𝐚𝐬𝐞:
📖 🖋️𝑻𝒉𝒆 𝒍𝒐𝒈𝒃𝒐𝒐𝒌 𝒇𝒖𝒍𝒍 𝒆𝒅𝒊𝒕𝒊𝒐𝒏 (𝑵𝒐𝒕 𝒅𝒊𝒗𝒊𝒅𝒆𝒅):
🔗 https://heyzine.com/flip-book/b9ea82fe6f.html
📕 𝑷𝒂𝒓𝒕 1 (𝑪𝒍𝒊𝒏𝒊𝒄𝒂𝒍 𝒆𝒙𝒂𝒎𝒊𝒏𝒂𝒕𝒊𝒐𝒏 & 𝑫𝒊𝒂𝒈𝒏𝒐𝒔𝒊𝒔):
🔗 https://heyzine.com/flip-book/e610d6bc90.html
📗 𝐏𝐚𝐫𝐭 𝟐 (𝐈𝐧𝐢𝐭𝐢𝐚𝐥 & 𝐇𝐨𝐥𝐝𝐢𝐧𝐠 𝐩𝐡𝐚𝐬𝐞):
🔗 https://heyzine.com/flip-book/27ef6d2419.html
📘 𝑷𝒂𝒓𝒕 3 (𝑬𝒏𝒅𝒐𝒅𝒐𝒏𝒕𝒊𝒄 𝒑𝒉𝒂𝒔𝒆):
🔗 https://heyzine.com/flip-book/c367ac5e4a.html
📙 𝑷𝒂𝒓𝒕 4 (𝑹𝒆𝒔𝒕𝒐𝒓𝒂𝒕𝒊𝒗𝒆 𝒑𝒉𝒂𝒔𝒆):
🔗 https://heyzine.com/flip-book/df14dbbfa6.html
📔 𝑷𝒂𝒓𝒕 5 (𝑭𝒊𝒙𝒆𝒅 𝒑𝒓𝒐𝒔𝒕𝒉𝒐𝒅𝒐𝒏𝒕𝒊𝒄𝒔):
🔗 https://heyzine.com/flip-book/622184078c.html
📓 𝑷𝒂𝒓𝒕 6 (𝑩𝒆𝒇𝒐𝒓𝒆 & 𝑨𝒇𝒕𝒆𝒓):
🔗 https://heyzine.com/flip-book/7fc6f8455f.html
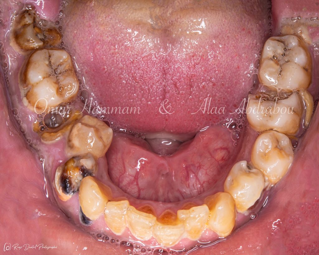
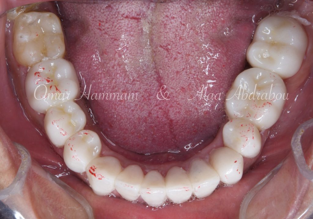
The optimum occlusion tried to be established at the right side to be half unit "Cusp to Cusp" occlusion, as the patient suffers from two different occlusion classes on the both sides and on the same side between the molar and canine relationships, to distribute forces more evenly across the occlusal surfaces promoting stability and longevity of the restoration.
11
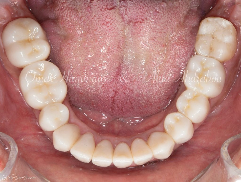
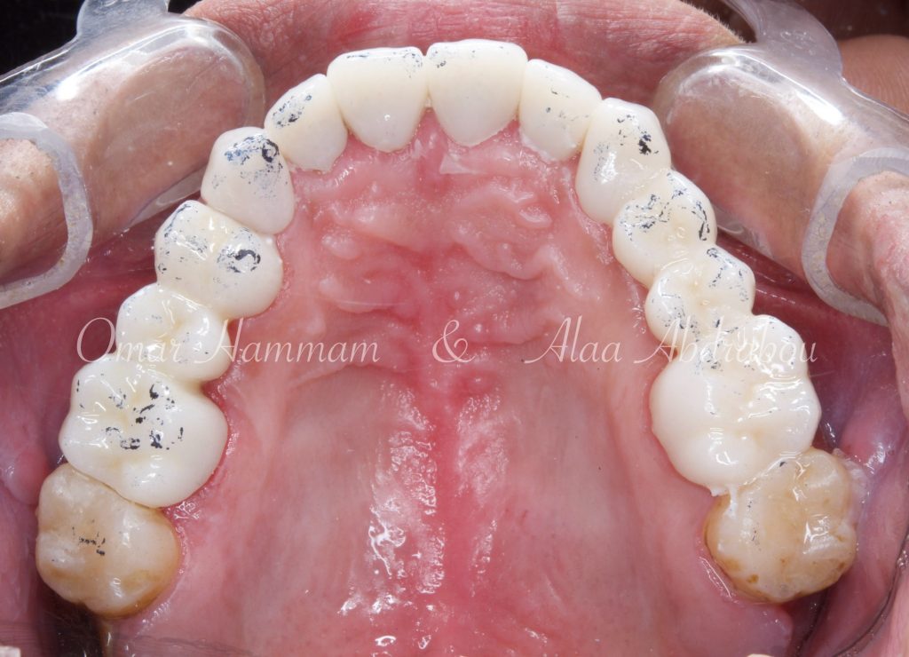
Immediate occlusal scheme after cementation (before any adjustments):
Showing “Occlusal equilibration”, where Stable occlusion is achieved , in which there are Stable contacts of equal intensities on all teeth in centric occlusion showing Group Function occlusion.
Occlusal forces are distributed on more occlusal contacts, Acting as a group to distribute occlusal forces, thereby increasing efficiency of mastication and performing lateral movements atraumatically.
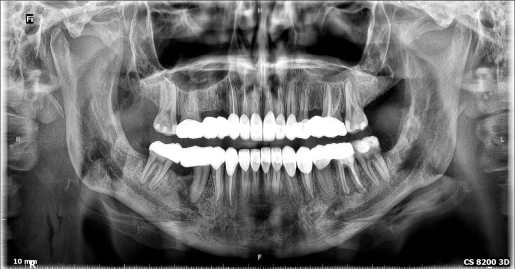
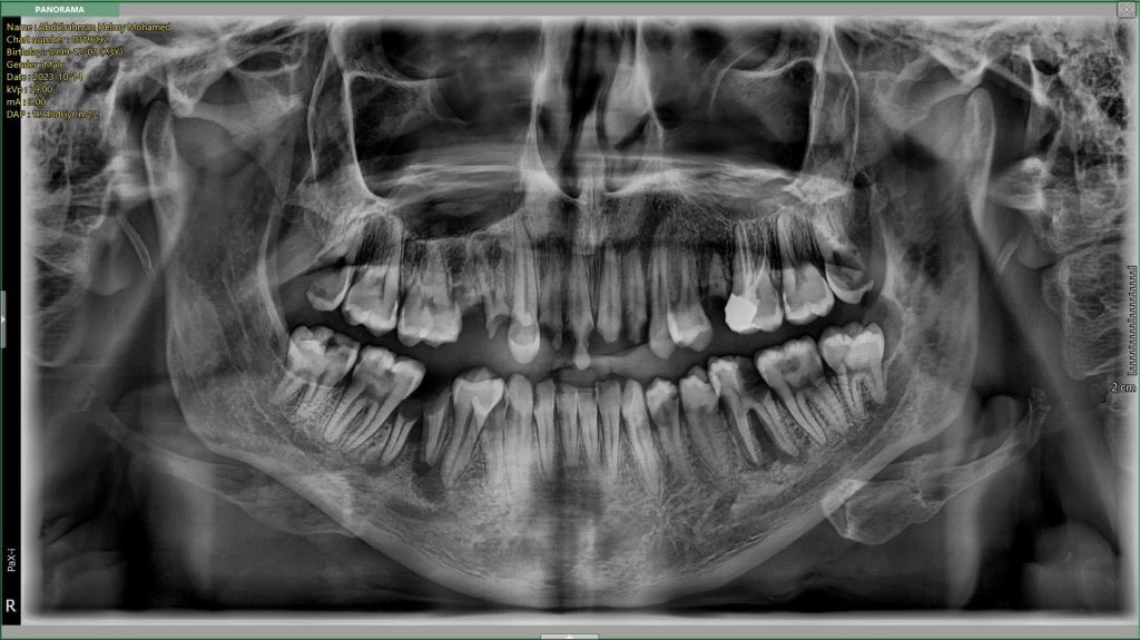
By the help of cephalometric analysis, the patient diagnosed as “Skeletal Class II”; Due to retuded mandible ( SNA= 84, SNB= 78, ANB= 5.92)
The patient suffered from Skeletal midline shift (due to improper position of the mandible) which requires invasive intentional endodontic treatment to the lower six incisors to correct the midline shift (It's better to be conservative rather than devitalization as lower midlineshift is not an esthetic concern).
More than 2 mm midline shift
Share on: