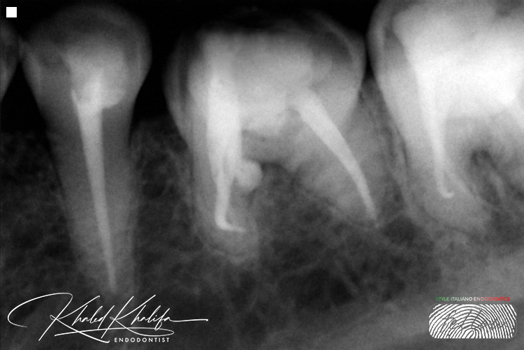
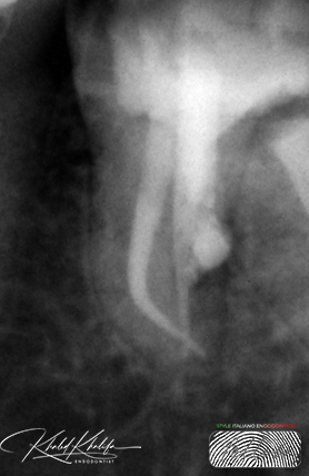
Referral Case
Unfortunately, in this case as you can see, the previous doctor tried to retrieve/bypass the file before referring the case as seen in the first 2 photos they made a perforation above the broken file in inner wall.
Broken File Retrieval + Managment of Acute Curve + Sealing Perforation and Coronal part of the root with Bioceramic Material.
Share on: