Esthetic crown lengthening respecting the biological width
Treatment plan:
– Planning and measuring the incisors length
– Measuring the depth of sulcus
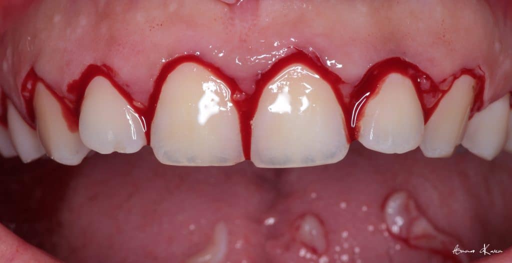
– Bleeding points to the area will be cutted
– cutting the gingiva by blade
– Flab reflection and refraction
– Bone removal to allow 2 mm space between the gingival margin and the bone
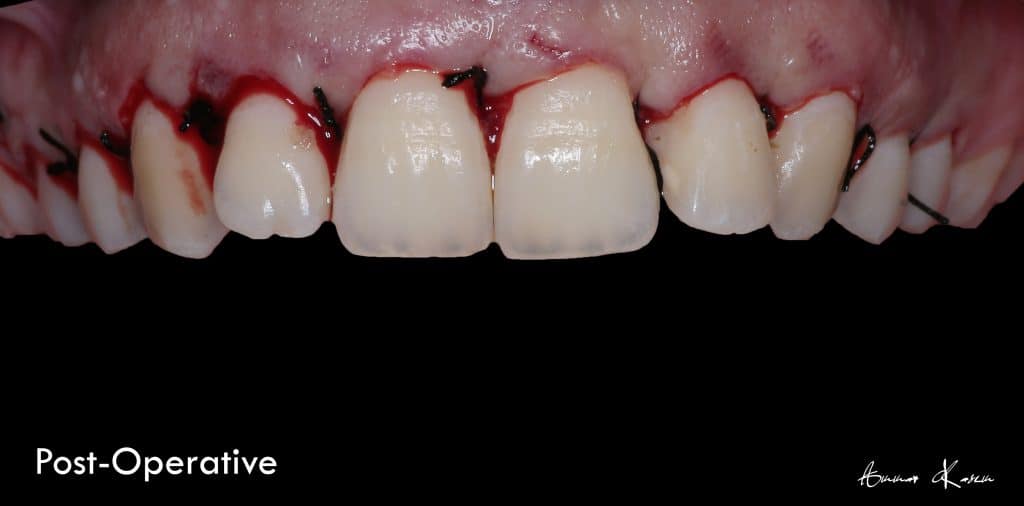
– Suturing
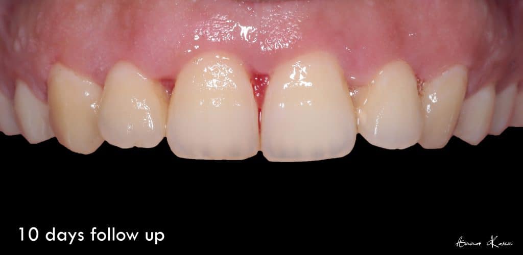
– Follow up
Share on: