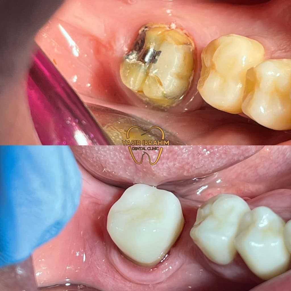
A 45 years old female patient has rct and crown for #47 tooth one year ago .
C.C : Severe, constant, throbbing pain, with sensitivity to percussion .
Radiographic analysis show periapical lesion With poor RCT .
Diagnosis : periapical abscess .
T.p :
1_remove the crown .
2_endo-retretment and doing bio_obturation by MTA .
3_build up by use ribbond and ever X
4_cover the tooth by endocrown .
Screw
Pus drainage through the root canal system After emergency A.O
Complete cleaning.
c-shape canal.
obturation with MTA.
The ribbond is placed in a circumferential manner to strengthen the walls of the tooth and protect it from fracture.
EVER X.
tooth build up.
Tooth prep for endocrown with ferrule design.
ips e.max press.
intracanal medicament Ca(OH)2.
Marginal adaptation.
Ca(OH)2 removed after 14 days.
obturation with MTA.
endocrown cementation .
we notice healing of the periapical lesion by 75% With
disappearance of all symptoms, after one month of obturation by MTA.
Share on: