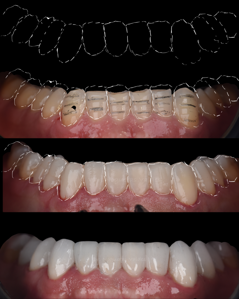
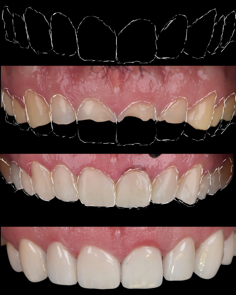
Full-mouth rehabilitation with increased vertical dimension of occlusion (VDO), combining adhesive posterior restorations, advanced anterior aesthetic rehabilitation, and implant therapy to restore function, occlusal stability, and smile aesthetics.
Anterior Regions (Upper & Lower)
Posterior Regions
Share on: