Art and Science🎨
Implant therapy in the aesthetic zone represents one of the most demanding aspects of contemporary implantology, as it requires the integration of surgical precision with prosthetic and biological considerations to achieve both functional stability and harmonious esthetics.
Case Presentation:
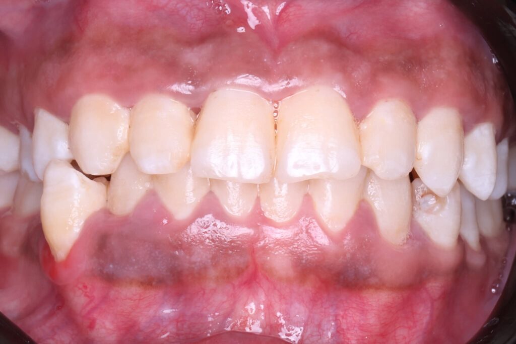
A 25 year old patient presented to the department with a history of motorcycle-related trauma.
Clinical examination revealed mobility grade 3 in the maxillary central incisors.
Radiographic ex revelaed horizontal root fracture in the apical third with buccal bone fenestration in the right central and intact socket in the left one.
Surgeries:
Stage one:
Atraumatic extraction
Fully guided implant placement
Ice cream cone technique in the right central
Grafting jump gap
Immediate provisionalization with pmma Maryland bridge
Stage two ( Uncovery)
Double Roll Flap technique
Costumized composite crowns for emergency profile creation
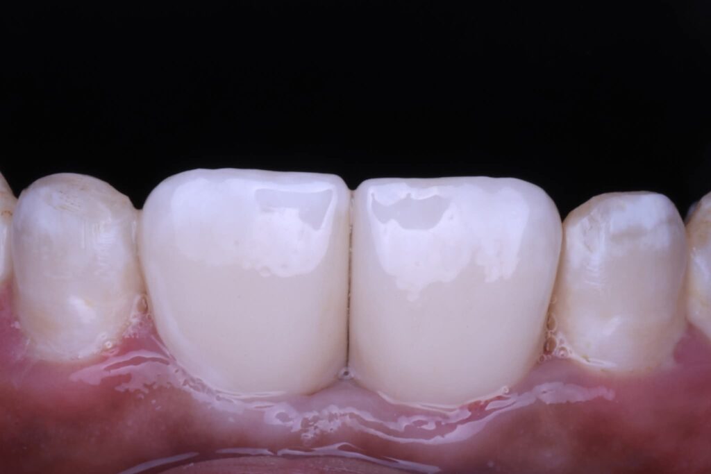
Stage three ( restorative)
Digital impression with IOS
Try in
Screw-retained zirconia crowns
Share on: