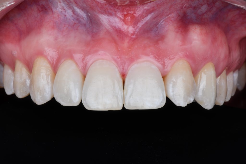
A 24-year-old female patient referred by an orthodontist who resolved the unilateral agenesis of the left upper lateral incisor by mesializing the left upper cuspid and shifting the gap in between teeth 23 and 25. After confirming the free bone corridor between the roots of the cuspid and the first bicuspid, a Straumann BLX RB implant (3.75 mm) was inserted and thin soft tissue buccally augmented with tuberosity connective graft. A sliding island flap on the palatal side relieved tension while suturing both sides of the mucosa. Three months later, the ortho appliance was removed and a temporary crown (Cerasmart) was delivered. All teeth were whitened and after four-month-period, an all-ceramic crown (Katana) was made and fixed. The patient denied and reshaping of the tooth 23. In 3 years, the situation is sthbilized however the prognosis of the tissue covering the tooth 23 is doubtful. Prosthetic part of the treatment done by a.krugova
the tooth 23 is already in contact with the upper left incisor
the root of the tooth 23 was moved out of the bone envelope however the patient denied to continue in ortho Tx
sufficient bone width in cuspid area
the sliding island flap secured with 6/0 stitches
the situation 10 days after the surgery
visible enlarged volume in the gap after connective tissue grafting
emergence profile trained by a temporary crown
surrounding teeth were bleached
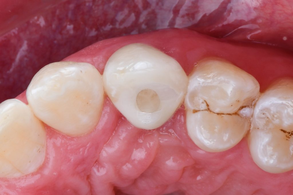
full ceramic crown on a Variobase abutment
final crown seated, both papilli are fulfilling interproximal areas
the contour of the crest without any collapse
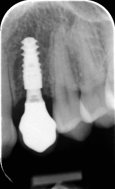
PA X-Ray with stabile marginal bone
the tooth 23 still in shape of a cuspid
Share on: