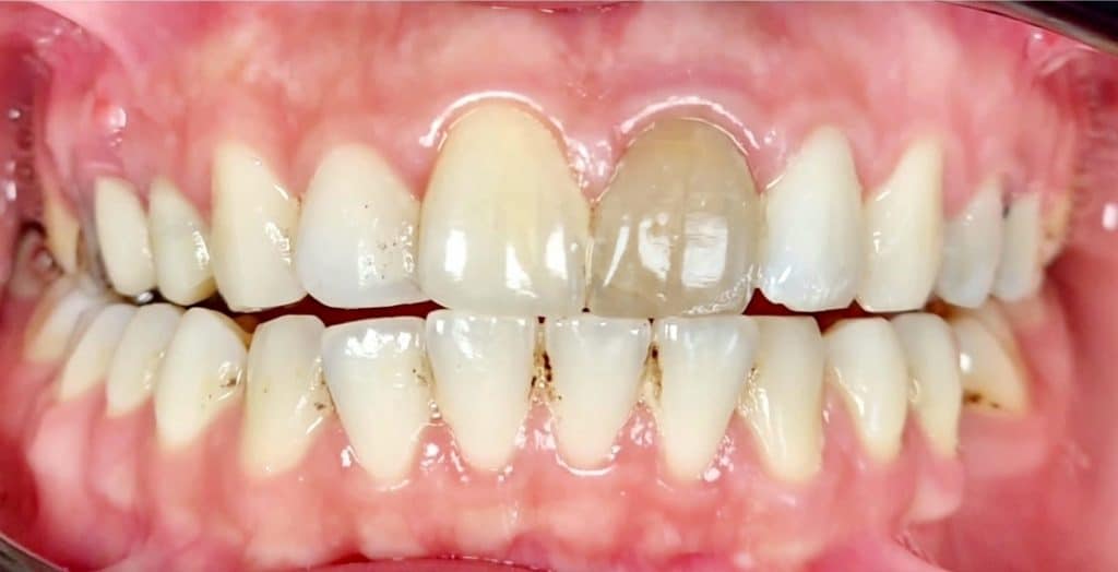
♦ internal bleaching ♦
Endo treated left central incisor 11 years ago for 30 yrs old female.
- Steps :
1- Remove old filling and cavity cleaning.
2- Cutting the gutta percha 2 mm below the gingival line or else it will affect the tooth shade ..
3- Seal gp by GIC as aprotective barrier against bleaching material.
4- Apply the bleaching material.
5- Cotton and T.F.
Then replace the bleaching gel after 5 days one time or more till you get the desired result .
Share on: