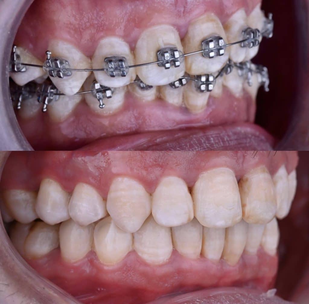
35 years old male come to the clinic say that he had one side of his gum appearing more than the other side when he smile
and he is very afraid from the mini implant to correct that canting in his jaw and he visit more than one dr and no one accepts to treat him with out mini implant
i do full case study for the case and I suggested to treat him with yin yang wire hand made by me
1-diagnosis
Difficult case of
Jaw canting
Cross bite
Deep bite
Class 2 left side
Sever crwoding of lower teeth
2-treatment plan
Open the bite use anterior bite turbo to treat the anterior deep bite
The Level and alignments
After full level and alignments Use of cross elastic to treat the cross bite left side
After that use of T loop for close the space to the upper left lateral
After that use of class 2 elastic left side to correct the canine relationship to class I
After that use of yin yang hand made 18-25 ss wire to start the treatment of jaw canting
The case done without any extraction and tads
Share on: