27 years old patient come to clinic asking to restor her lower first molar , she did the filling more than 10 years ago , the treatment was just remove the old amalgam and screw and fill the screw space with( daul cure material or bioceramic putty and sealer or MTA .. ) here I use the dual cure material to fill the space after special treatment and restor the crown with indirect lithium disilicate overlay
Initial situation , 10 years ago the patien did this endodontic treatment and amalgam filling
During amalgam removal
Old amalgam and screw removed
The empty space in the canal treated and filled with dual cure material
IDS with gold standard clearfil SE bond ,
D.M.E and biobase
Biobase ,
The pulpl chamber filled with ever x posterior and coverd by GC composite
Impression taking
Cementation day , cementation with heated APx composite
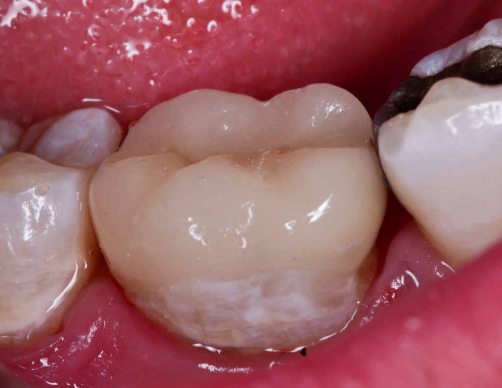
Immediate result
Buccal view
Immediate after rubber dam removal
Immediate result , buccal view
Lingual view
Pre-operative x ray showing the large defective amalgam and screw
Post-operative x ray
Share on: