Large Diastema Closure with Direct Composite Veneers
A Digital, Adhesive-Driven, Minimally Invasive Approach in a Patient Refusing Orthodontic Treatment
Abstract
Management of anterior spacing traditionally involves orthodontic therapy. However, when patients decline orthodontic correction due to time constraints or personal preference, restorative solutions must be carefully planned to preserve biology while achieving optimal aesthetics.
This case presents the closure of a large maxillary midline diastema using a fully digital workflow followed by direct composite veneers. Treatment emphasized enamel preservation, controlled emergence profile development, and biomimetic layering under strict rubber dam isolation. The outcome demonstrates how adhesive dentistry, when guided by digital planning, can deliver predictable and conservative aesthetic rehabilitation.
Introduction
Midline diastema is a common aesthetic concern. While orthodontic therapy remains the gold standard for correcting spacing and alignment discrepancies, restorative camouflage may be indicated when:
- The patient refuses orthodontics
- Time constraints prevent long-term orthodontic treatment
- Occlusion is stable and spacing is primarily aesthetic
Modern adhesive dentistry allows clinicians to restore anterior form conservatively while maintaining enamel integrity and periodontal health. Direct composite veneers provide reversibility, repairability, and minimal tooth preparation compared with ceramic alternatives.
Case Presentation
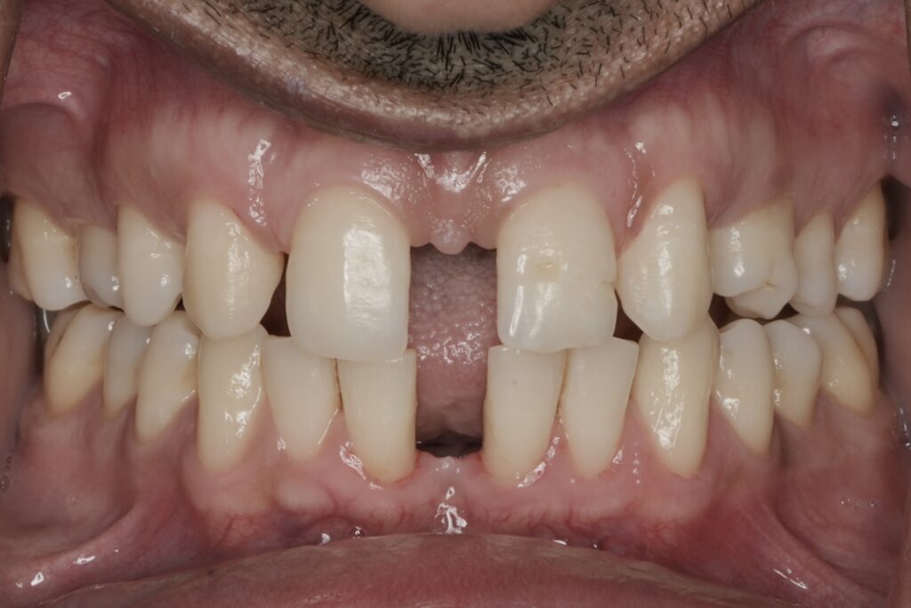
Chief Complaint:
“I want to close the gap between my front teeth without braces.”
Clinical Findings:
- Large maxillary midline diastema
- Healthy periodontal condition
- Stable occlusion
- No significant rotation requiring orthodontic correction
- Adequate enamel substrate for bonding
The patient declined orthodontic treatment and requested an immediate aesthetic solution.
Treatment Planning
A digital-first protocol was adopted.
Step 1 – Digital Scan and Smile Analysis
- Intraoral 3D scan performed
- Smile design analysis including midline, incisal plane, and golden proportion evaluation
- Virtual wax-up created to determine ideal tooth width and contour
Step 2 – Digital Mock-Up
- Mock-up transferred intraorally
- Phonetics and smile dynamics evaluated
- Patient approval obtained before definitive procedure
The digital phase allowed precise control over tooth proportions and prevented over-contouring during diastema closure.
Clinical Procedure
Step 1 – Isolation
- Full rubber dam isolation applied
- Proper retraction ensured clean adhesive field
- Isolation critical to prevent contamination and ensure bond longevity
Step 2 – Surface Preparation
- No aggressive preparation
- Selective enamel roughening only where required
- Enamel preserved to maximize bond strength
Step 3 – Adhesive Protocol
- 37% phosphoric acid etch (selective enamel etching)
- Universal adhesive applied according to manufacturer instructions
- Careful air thinning and polymerization
Enamel bonding was prioritized to enhance long-term marginal integrity.
Step 4 – Emergence Profile Development
One of the most critical steps in diastema closure is biological contour control.
- Proximal build-up performed incrementally
- Emergence profile designed to support papilla without overhang
- Contact point positioned strategically to prevent black triangles
This step prevents periodontal compromise and ensures long-term papillary stability.
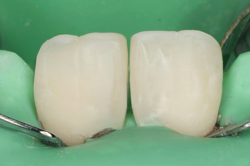
Step 5 – Composite Layering Technique
A biomimetic layering approach was used:
- Palatal shell first to establish framework
- Dentin body shade to create opacity
- Enamel layer for translucency
- Subtle characterization for depth
Each increment was sculpted anatomically rather than bulk-filled, restoring natural line angles and surface morphology.
Step 6 – Finishing and Polishing
- Interproximal refinement for smooth contact
- Line angle definition for optical narrowing
- Multi-step polishing system to achieve enamel-like gloss
Surface texture was reproduced to mimic natural enamel light reflection.
Outcome
- Diastema closed harmoniously
- Midline visually centered
- Gingival architecture respected
- No over-contouring or periodontal compromise
- Immediate aesthetic enhancement
The patient achieved a natural smile without orthodontic intervention, while enamel preservation remained the primary objective.
Discussion
Large diastema closure using composite veneers requires more than simply adding material. Critical considerations include:
- Proportion management to avoid excessively wide central incisors
- Emergence profile design to maintain periodontal health
- Enamel preservation to ensure durable adhesion
- Contact positioning to prevent black triangles
Direct composite veneers offer several advantages over ceramic alternatives in such cases:
- Minimally invasive
- Repairable
- Cost-effective
- Single-visit solution
- Reversible in early stages
Long-term success depends on proper case selection, isolation, and adherence to adhesive protocols.
Conclusion
When orthodontic treatment is declined, conservative adhesive dentistry provides a predictable alternative for diastema management. Digital planning enhances precision, while biomimetic composite layering restores aesthetics without compromising biology.
Aesthetic success begins with diagnosis and planning, not with material selection alone. Respect for enamel and periodontal architecture remains the foundation of predictable outcomes.
References
- Dietschi D, Spreafico R. Current clinical concepts for adhesive cementation of tooth-colored posterior restorations. Practical Periodontics and Aesthetic Dentistry. 1998.
- Van Meerbeek B et al. Adhesion to enamel and dentin: current status and future challenges. Operative Dentistry. 2003;28(3):215-235.
- Bazos P, Magne P. Bio-emulation: biomimetically emulating nature utilizing a histoanatomic approach. International Journal of Esthetic Dentistry. 2011.
- Peumans M, Van Meerbeek B, Lambrechts P, Vanherle G. Direct composite additions for aesthetic correction of anterior teeth: a long-term clinical study. Journal of Adhesive Dentistry. 1997.
{"data":{"enter_from":"enter_launch","activityName":"","playId":"","product":"retouch","stickerId":"","pictureId":"6B650C8C-E648-4687-8F09-6B9D68717A5A","infoStickerId":"","imageEffectId":"","filterId":"","os":"ios","appversion":"8.0.0"},"source_type":"hypic","tiktok_developers_3p_anchor_params":"{"capability_extra_v2":{"edit":[{"panel":"hd_quality_picture"}]},"client_key":"awgvo7gzpeas2ho6","template_id":"","filter_id":[],"capability_key":["edit"]}"}
{"source_type":"hypic","data":{"imageEffectId":"","pictureId":"8F770FEC-9BD7-4193-B2FF-BCD7DD5972BA","stickerId":"","product":"retouch","filterId":"","appversion":"8.0.0","infoStickerId":"","playId":"","activityName":"","os":"ios","enter_from":"enter_launch"},"tiktok_developers_3p_anchor_params":"{"capability_key":["edit"],"capability_extra_v2":{"edit":[{"panel":"hd_quality_picture"}]},"filter_id":[],"client_key":"awgvo7gzpeas2ho6","template_id":""}"}
{"source_type":"hypic","tiktok_developers_3p_anchor_params":"{"filter_id":[],"capability_key":["edit"],"capability_extra_v2":{"edit":[{"panel":"hd_quality_picture"}]},"client_key":"awgvo7gzpeas2ho6","template_id":""}","data":{"infoStickerId":"","stickerId":"","filterId":"","imageEffectId":"","enter_from":"enter_launch","pictureId":"F9E81F8D-09F4-41A8-AD46-0A0C5EA84A5E","os":"ios","playId":"","appversion":"8.0.0","product":"retouch","activityName":""}}
{"source_type":"hypic","tiktok_developers_3p_anchor_params":"{"capability_key":["edit"],"client_key":"awgvo7gzpeas2ho6","capability_extra_v2":{"edit":[{"panel":"hd_quality_picture"}]},"filter_id":[],"template_id":""}","data":{"filterId":"","infoStickerId":"","pictureId":"3097E786-944C-4FA1-BF9D-9D5BE57417DB","enter_from":"enter_launch","playId":"","product":"retouch","stickerId":"","imageEffectId":"","os":"ios","appversion":"8.0.0","activityName":""}}
{"source_type":"hypic","tiktok_developers_3p_anchor_params":"{"template_id":"","capability_extra_v2":{"edit":[{"panel":"hd_quality_picture"}]},"client_key":"awgvo7gzpeas2ho6","filter_id":[],"capability_key":["edit"]}","data":{"filterId":"","imageEffectId":"","playId":"","infoStickerId":"","os":"ios","appversion":"8.0.0","activityName":"","stickerId":"","enter_from":"enter_launch","pictureId":"BE1335D7-3594-4BC2-A259-EE515A1B7477","product":"retouch"}}
{"data":{"appversion":"8.0.0","activityName":"","imageEffectId":"","os":"ios","pictureId":"B5E58A1E-62DE-452F-9AED-107977DB83EF","product":"retouch","infoStickerId":"","playId":"","enter_from":"enter_launch","stickerId":"","filterId":""},"tiktok_developers_3p_anchor_params":"{"capability_key":["edit"],"filter_id":[],"capability_extra_v2":{"edit":[{"panel":"hd_quality_picture"}]},"template_id":"","client_key":"awgvo7gzpeas2ho6"}","source_type":"hypic"}
{"tiktok_developers_3p_anchor_params":"{"capability_key":["edit"],"capability_extra_v2":{"edit":[{"panel":"hd_quality_picture"}]},"template_id":"","client_key":"awgvo7gzpeas2ho6","filter_id":[]}","source_type":"hypic","data":{"filterId":"","enter_from":"enter_launch","product":"retouch","pictureId":"DC637A75-D165-4DDF-83F6-90FB7174BF64","stickerId":"","playId":"","activityName":"","appversion":"8.0.0","infoStickerId":"","imageEffectId":"","os":"ios"}}
{"tiktok_developers_3p_anchor_params":"{"capability_extra_v2":{"edit":[{"panel":"hd_quality_picture"}]},"client_key":"awgvo7gzpeas2ho6","template_id":"","filter_id":[],"capability_key":["edit"]}","data":{"imageEffectId":"","filterId":"","appversion":"8.0.0","stickerId":"","product":"retouch","os":"ios","enter_from":"enter_launch","playId":"","infoStickerId":"","activityName":"","pictureId":"D2A451C2-628D-42A1-B581-8FB5D4423847"},"source_type":"hypic"}
Share on: