💫 Happy Eid Fitr to All my Friends 💫
I hope you all are enjoying the start of Eid.
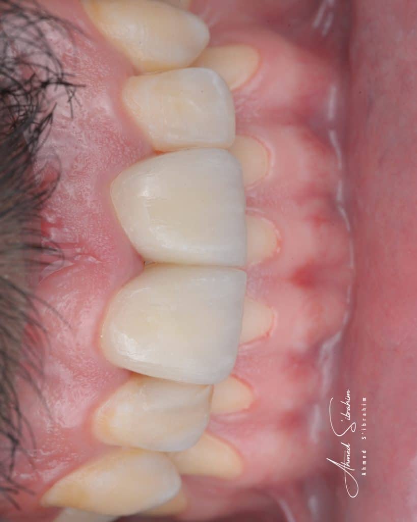
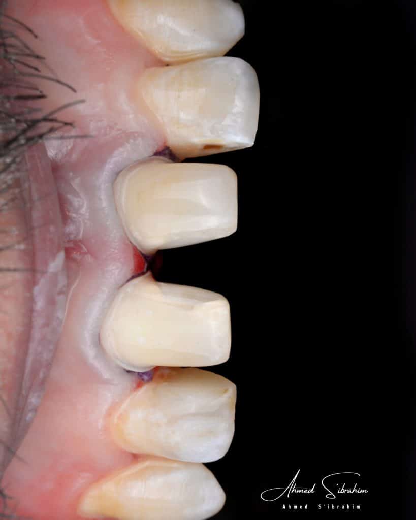
Anterior teeth need love too so I decided to share this case. Posterior teeth, Anterior teeth… enamel is enamel and dentin is dentin. So Bonding protocols are still the same. The only difference would be the bonding system of choice.
This case was a great and difficult case for me. My patient is 27 years old.
We had many problems from the first day: Bad direct Composite restorations with overhang, bad hygiene, tooth decay, periapical lesions, sinus tract…but more important, the patient will leave and he doesn’t know when he’s coming back. Big old composite restorations were on the central incisors, so no minimal invasive preparation was possible. I decided to go for root canal treatment on 21, seal and rebuild with composite, and then create full 2 contour Emax (lithium disilicate) crowns. The tissue is stable and the overall aesthetics is excellent. The cementation protocol was made with HeyTec Cem SE from Heydent.
Share on: