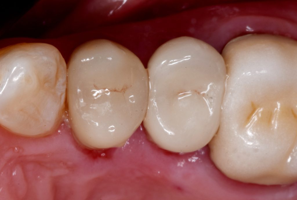
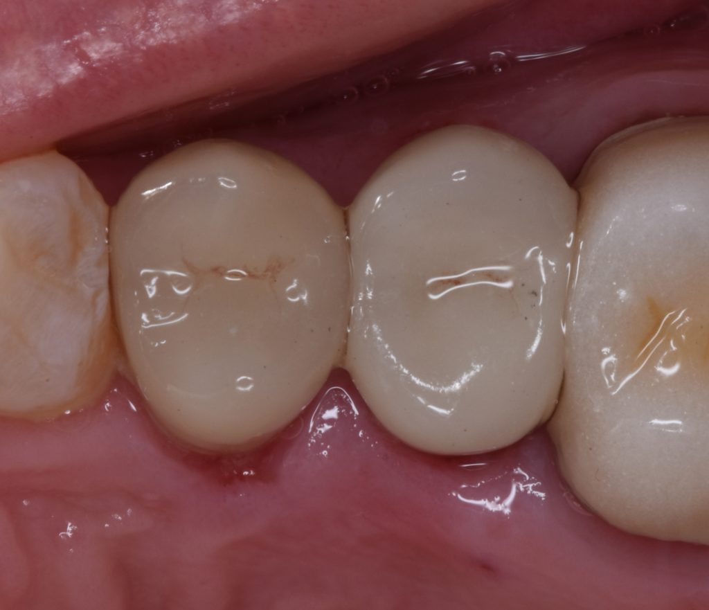
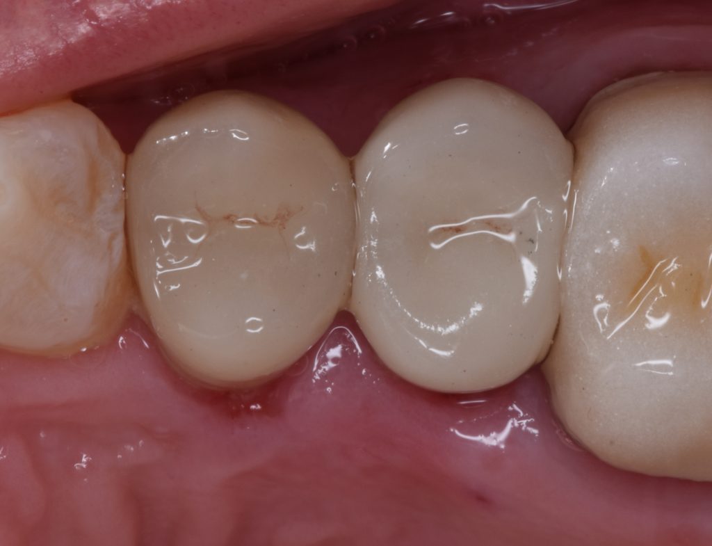
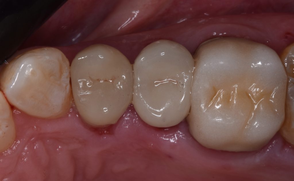
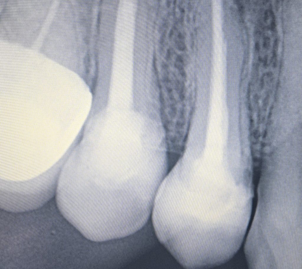
Upper right first and second premolars
Were badly decayed
Upon examination
I decided to go for indirect lithium disilicate restorations
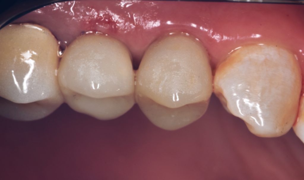
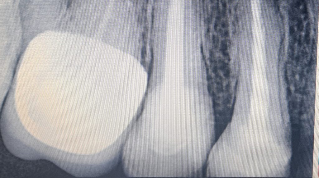
Rubber dam isolation is mandatory in such cases
Caries removal with aid of caries detector dye
Deep margin elevation using circumferencial Copper bands
Elevation by snow plow technique n
And final design to receive to monolithic lithium disilicate restorations
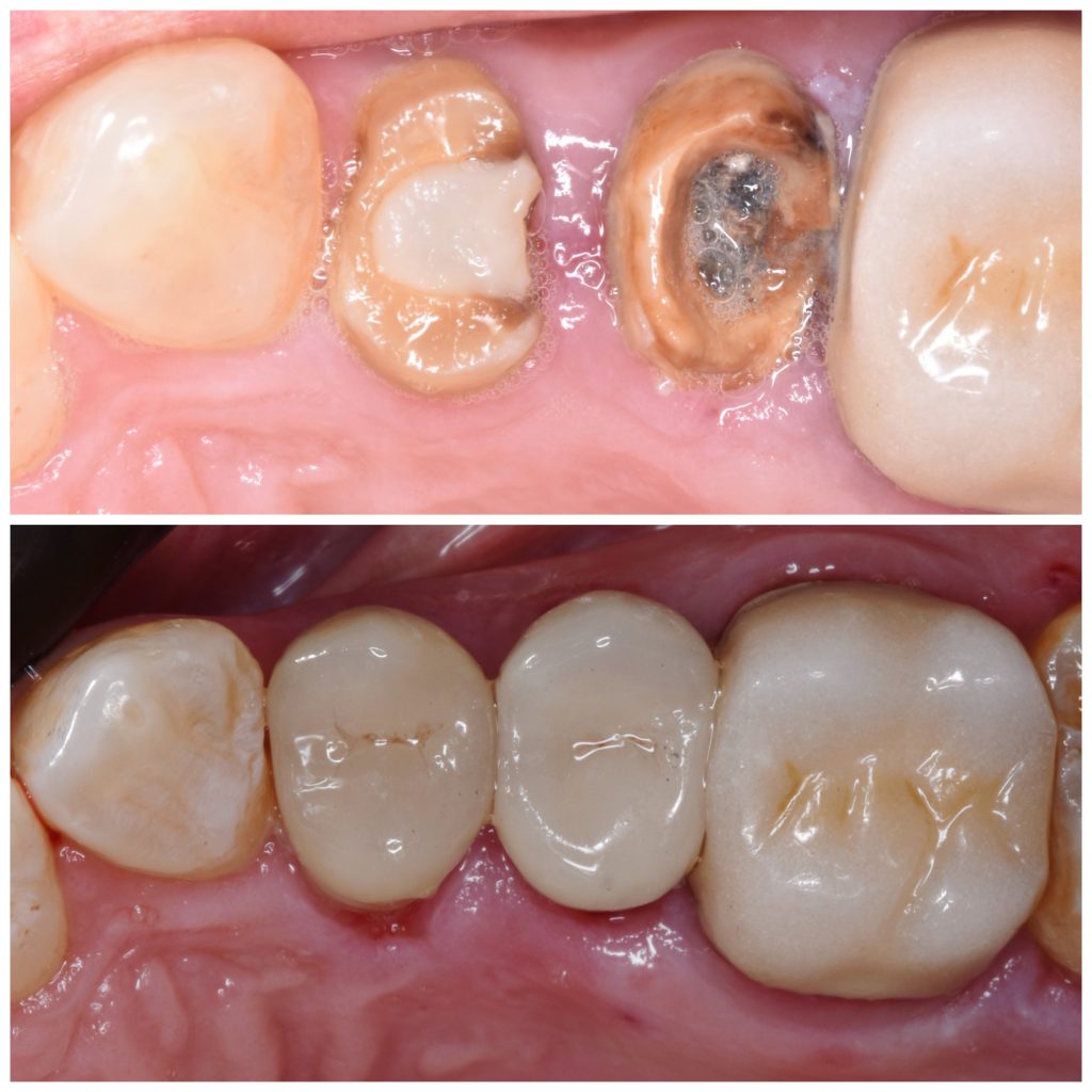
Cementation by heated composite
Shofu beautifill LS
Share on: