Dental Veneers provide an excellent opportunity in order to enhance a patients smile through correction of shape, form and colour. Veneers are mainly of two types..
1.Composite Veneers
2. Ceramic Veneers.
In this case ceramic veneers were chosen as they are known to be more colour stable and life-like over the long run.
Emax or Lithium Disilicate with cut-back and layering approach was used and cemented using Calibra Veneer -Translucent cement which is light cured thus providing complete control of the bonding process.
A biologically oriented tooth preparation was carried through the created mock up in order to maximize the preservation of tooth material.
Bonding to enamel always provides a better chance at long term success of veneers.
The restorative approach is shown through the photographs from shade selection, mock up and final smile..
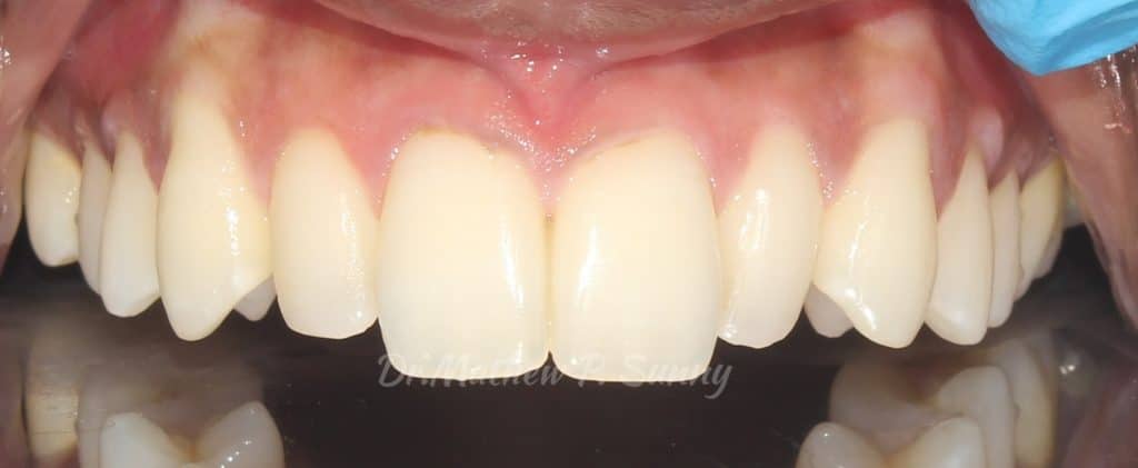
Initial Smile presentation with peg laterals..
another close up..
intra oral view..
occlusal view showing the presence of restorative space for veneers..
shade selection is done initially.. multiple shades are checked..
1M1 checked..
finally 1M2 was decided upon..
direct composite mock up done..
preperations are done through the mock up to allow maximum preservation of enamel..
right side shown here..
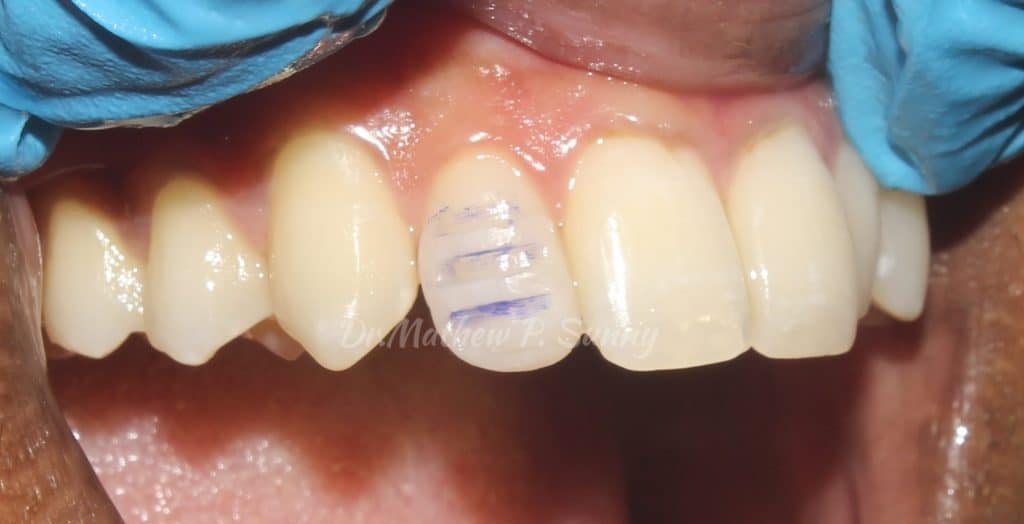
frontal view after preparation.. note the minimal loss of tooth structure..
#12 prep..
#22 prep..
the beautifully done lithium disilicate veneers..
the try-in is acceptable for the patient.
open dam isolation ..
after bonding and finishing of margins...
patients new smile..
the happy patient...
Share on: