A new case by our Zerodonto group expert Dr. Vincenzo Vitale
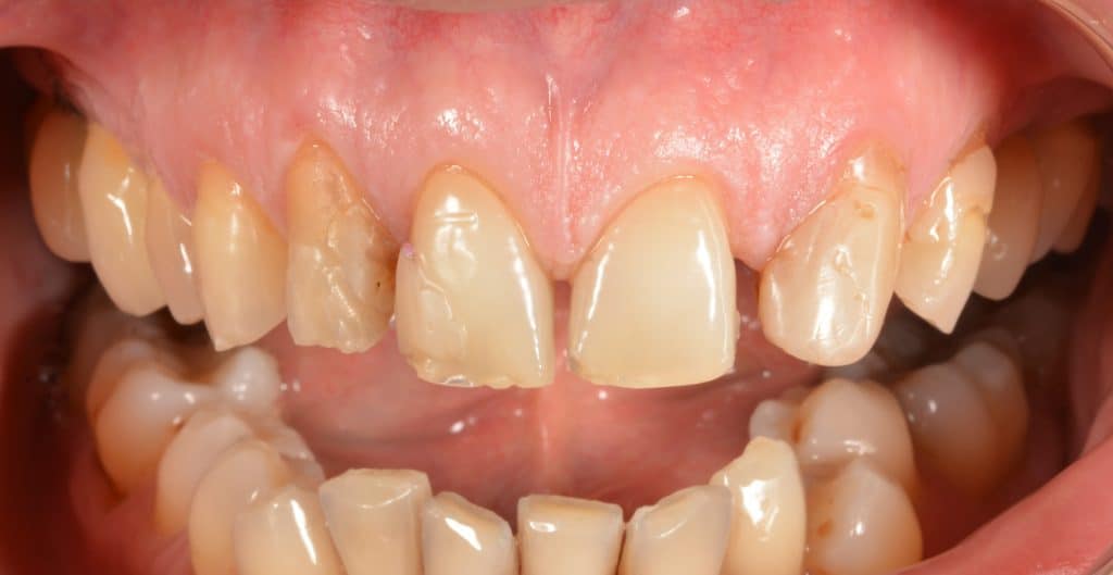
Patient came to our attention willing to solve the anterior unesthetic diastema.
At clinical examination is visible a single, lateral incisor 2.2 agenesia.
Presence of multiple old, infiltrated and debording anterior composite restorations are visible.
The best treatment plan would need a multidisciplinary approach with an orthodontic therapy to achieve a better position of teeth and regularize the gingival zenith.
The patient refuses any orthodontic treatment and requires a prosthodontic approach.
This makes the treatment more complex and with some esthetic compromises.
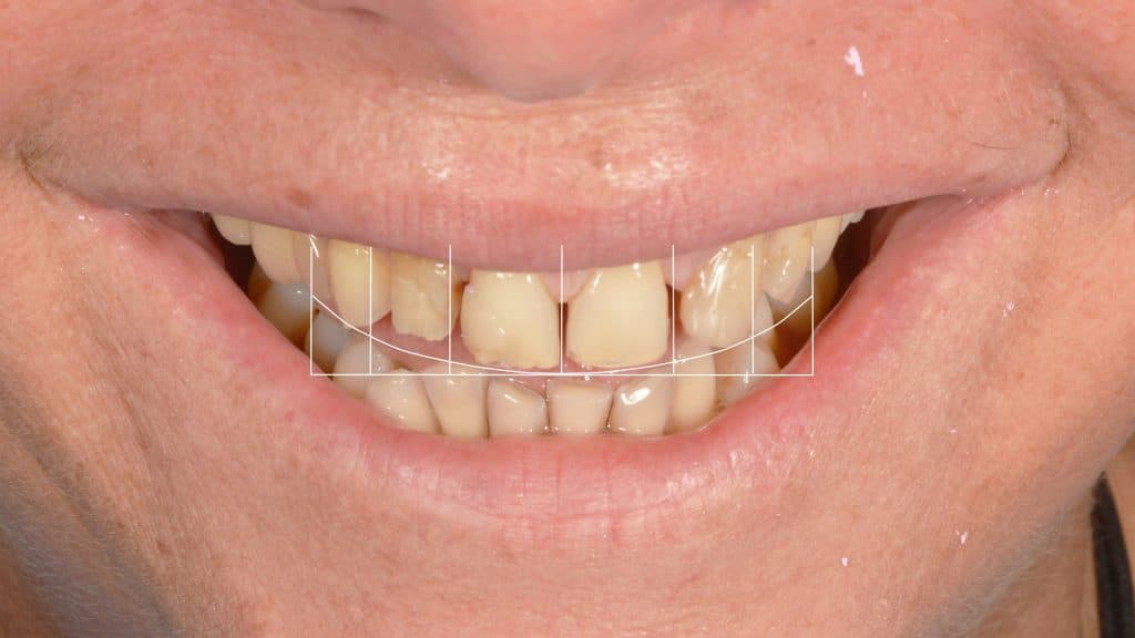
An initial occlusal and aesthetic analysis is performed.
A DSD helps in bidimensional previsualization of final result .
A mockup, realized with acrilyc resin, is molded on teeth to have a three dimensional pre-visualization of the final result.
Once got the acceptance of the mock from the patient, the preparation phase begins.
This is performed through the mockup with calibrated depth grooves colored with a pencil to get a better distinction of resin and enamel.
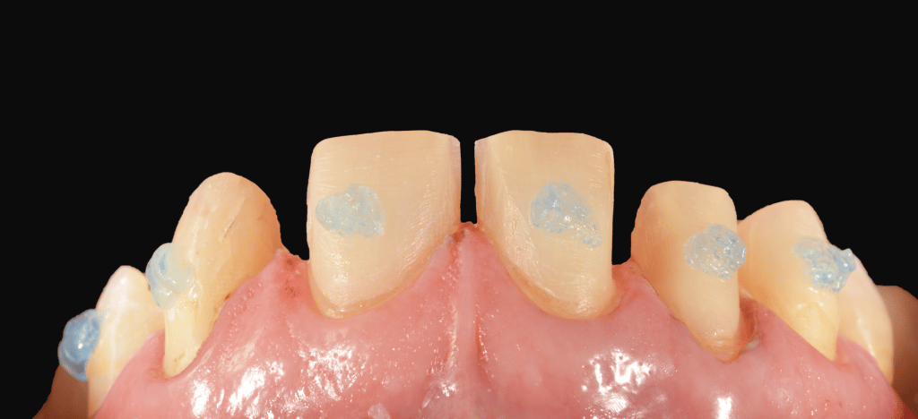
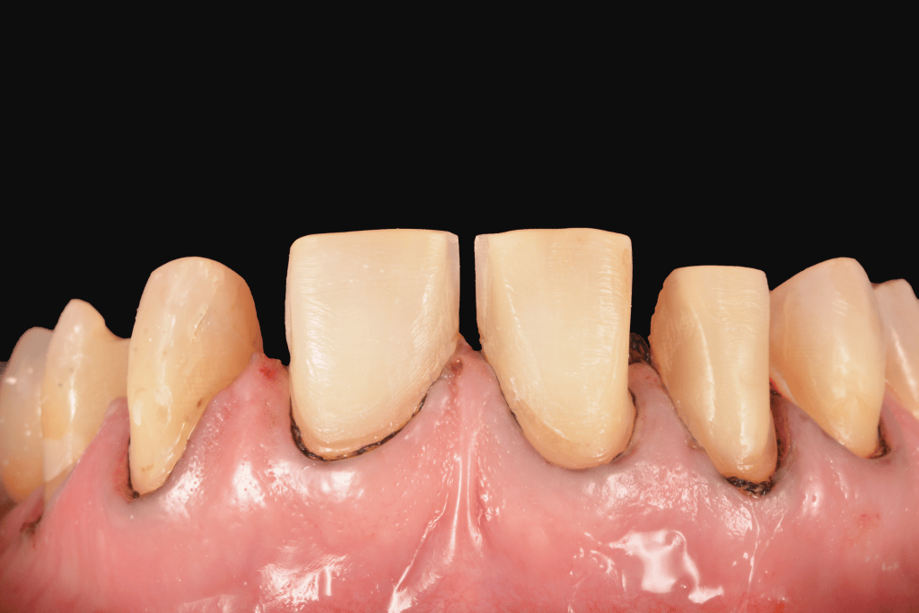
The preparations are epigengival. With a 000 retraction cords, the finishing of the prep are done. During the prep great attention is given to soft tissues to avoid bleeding that can interfere with final impression.
An immediate digital impression is taken and a spot etch technique is used to deliver the mockup as a provisional restoration.
Delivery of veneers is carried out under Absolute rubber dam isolation.
Pretreatment of LiDi Veneers requires an ethching with HF 4.6% for 20 sec; water rinsing and dry. Ultrasonic cleaning in alcohol for 5min and silane application for 20 sec and dry. Uncured bonding is then applied.
Teeth are cleaned, etched with 37% H3PO4 for 15/20 sec, water rinsed and uncured bonding application is performed.
With preheated composite resin the veneers are seated one at time. Meticolous removal of excesses and a lightcuing of 60 sec. on each surface is performed. Last lighcuring is carried out under glicerine gel to allow curing of superficial inhibited oxigen layer of resin cement.
Rubberdam is later dissambled and occlusion is checked carefully looking at the incisive and canine guidances.
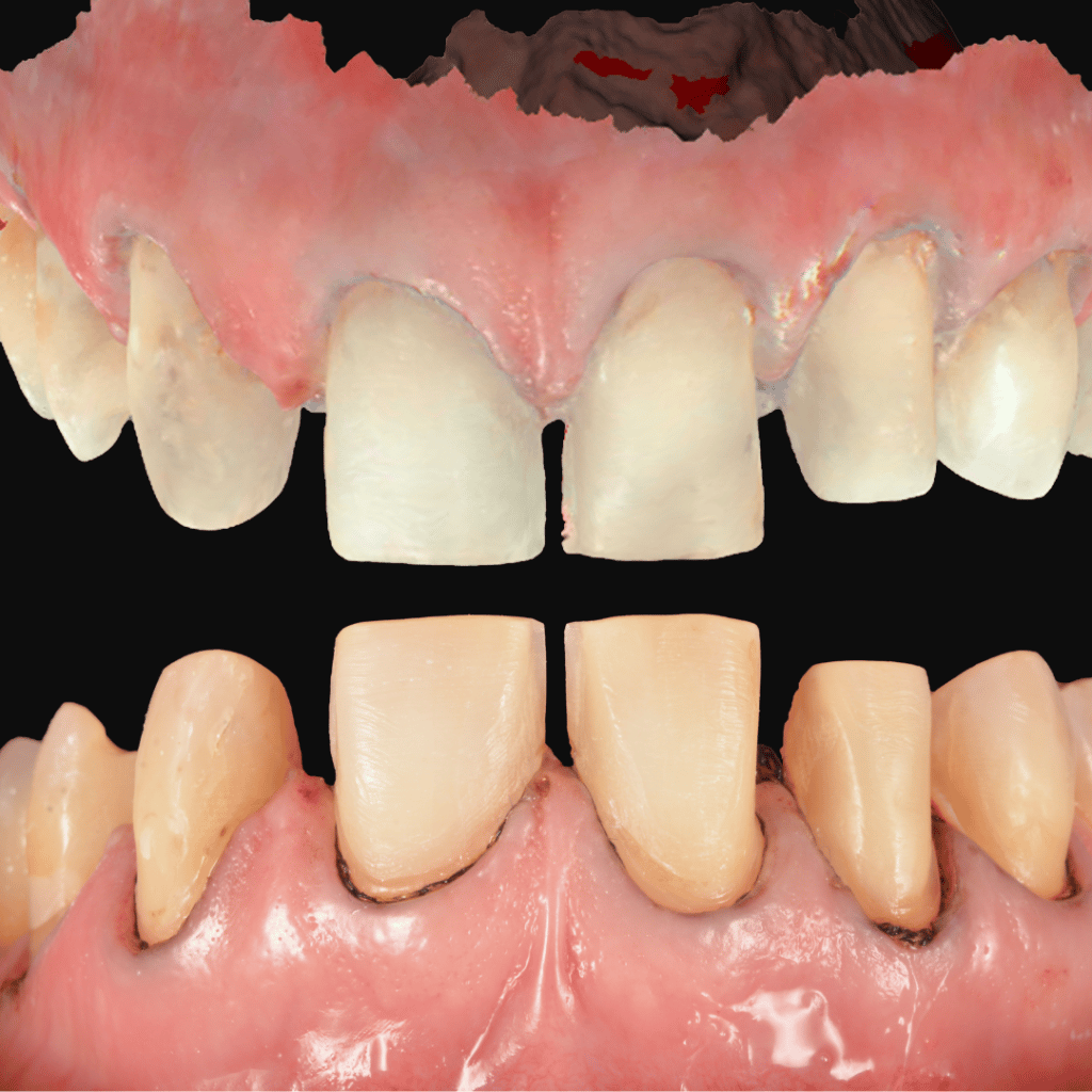
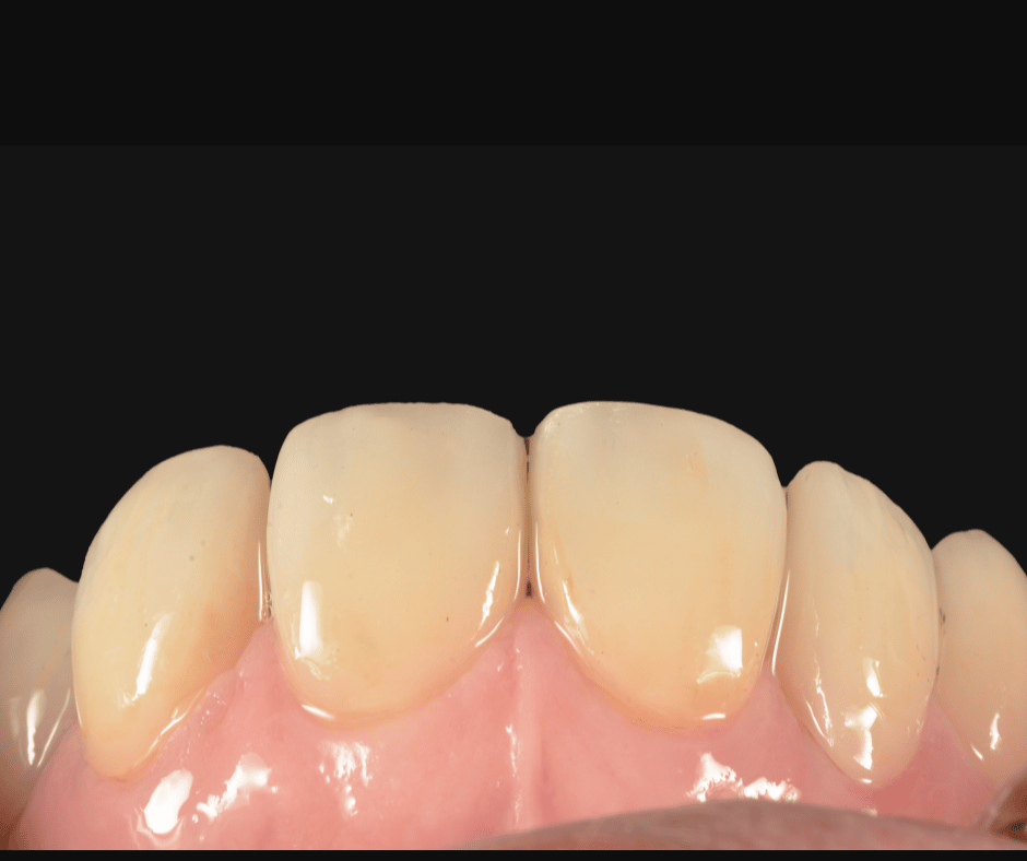
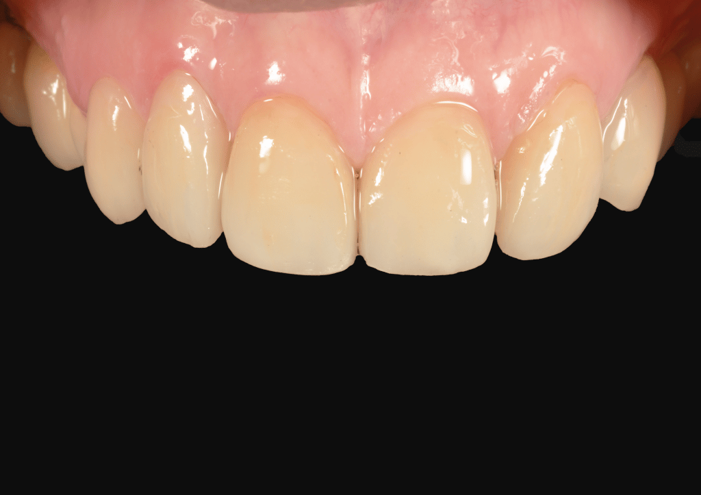
The final restorations, at control, show a great integration with both soft tissues and teeth.
smile analysis
smile
DSD
close up
mockup guided prep
mockup guided prep
silicone prep checker
final preps
digital impression
mirror of impression and picture
spot etch
starting absolute isolation
Adhesive cementation phase
Adhesive cementation phase
Adhesive cementation phase
Adhesive cementation phase
Adhesive cementation phase
Adhesive cementation phase
Adhesive cementation phase
Final result
before and after
close up at soft tissue integration
Share on: