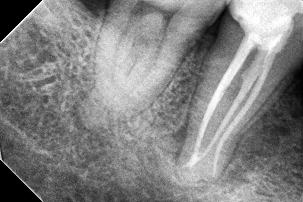
RCT for tooth no.47 with J shape lesion!
The canals was C shape in configuration
treatment steps was
cleaning and shaping with edge endo files
Irrigation
Naocl 5.25%
Edta 17%
normal saline
chx 2% as final irrigant
activation with ultra x
Cones fit
Diagnostic x-ray
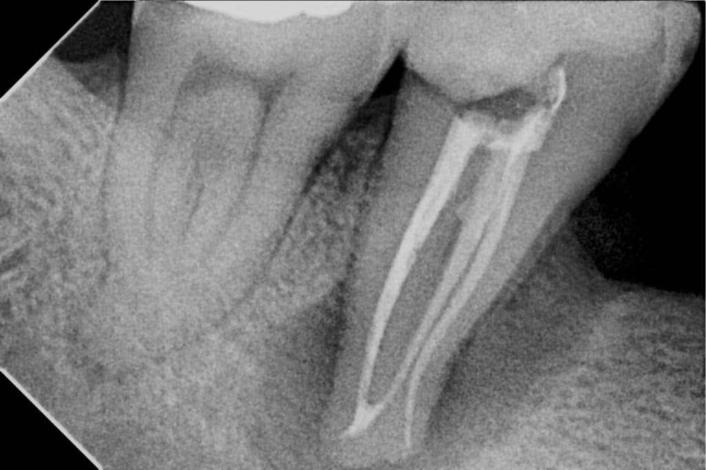
Obturation
Follow up after 7 months
Follow up after 12 months
Share on: