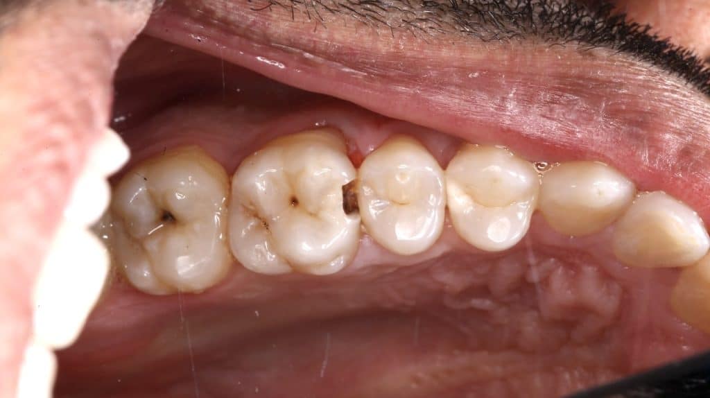
When a tooth was have caries and cavity in proximal you must know the adjacent tooth is have caries also, for that you mustn’t depend on what patient said.
in this case I removed caries from lower 6 and i found lower 5 is have caries also , it’s good to patient and to our that we treated them in same vist.
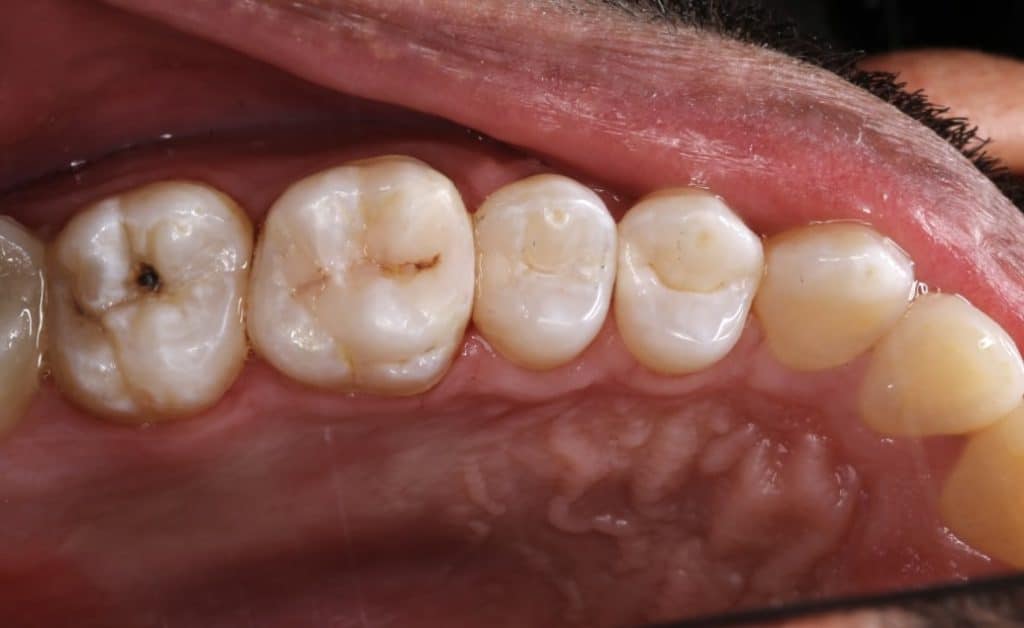
in 3rd pic i drew lines on tooth proximally we must remove it because It is considered unsupported enamel and to obtain good seal between marginal and band.
in 4th pic i applied rubber dam it’s important part in treatment.
and i completed may filling with sample anatomy and i used brown tint to fill the grooves and to give tooth mor natural appearance.
You can check your filling especially in class II by x-ray and by dental floss ,I checked it by dental floss it intered and outed with out and tearing in floss.
Share on: