Before and after
Referral case :
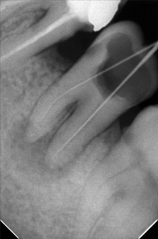
The previous dear doctor can’t located the mb canal , send me this picture
Pre operative X ray
After isolation :
Under magnification I can see different colors of white dentin over the entry of canal
Here , you need
- Sharp explorer probe
- Ulra sonic endo tip ( diamond coated)
- good illumination
After some minutes, I found it
Deep split mb & ml canal
Keep it simple, keep it clean 🧼
Irrigation protocol
Naocl 5.25% from the start till u finish the shaping and in between files and etc..
After you finish shaping all the canal
Naocl aftr heating ➡️ Activate 30 sec each canal
Saline activate
Edita aftr heating ➡️ activate
Saline activate
Chx activate
Saline
Dry
Edita solution 17%
Chx 2%
Master cone
30/4 mb , ml
25/6 of D one
Cold hydraulic obturation by bio ceramic sealer
With lateral canal in destal root
Share on: