1.This patient presented with defective old amalgam proximal restoration with food impaction and difficulty in flossing , so the decision was to replace it with more healthy , functional and esthetic one.
2.Before isolation, pre-wedging step for separation between teeth and protection the papilla and just breaking the contact to insert sheet dam without tearing.
3.after rubber dam isolation and wedge placement, a good vision obtained to prepare a slot cavity in tooth number 31 and amalgam removal from tooth number 30.
4.After sandblasting with aluminum oxide 50 microns and final cavity design obtained.
5.started with slot cavity in 31 by using transparent matrix sealed by wedge to allow the light from light cure to pass through it to cured the resin ,then after IDS a composite injected into the cavity and before curing I push the band against the tooth by (Applica) baccully and lingually to contured the wall and to reduce the access then cured.
6.After restoring the proximal wall of 31, a saddle band (50 microns) with highly curved from tor vm was inserted to restore the distal wall of 30 sealed by wedge and an active ring from dentsply to increase the separation between teeth.
7.A fibre-reinforced composite( ever x posterior) from Gc was used as dentin replacement.
8.Restoring occlusal anatomy and tint added as fissure sealent then sandblasting by sodium bicarbonate to remove oxygen inhibition layer to prepare it for polishing steps.
9.A rubber twisted bur from Eve was used for polishing and goat hair for final glossing.
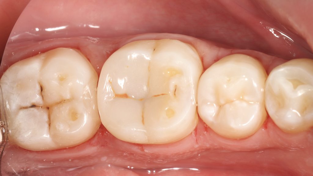
10.final situation after rubber dam removal and occlusal checking.
Share on: