Introduction
Periodontal disease, calculus deposits, and extrinsic tooth discoloration are common clinical findings that often compromise both oral health and esthetics. They are frequently associated with gingival inflammation and halitosis. This report presents a case of a patient with stage III periodontitis, heavy calculus deposits, bad breath, and generalized yellowish discoloration. A comprehensive treatment protocol including scaling, air polishing, and laser-assisted bleaching was performed to restore both function and esthetics.
Case Presentation
A female patient presented to the clinic with the following complaints:
- Persistent halitosis.
- Gingival bleeding and swelling.
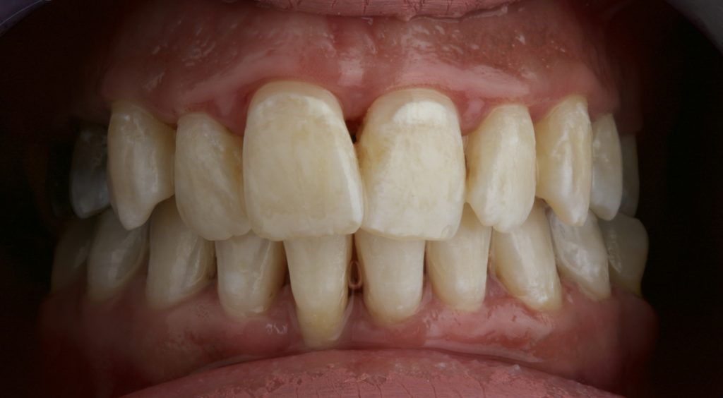
- Yellowish teeth with extrinsic stains.
Clinical findings included:
- Heavy calculus deposits on anterior and posterior teeth.
- Stage III periodontitis with gingival inflammation.
- Generalized extrinsic tooth staining.
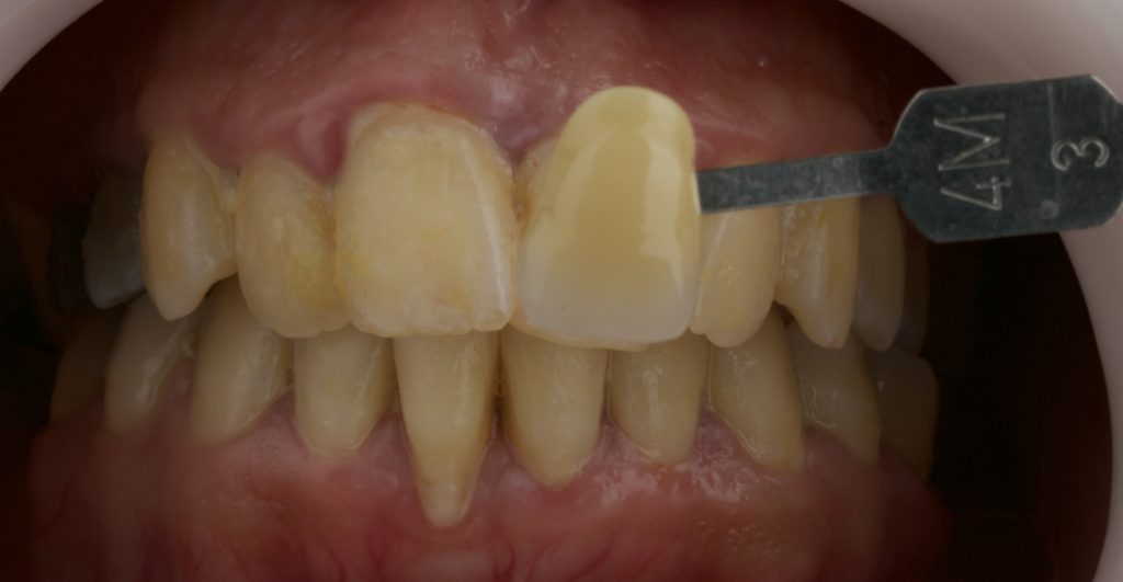
- Initial tooth shade: 4M3 (VITA shade guide).
Treatment Protocol
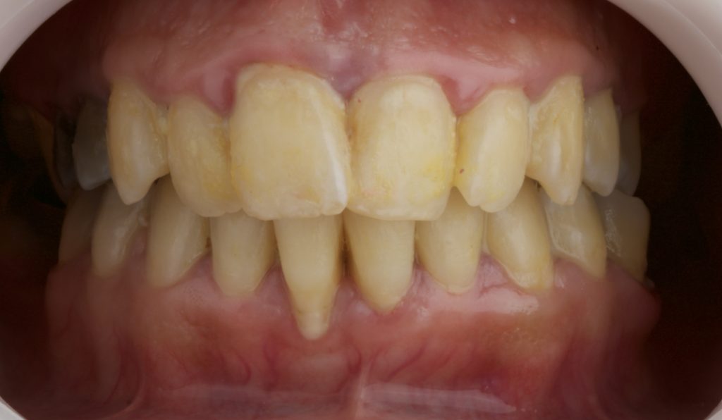
- Scaling and Root Planing (SRP):
Complete removal of calculus and biofilm using ultrasonic and hand instruments.
- Air Polishing:
Stain removal using the Airflow Prophylaxis Master (EMS) with erythritol-based powder (EMS PLUS) for a minimally invasive approach.
- In-office Tooth Whitening:
- Application of FGM Blue Kit bleaching system.
- Activation with laser for 40 minutes.
- Shade change achieved from 4M3 to 2R1.5.
Results
- Significant improvement in gingival health after calculus removal.
- Resolution of halitosis.
- Noticeable esthetic enhancement with a shade improvement of more than two steps on the VITA scale.
- High patient satisfaction with the final outcome.
Discussion
This case emphasizes the importance of a multidisciplinary treatment approach:
- Initial periodontal therapy is mandatory for long-term stability.
- Air polishing with erythritol powder ensures safe stain removal and biofilm disruption.
- Laser-assisted bleaching with FGM Blue Kit provides predictable, enhanced whitening results within a short clinical session.
The shade transition from 4M3 to 2R1.5 highlights the efficacy of the combined protocol used.
Conclusion
The integration of scaling, air polishing, and laser-assisted bleaching using FGM Blue Kit successfully improved both oral health and smile esthetics in this patient with stage III periodontitis and extrinsic discoloration
Share on: