Structurally compromised teeth are teeth that underwent substantial loss of tooth structure due to previous caries, pre-existing restorations, and endodontic procedures. The more structurally compromised is the tooth, the lower is the proportion of the residual dentin-enamel complex region in the tooth and the higher is the potential of a catastrophic failure of the residual tooth structure. Successful restoration of such teeth requires an effective coronal seal, protection and support of the remaining tooth in order to restore their function and acceptable aesthetics.
According to the literatures, the key to success when restoring structurally compromised teeth is the presence or absence of ferrule structure.
In dentistry, ferrule is a term that is referred to a circular band of sound tooth structures left after crown preparation to support and stabilize the overlying dental crown. The tooth ferrule is formed by the core material and healthy tooth structures – mostly consisting of dentine.
When a crown made for an abutment, that does not contain enough ferrule tooth structure to provide a substantial ferrule effect, it will undergo various forms of biomechanical failure.
The case presented below is an emergency case for a 52-years-old female patient with a problem of dialoged crowns that were made 1 year ago for her maxillary central incisors by a previous dentist.
After clinical and radiographic examination, fortunately there were sufficient sound tooth structure above the gingival margins, meaning there will be an enough ferrule structure to support the new crowns.
The first step I made in the management of this case is to copy her previous failed crowns to fabricate a temporary crowns as a temporary solution for her aesthetic problem. This was made by re-inserting and simple fixation of the failed crowns to make a silicone index from them.
After that, re-endodontic treatment was made for both centrals and temporary filling materials were placed (i.e., as a temporary coronal seal).
At the next day, I started the procedure of supporting the structurally compromised teeth and core build-up using the ribbond (i.e., Polyethylene fiber–reinforced composite resin) as an endodontic post and core support materials. This is mainly because Ribbond is biocompatible, esthetic, translucent, practically colorless and disappears within the composite or acrylic without show-through. Also, it can conform to the natural contours and undercuts of the canal and providing additional mechanical retention, stress reducing materials. In addition and most importantly it can mitigate the composite polymerization stresses and it is characterized by an impact strength five times higher than that of iron which can stabilize and maximize the fracture resistance of the structurally compromised teeth. After core build-up, I finished this session by temporary crowns fabrication.
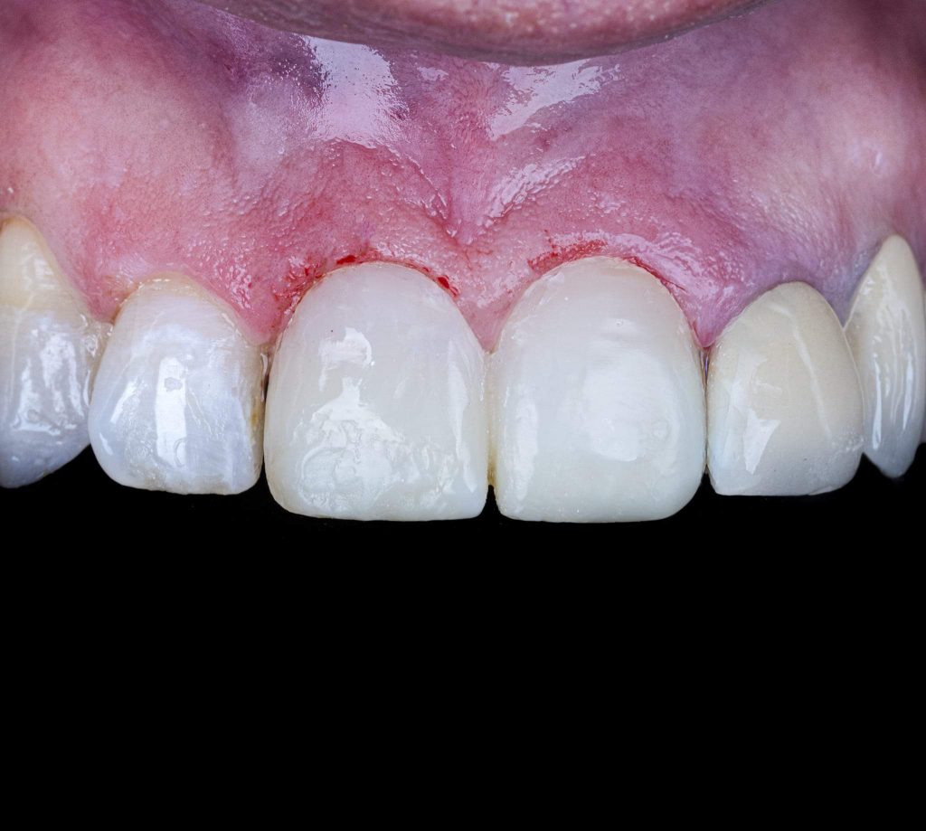
A third visit was scheduled for teeth preparation, final impression making, and temporization. Finally, at the fourth visit, E.max crowns were inserted followed by occlusion checking.
The step-by-step procedure is presented in the images below.
Share on: