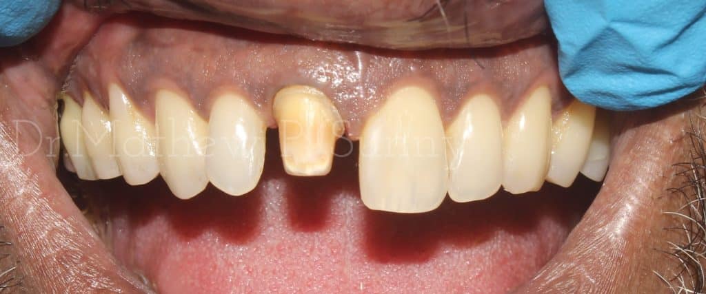
The patient presented with a discoloured central incisor due to complete obliteration of the pulp space. Matching a single central can be extremely challenging as getting the shade as well as the shape right is difficult..
The following case shows the process taken and the final acceptable result.
Initial Presentation showing the discoloured central..
Adequate prep was done with enough buccal reduction to help aid in masking the discolouration.. for which Zirconia core of adequate thickness is required.
2M2 shade was selected..
Value being the most important parameter was assessed by converting the image into Grey Scale..
2M3 shade was also check but showed increased Chroma and was hence rejected..
A lab fabricated temporary heat cured acrylic crown was placed..
Cast with die prep..
Exocad design is used to fabricate the Zirconia Core..
margins are clearly identified..
Occlusal view shows deep chamfer prep on the buccal.. and shallow chamfer prep on the palatal.. Retraction cord is in place just prior to cementation..
Intra oral view of the final Bonded Porcelain Fused to Zirconia Crown..
Final Smile shows a happy patient..
Share on: