Author: Dr. Lubna Qanber
Patient: Female, 32 years old
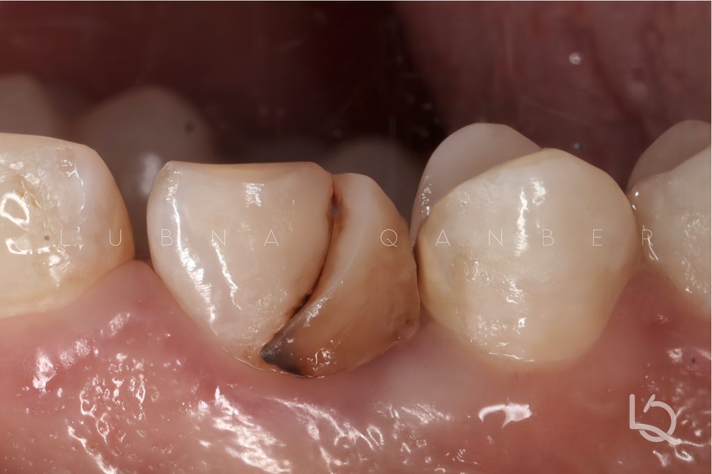
Chief complaint: Shape and discoloration of a composite restoration on upper left canine (tooth #23)
Initial Situation
A 32-year-old female patient presented to my clinic with the chief complaint of discoloration and poor shape of a composite restoration placed one year prior on the upper left canine.
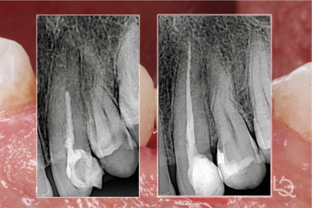
Radiographic examination revealed that the canine had previously undergone root canal treatment (RCT), but the gutta-percha was underfilled by approximately 10 mm.
In addition, proximal caries were identified on both the mesial and distal surfaces of the adjacent premolars (#24, #25).
After thorough discussion of the findings and treatment options, and the need for the canine to have a crown, the patient opted to proceed with endodontic retreatment and direct restoration of the canine only, postponing treatment of the premolars due to financial considerations.
Treatment
All treatment was performed in a single visit.
The procedure began with removal of the old composite and isolation of the operative field. Following endodontic retreatment of the canine.
Upon evaluating the interproximal space which was relatively wide, I observed that restoring the distal cavity of the canine alone would not help in creating a properly contoured contact point. Therefore, I decided to simultaneously restore the mesial side of the first premolar (#24), to better control the emergence profile and establish an ideal proximal contact with the canine.
As a gesture to support the patient’s situation, the mesial restoration of the premolar was included within the treatment fee for the canine. The patient was informed of the presence of distal caries on the premolar, and she has planned to address this in an upcoming visit within the next few months.
For this procedure, Bioclear matrices were used, as they provide excellent emergence profile reproduction and enable broad contact areas both buccolingually and occluso-apically.
The canine was restored first, taking advantage of the self-sealing capacity of the Bioclear matrix.
A deep margin elevation was performed on the premolar with delayed wedging to prevent matrix collapse. An Elliot separator was used to achieve proper tooth separation. Then, composite buttons were placed externally to further stabilize the matrix during injection of heated composite paste.
Outcome
Final finishing and polishing were performed to achieve optimal anatomy and surface texture.
The final radiograph demonstrates a seamless, “infinite” margin on the mesial surface of the premolar and a well-integrated restoration of the canine, with harmonious contours and tight proximal contact.
Reflection
This case highlights the importance of strategic matrix selection and thoughtful management of proximal contacts, especially in situations where adjacent teeth are carious or compromised and full treatment must be staged over time.
Bioclear matrices, in combination with careful sequencing and stabilization techniques, proved invaluable in achieving biologically sound results.
Share on: