Home
Our vision
Contact MYZ
CONTEST
TOP-NOTCH
Login / Register
TOP-NOTCH
CONTEST
Home
Our vision
Contact MYZ
CONTEST
TOP-NOTCH
Login / Register
FILTER
Subscribe & Follow:
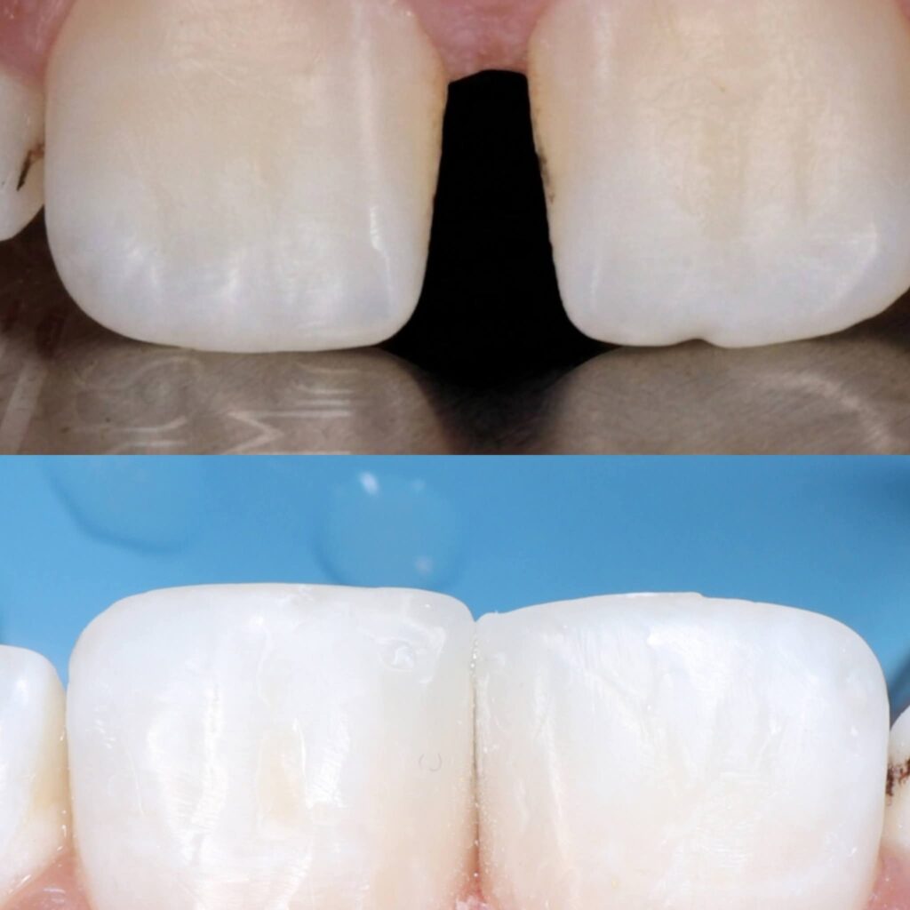
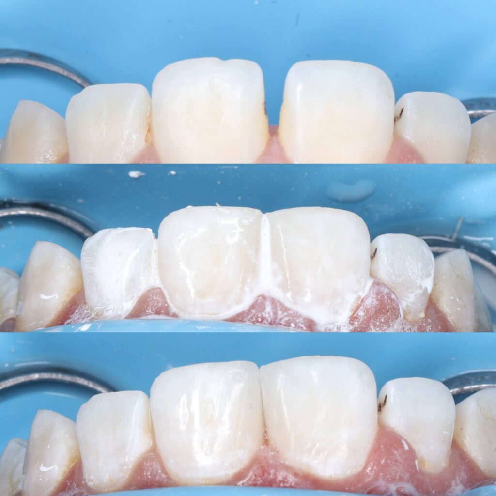
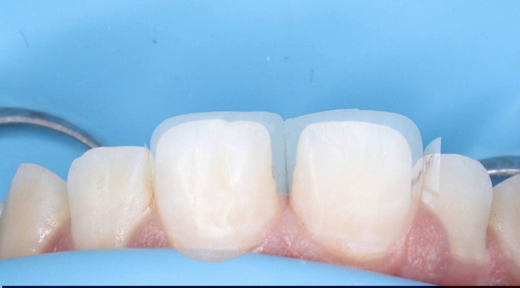
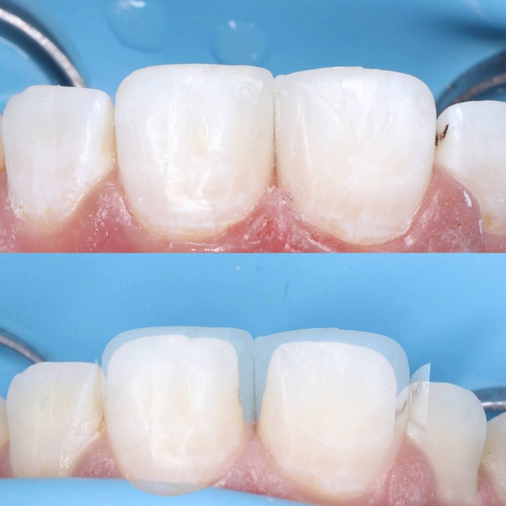
My Zerodonto is your Zerodonto.
Register now and publish your clinical case reports and work in progress.
Join us and post now