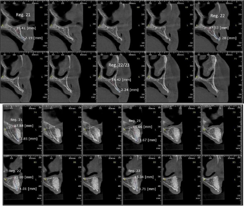
Olá colegas, aqui está um caso didático de reconstrução óssea total da maxila, levantamento do seio maxilar bilateral e bloqueio espesso com aplicação do conceito de PRF e Biotensigrity.
SEM tela, SEM parafusos, SEM membranas de colágeno. Substitua apenas osso aloplástico e sangue.
Após 6 meses de maturação óssea e implantes instalados com torque médio de 35 N / cm2.
Share on: