Midline diastema’s are present is a significant number of patients and with growing desires to have an ideal smile, they are routinely requested to be corrected.
In doing so, it is important to maintain the symmetry of the centrals and ensure good line angles to get the ideal esthetic result.
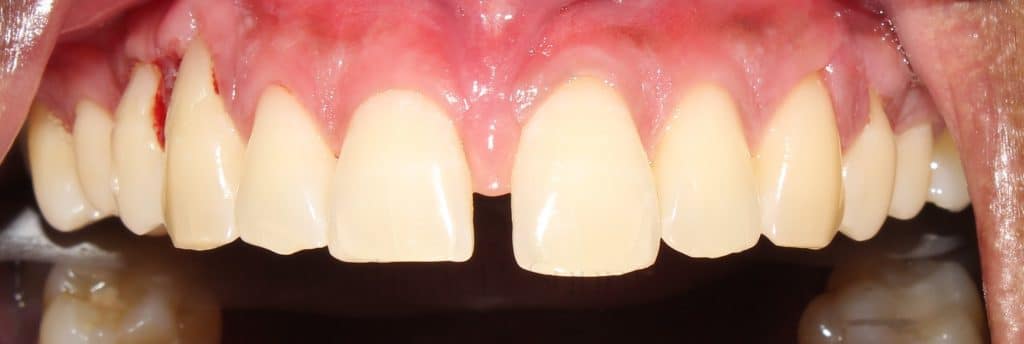
Presentation of Upper Diastema.
Intra Oral View
After isolation , the 1st central is build up free hand.. the measurement is determined by dividing the width between the distal aspects of both centrals by Two.
1st central completed.
For the 2nd, the cervical lip is build up first and cured.. then a wedge is placed to ensure seperation of the teeth when the matrix is used.
Initial build up's completed.
Intra oral view..
Close up smile.
Happy Patient..
Share on: