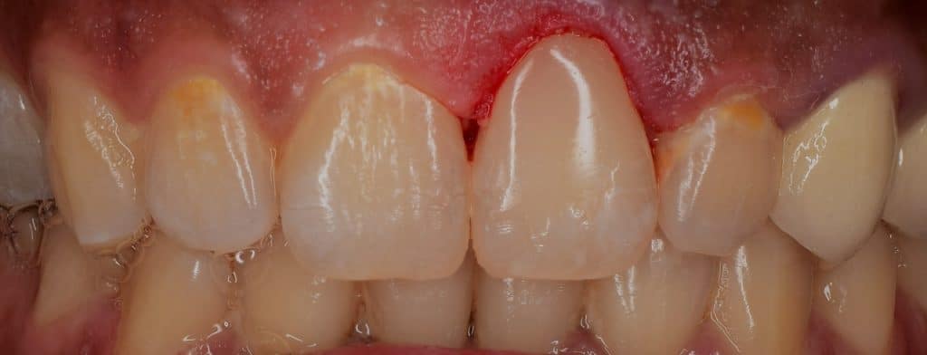
A class five central tooth with a deep caries lesion below the gingiva
Case was done with no rubber dam it was enough for me to isolate with teflon
a photo was taken after finishing and polishing at first visit and I thought that am done but after taking photo i found line of demarcation and the composite was highly polished compared to natural surface so the patient was scheduled for another appointment
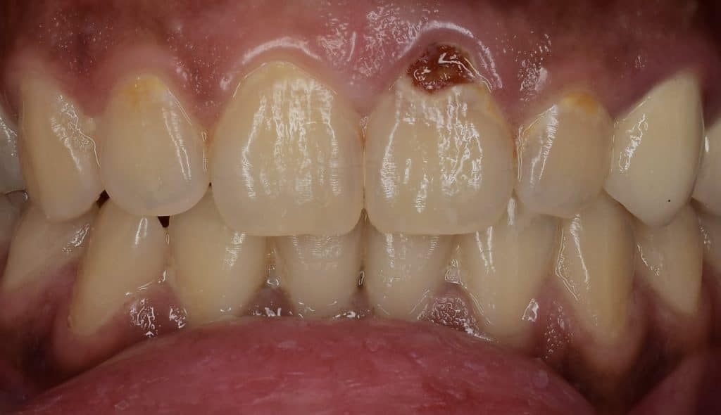
the 2nd visit i just removed the line of demarcation by perio bur and only finish by eve discs
Share on: