Clinicians sometimes encounter uncommon conditions that require out of the box solutions to reach the best results, the introduction of composite restorations has given the practitioners the flexibility of recreating the teeth’s morphology, contour and colour in a conservative way that does not need aggressive preparations for mechanical retention. [1]
The proximal contact posteriorly is located in the middle third of the crown, on top of the checklist of a functional Class II restoration is tight anatomical contacts that prevent food impaction and teeth migration and preserve a healthy interdental papilla. [2]
The introduction of the sectional matrix has solved many difficulties faced during the use of circumferential bands that causes displacement of the tooth as it has to pass through the contact point on the other side, while sectional matrix is passively placed to provide firm placement of the band and control of the contact area by the wedge and the separating ring support. [3]
Many studies have proven the effectiveness of the Bulk fill resin composite restorations which can be used in 4-5 mm layer in comparison the traditional composite, the results showed similar or better clinical performance. One of the modifications of the bulk fill composites is the addition of the Giomer using the surface pre-reacted glass ionomer particles that gives the advantage of fluoride release similar to the GIC restoration [4]
[1] Class II composite resin restorations: faster, easier, predictable. R. D. Jackson
[2] Sectional matrix: Step-by-step directions for their clinical use
[3] Sectional matrix solutions: the distorted truth. Oliver Bailey
[4] Microleakage of “Bulk-Fill” Composite Resin for Class II Restorations Pretreated With CO2 Laser in Deciduous Molars: An In Vitro Study
copy rights reserved to Sayf A. Saeed
Initial situation
Metal ring of sectional matrix seated with Liquidam
Caries excavation and cavity design
Buccal view of the cavities
Saddle and sectional bands supported by the modified ring
Margin build-up
finished layering of composite
After polishing and high spot adjustment
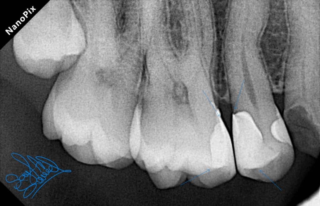
Post operative radiograph
Comparison of the contour before and after the procedure
Share on: