A young female patient was referred with a badly designed fixed dental prosthesis with swelling related to the upper right central and pus exudate through the cervical margin of the prosthesis.
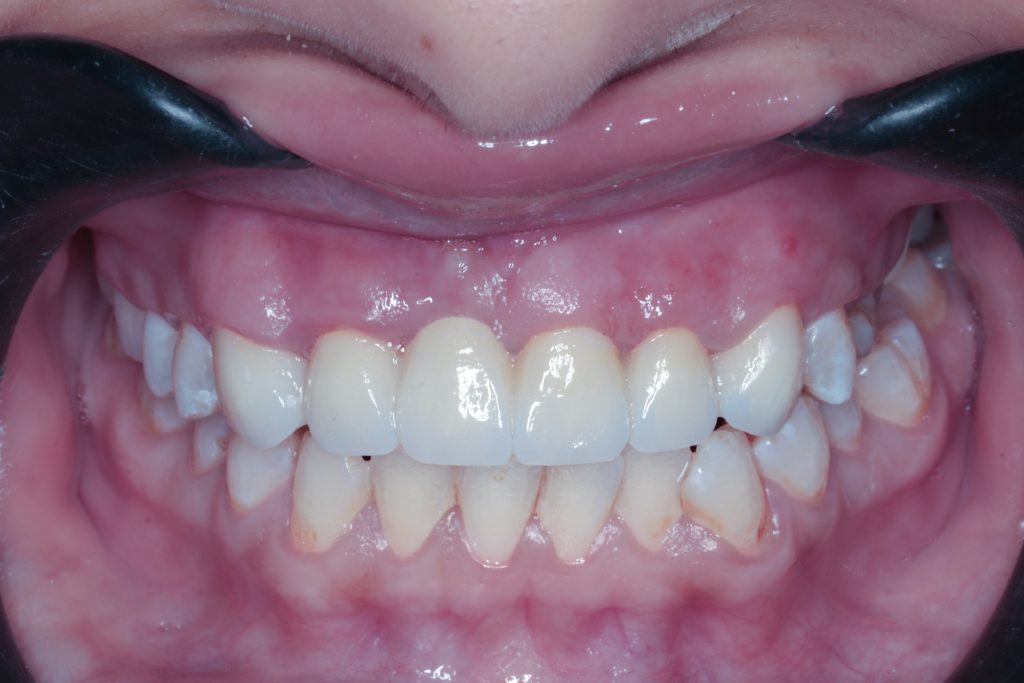
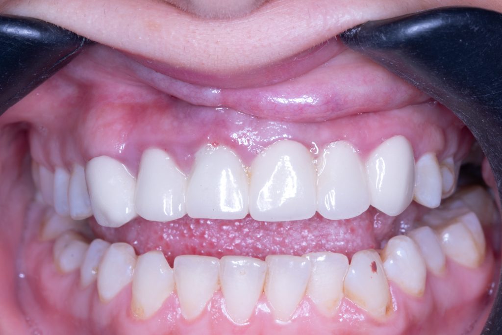
The esthetic problem had caused difficulties in the patient’s social life, adding to the bad taste, and for this reason, it was decided to carry out an esthetic prosthetic restoration.
Initially, the FDP was removed by cutting through the crown with a tungsten carbide diamond bur. The aim was to obtain teeth integrity.
The teeth were diagnosed regarding root canal status, storability, crown height, and periodontal apparatus.
According to the diagnosis, the upper right central was unrestorable and needed extraction, the other teeth (anterior teeth) need re-RCT and build-up to gain more clinical crown height.
Root canal treatment was done using Wellroot bioceramic sealer.
Then fiber-post in these teeth using Sanaden fiberpost and Bisco dual cure self-adhesive cement.
The preparation was done using tapered round-end diamond burs then a retraction cord in place and scanning (as a digital impression) using Scanner Medit 700.
The dental laboratory performed a Fixed dental prosthesis of layered Zircon.
Finally, cementation using dual cure resin cement (Bisco) and follow-up appointments were scheduled
Share on: