Open apex management
Open apex is critical cases that need patience to get the desired outcome
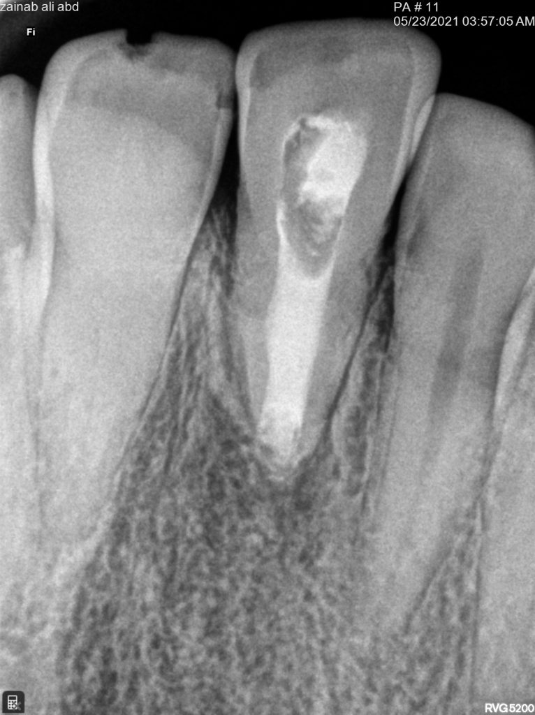
This patient referred to me with sever pain and sinus tract
in the first visit access opening and thorough irrigation with sodium hypochloride till all the pus removed and application of non setting calcium hydroxide for one month
in the second visit the calcium removed and irrigation protocol applied as below
1-sodium hypochloride 5%
2-normal saline
3-EDTA
4-chlorhexidine
5-normal saline
after dryness I applied collagen sponge to control the obturation material from escaping into the apical area
finally filled the canal with bio ceramic putty
in the next visit internal bleaching applied for one week
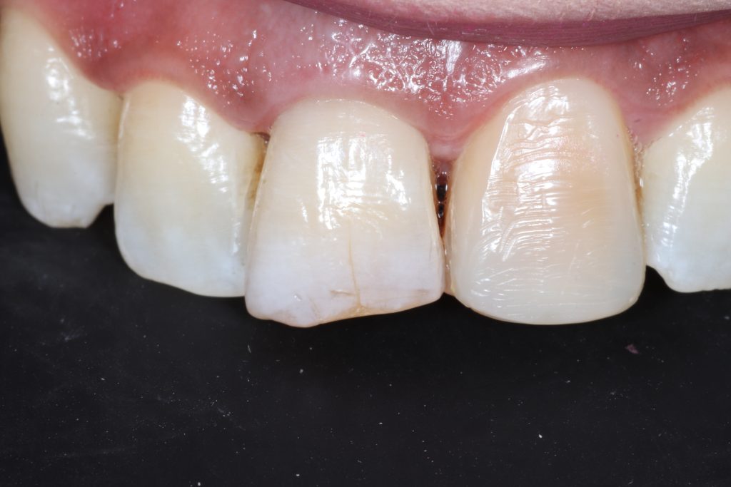
final composite filling.
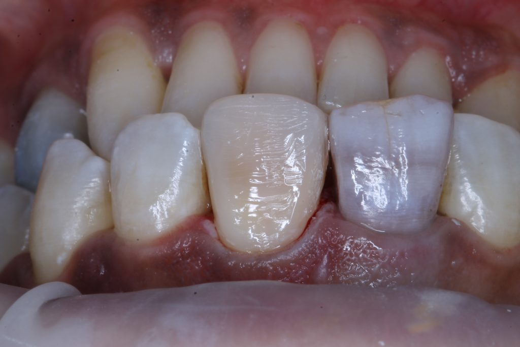
Discoloration of the affected tooth
Collagen sponge and obturation
Two years follow up
After one week of internal bleaching
Share on: