After Endodtontic treatment the tooth will be weak and brittle and bron to fracture more than the vital tooth with large loss in its stracture
So when there is massive tooth stracture loss after Endodontic treatment we try to save it with indirect restoration (in this case was Overlay) for better longevity and long term treatment
As we go in the past Article with direct treatment when there is loss of tooth stracture but the tooth still vital and we can save it by direct restaration by using materail like Ribond or Ever X posterior
So , below I will explain some details of indirect treatment
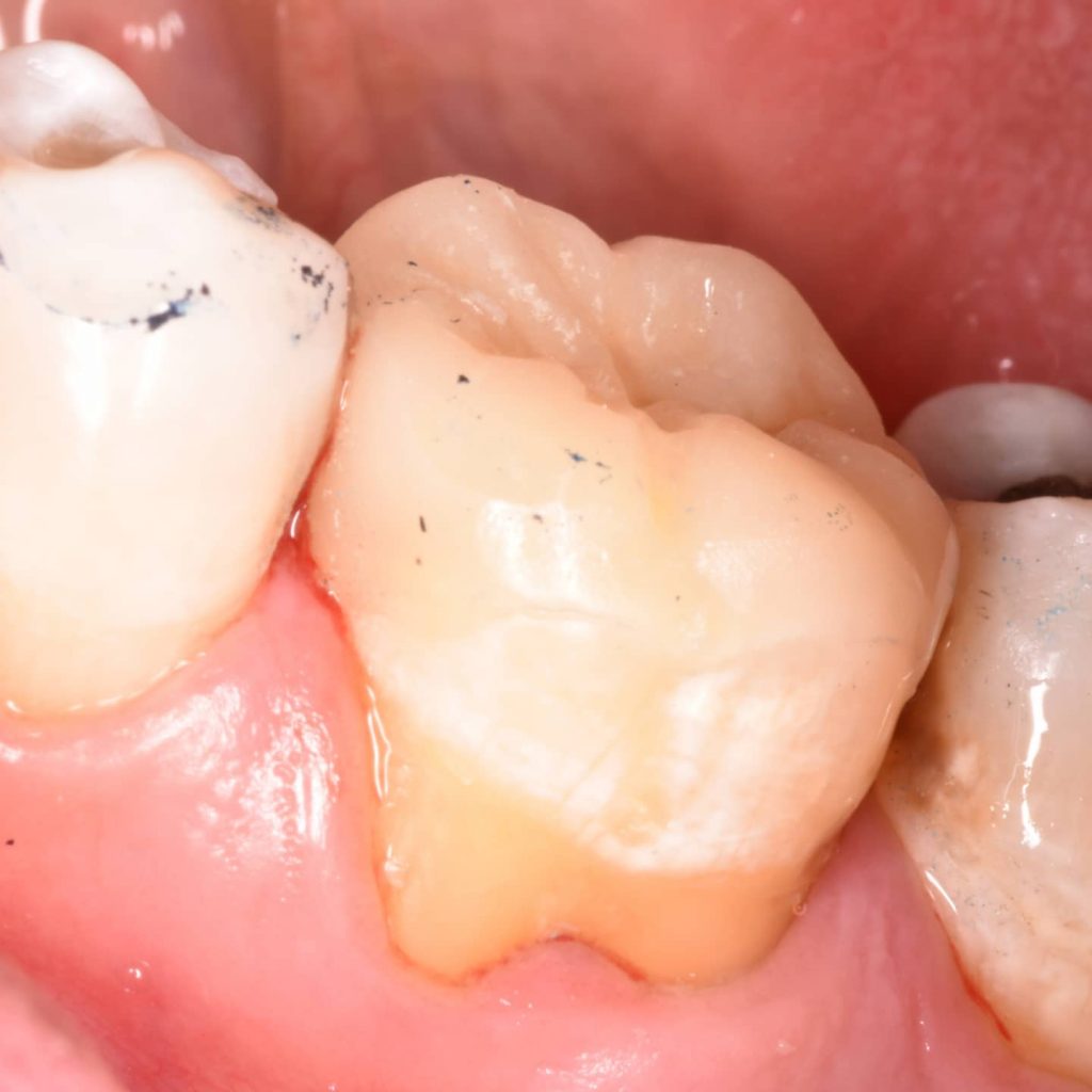
After 6 month of endo treatment the pateint come to complete the final filling as you see the amalgam mesaily should removed
Amalgam removal
Ever x posterior for more support to the filling and for dentin replacement
Tooth preparation
Finshing and polishing
Overlay
After checking the fitness
Overlay prepared by :
1_HF acid 9.6% for 20 second and rinse
2_Phosphoric acid 37% for 1 minut and rinse
3_Silan for 1 minute and dry only
Tooth prepared to cementation by :
1_Isolation
2_sandblasting
3_phosphoric acid 37% and rinse
4_ bond application without curing
Put the cement materail and go for cementation
Immedait after cementation
Share on: