A young female patient come to the clinic asking to restore her lower first molar that have a previous bad composite filling, the treatment was to remove the old composite and all caries removed and the deep margin elevated with composite,IDS, RC ,DWT and the final restoration was indirect lithium disilicate overlay which rely completely on adhesion
Immediate Dentin Sealing (I.D.S) is a concept by Pascal Magne that describe the infiltration of newly cut Dentin with Dentin adhesive that to create the hybrid layer that mimic the dentino-enamel complex protecting it from bacterial leakage
Resin coating (RC) placing a thin layer (0.5)mm of microfilled flowable composite to protect the underlying hybrid layer and also let the adhesive resin to complete the polymerization reaction ((Jayasooriya et al .,2003))
IDS+RC will enhance the dentin bonding strength, the two protocol will increase the strength of dentin bond about 400% ((Magne et al .,2005 , Jayasooriya et al .,2003)
DWT (Decoupling with time) is anew concept by David Alleman that mean after curing the dentin bond we should wait for some minutes (decouple) to allow dentin bond get mature ((Alleman, 2021))
This importance of this time out time is very critical, it gives the resin monomer to convert into oligomers then finally small polymer , the rate of this conversion will completing 80-90% of monomer conversion ((Davidson et al ., 1984));((Feilzer et al .,1987))
So , IDS was done with gold standard clearfil SE bond , RC with flowable composite, the biobase completed, finished and polished to receive the lithium disilicate overlay
References
1- ALLEMAN . Decoupling with time.
2- Immediate Dentin Sealing: A Fundamental Procedure for Indirect Bonded Restorations
(PASCAL MAGNE) . 2005
3- Nonretentive Bonded Ceramic Partial Crowns:Concept and Simplified Protocol for Long-lasting Dental Restorations , Politano et al . 2018
4- Efficacy of a resin coating on bond strengths of resin cement to dentin
(Jayasooriya et al). 2003
5- Van Meerbeek et al., 2003
Initial situation showing large defective composite filling
During Old composite removal you can see the liner this type of liner have weak adhesion to dentin and so post operative sensitivity will occur, the best liner under composite is the bond itself
You can see the liner below the old composite ,irregular margins, mesial wall of the second molar need to be restored
Here you can see that the remaining walls are weak and must reduced and replaced by strong indirect lithium disilicate overlay
The mesial box of the second molar prepared
The mesial box of the first molar opened and here you can see the remaining walls are indeed very weak
Irregular enamel removed, the weak walls reduced, the cavity now clean
Sandblast to the cavity, the cavity now clean and ready for the biobase
Band placement for DME you can see that the sealing is not good
(Small things matter)By adding only a Teflon tape I got a good sealing
The biobase now completed , just need finishing and polishing, the mesial box of the second molar restored with direct composite
Biobase ready
Impression taking
In cementation day , Isolation done
Check the overlay
Nice fitting
For biobase : 1-sandblast . 2-acid etching . 3- bond without curing.
Cementation with heated composite
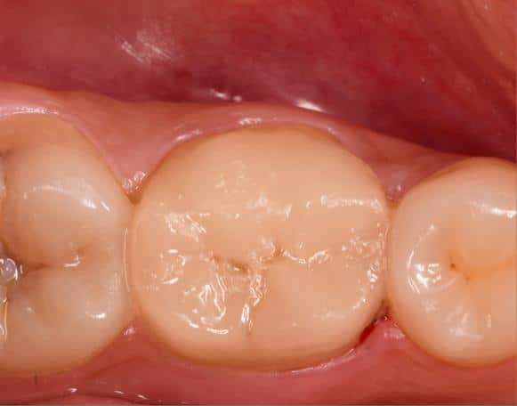
Immediate result
Contact
Immediate result
Occlusal view
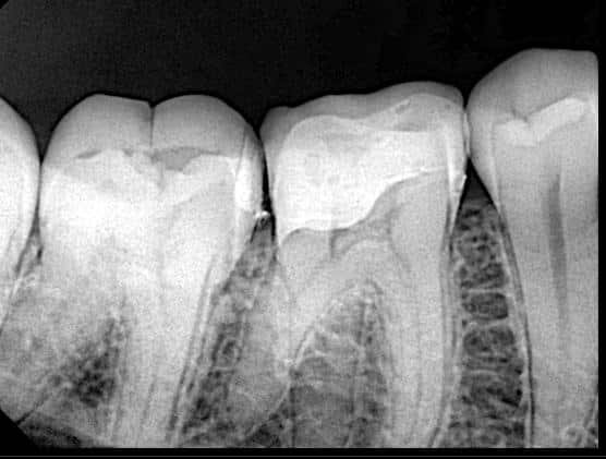
Pre-operative x ray
After D.M.E
Post operative x ray , you can see the fitness
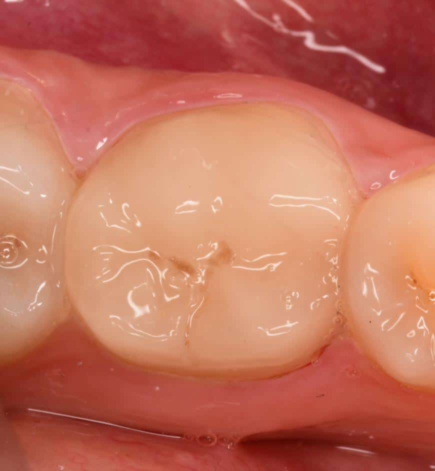
7 months follow-up
7 months follow-up
7 months follow-up
7 months follow-up
7 months follow-up
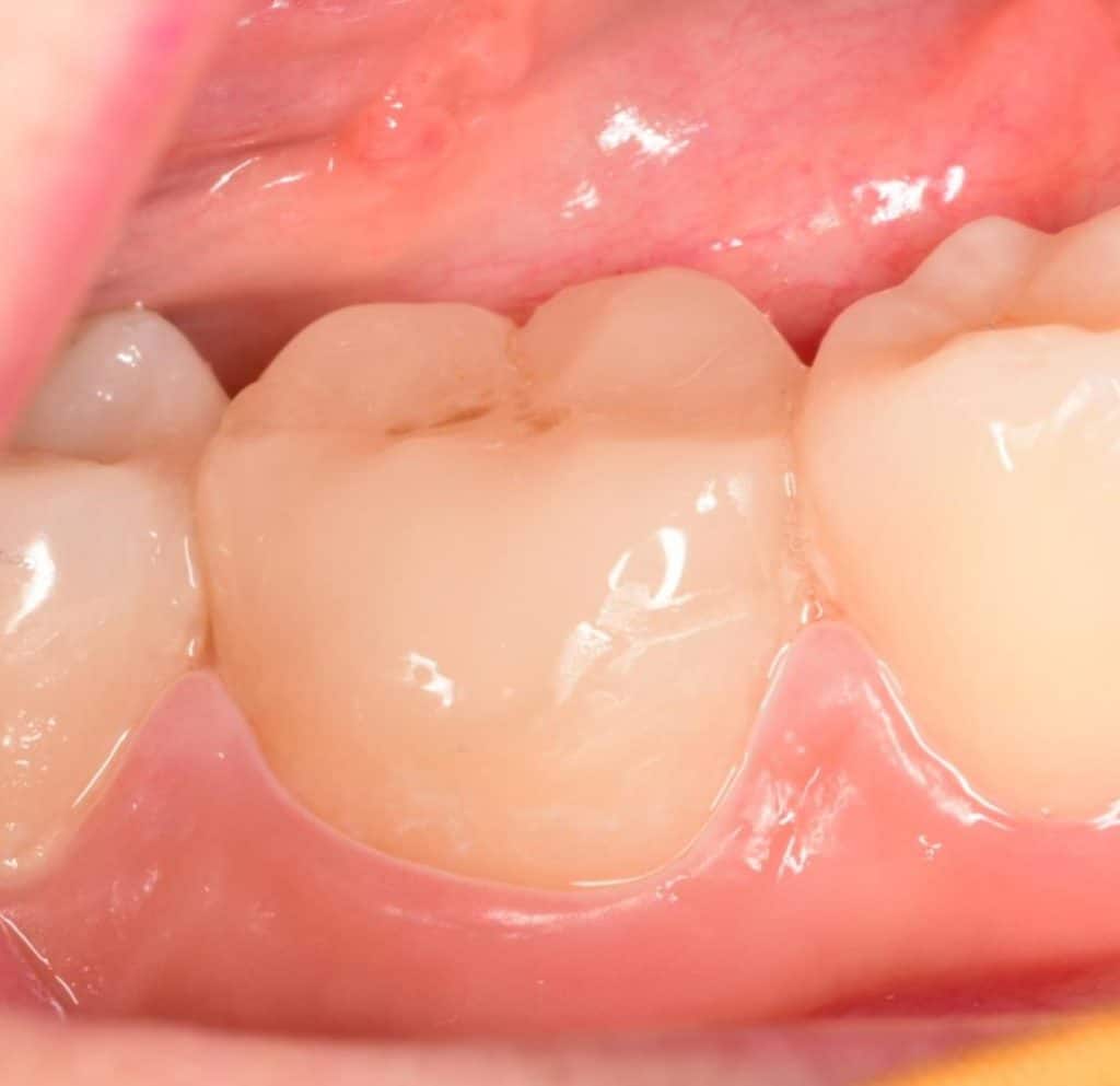
2 years follow-up
2 years follow-up
Share on: