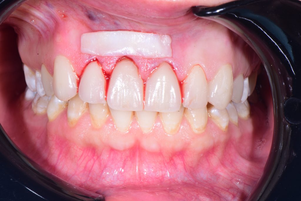
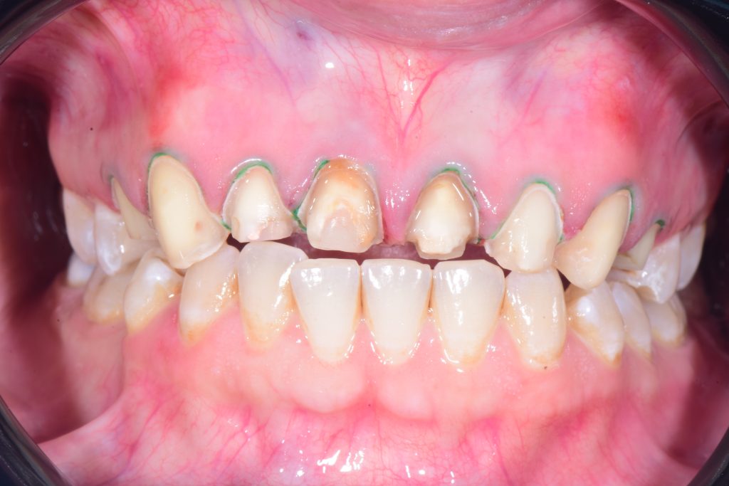
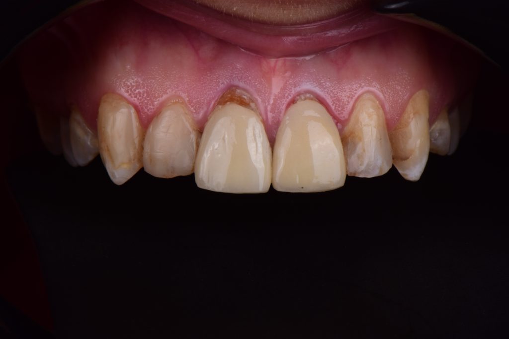
the patient presented with multiple defective restorations and two old crowns with gingival recession.
the patient requested a smile makeover in one month only.
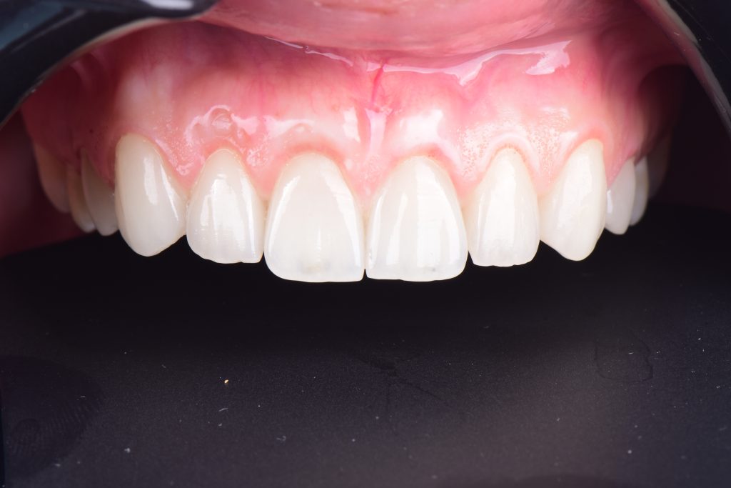
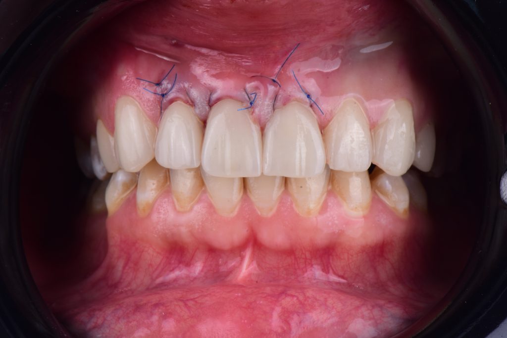
After DSD, new crowns and veneers were fabricated, gingival grafting was done for time-saving, and follow-ups was made after 6 months.
usually in such cases, the recession graft should be done first and then the prosthetic part should be started after complete maturation.
Risks have been explained to the patient, and the good prognosis was encouraging.
Aroca et al., 2010
Cairo F. et al., 2011
Champrone et al. 2015
note that recession left for later grafting
note that recession in 11
Modified coronally advanced Tunneling with CTG
Share on: