Quadrant Dentistry in the Upper Right: Endodontic Re-treatment of a Molar with MB2 Detection and Management of an Ill-Fitting Canine Crown
Abstract
Quadrant dentistry allows comprehensive diagnosis and treatment of multiple teeth under a single isolation field, improving precision, efficiency, and biological outcomes. This article presents a quadrant-based approach to the upper right arch involving endodontic re-treatment of a maxillary molar with successful identification and management of the MB2 canal, alongside assessment and management of an ill-fitting crown on the adjacent canine. Emphasis is placed on magnification, rubber dam isolation, conservative access, and biologically driven restorative planning.
Introduction
Endodontic failures in the maxillary posterior region are frequently associated with missed anatomy, particularly the second mesiobuccal (MB2) canal. When combined with compromised coronal restorations or ill-fitting crowns, the risk of reinfection and long-term failure increases significantly. A quadrant dentistry approach enables the clinician to address endodontic, restorative, and prosthetic issues cohesively rather than in isolation.
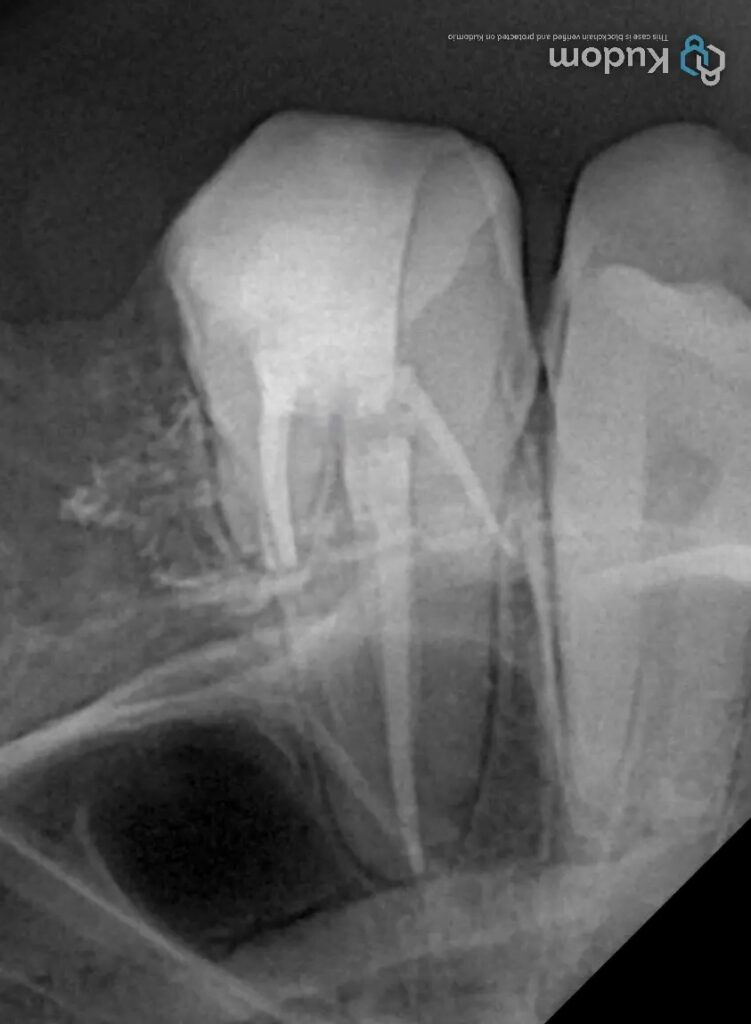
Case Overview and Diagnosis
The patient presented with symptoms and radiographic findings suggestive of persistent apical pathology associated with an upper right molar previously treated endodontically. Adjacent to this tooth, the maxillary canine exhibited an ill-fitting crown with marginal discrepancies and signs of periodontal inflammation.
Clinical and radiographic assessment revealed:
- Inadequate prior root canal obturation in the molar
- Suspicion of a missed MB2 canal
- Coronal leakage potential due to restorative compromise
- Poor marginal adaptation of the canine crown, contributing to localized gingival inflammation
A quadrant-based treatment plan was selected to ensure optimal isolation, visibility, and coordinated management.
Isolation and Access Strategy
Rubber dam isolation was applied to the entire upper right quadrant, providing a dry, controlled field for both endodontic and restorative procedures. This approach allowed uninterrupted workflow and reduced procedural contamination.
Conservative access refinement was performed on the molar under magnification. Removal of restorative materials and careful troughing along the mesial pulpal floor were carried out using ultrasonic tips, respecting dentin thickness and anatomical landmarks.
MB2 Canal Identification and Negotiation
The MB2 canal was located along the developmental groove between the MB1 and palatal canals. Key principles applied included:
- Use of high magnification and coaxial illumination
- Ultrasonic troughing with minimal pressure
- Visual confirmation of hemorrhagic points and anatomical cues
Once identified, the MB2 canal was negotiated with small, pre-curved stainless steel hand files, followed by establishment of a reproducible glide path. Working length was confirmed using electronic apex location and radiographic verification.
Cleaning, Shaping, and Disinfection
All canals were cleaned and shaped using a conservative rotary protocol, maintaining original canal anatomy. Irrigation protocols focused on chemical disinfection rather than aggressive mechanical enlargement.
The combination of:
- Sodium hypochlorite activation
- Chelation for smear layer removal
- Final irrigation protocols
ensured effective decontamination, particularly in the complex mesiobuccal system.
Obturation and Coronal Seal
Obturation was performed once dryness and apical control were confirmed. Special attention was given to the MB2 canal to ensure three-dimensional sealing. Immediate coronal sealing was carried out to prevent reinfection, forming the foundation for subsequent restorative planning.
Management of the Ill-Fitting Canine Crown
Within the same isolation field, the canine crown was evaluated. Marginal discrepancies and biological width concerns were evident. The crown was removed, allowing direct assessment of the underlying tooth structure and margins.
This step was critical, as untreated coronal leakage or prosthetic misfit can compromise even the most meticulously executed endodontic treatment. A provisional plan was established to restore proper marginal integrity and periodontal health before definitive prosthetic replacement.
Discussion
This case highlights several key clinical principles:
- Missed MB2 canals remain a leading cause of endodontic failure in maxillary molars
- Magnification and ultrasonics are indispensable for predictable canal location
- Quadrant dentistry enhances diagnostic accuracy and treatment efficiency
- Endodontic success is inseparable from coronal and prosthetic integrity
Addressing adjacent restorative problems in the same session reduces reinfection risk and improves long-term outcomes.
Conclusion
A quadrant dentistry approach provides a biologically sound and clinically efficient framework for managing complex cases involving endodontic retreatment and prosthetic complications. Successful MB2 identification, meticulous disinfection, and coordinated restorative planning are essential for predictable outcomes. Treating teeth in isolation is no longer sufficient; comprehensive quadrant-based care represents the modern standard of endo-restorative dentistry.
References
- Vertucci FJ. Root canal anatomy of the human permanent teeth. Oral Surg Oral Med Oral Pathol. 1984;58(5):589–599.
- Kulild JC, Peters DD. Incidence and configuration of canal systems in the mesiobuccal root of maxillary first and second molars. J Endod. 1990;16(7):311–317.
- Wolcott J, Ishley D, Kennedy W, et al. A 5-year clinical investigation of second mesiobuccal canals in endodontically treated and retreated maxillary molars. J Endod. 2005;31(4):262–264.
- Ng YL, Mann V, Gulabivala K. Outcome of secondary root canal treatment: a systematic review. Int Endod J. 2008;41(12):1026–1046.
- Ray HA, Trope M. Periapical status of endodontically treated teeth in relation to the technical quality of the root filling and the coronal restoration. Int Endod J. 1995;28(1):12–18.
- Ricucci D, Siqueira JF. Biofilms and apical periodontitis: study of prevalence and association with clinical and histopathologic findings. J Endod. 2010;36(8):1277–1288.
Share on: